

发表期刊:《Movement Disorders》(MOVEMENT DISORD)
影响因子:10.338
支持基金:国家自然科学基金
近日,上海市同仁医院王晓平主任医师团队发表的论文「Quantitative Measurement of Metal Accumulation in Brain of Patients With Wilson’s Disease」,通过 3.0 T MRI 的定量磁化率成像有效评估肝豆状核变性患者脑深部灰质核团中金属沉积情况。
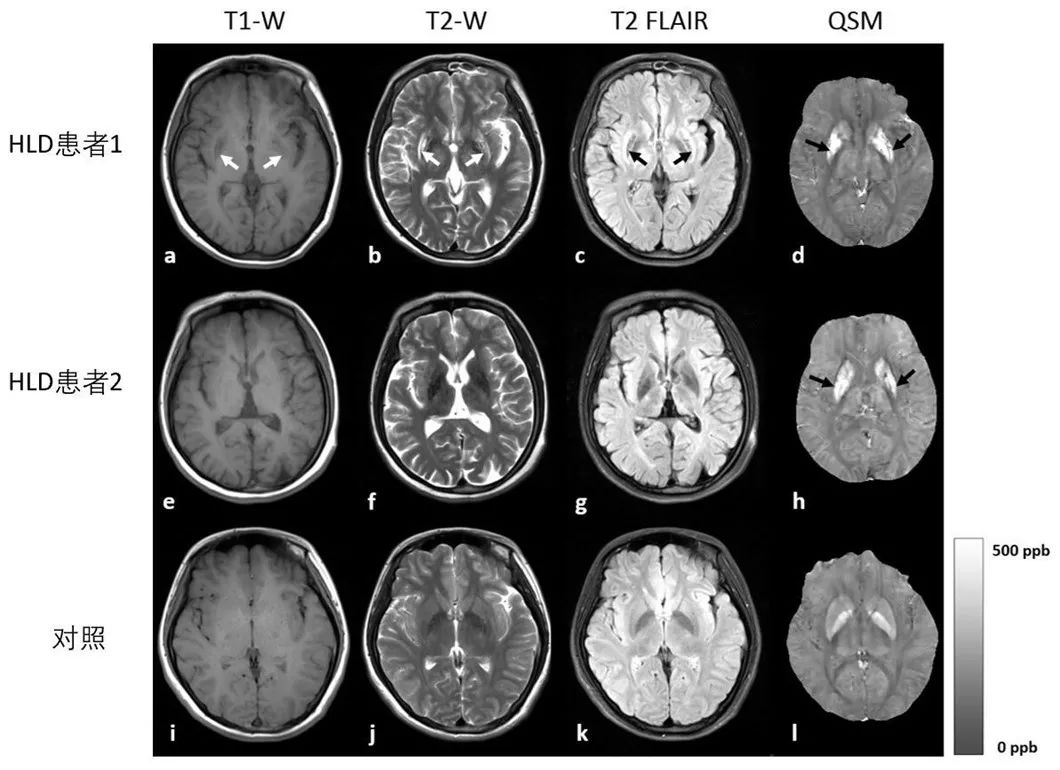
肝豆状核变性,是一种铜代谢障碍相关的常染色体隐性遗传疾病。其发病机制为 ATP7B 基因突变,导致铜转运 P 型 ATP 酶结构和功能异常,铜在肝脏、脑、角膜等部位异常沉积,造成相应器官的损伤。作为铁氧化酶的铜蓝蛋白合成减少,同时也导致患者体内铁代谢障碍。根据近期大规模全基因组测序研究结果,ATP7B 杂合突变携带率约为 1/40,该病预计发病率为 1/7000,远高于其他神经系统遗传疾病。如何能利用影像学方法早期精准诊断 HLD、对体内铜铁分布进行动态观察、根据患者铜铁蓄积情况制定个体化治疗方案,是目前亟待解决的问题。本研究通过对肝豆状核变性患者脑深部灰质核团的磁化率和 R2*图的定量和定性评估来区分肝豆状核变性患者和健康对照组,并且评估上述两者对于在诊断肝豆状核变性时的敏感性。研究发现定量磁化率和 R2*可以有效区分不同的病变类型。磁化率和 R2*值在肝豆状核变性患者多种深部核团中显著高于正常对照组。磁化率值在黑质区域有最大的曲线下面积(0.888)。在尾状核 (r = 0.757, P = 0.011)、壳核 (r = 0.679, P = 0.031)、红核 (r = 0.638, P = 0.047) 中,统一肝豆状核变性评估量表值和磁化率值呈正相关,而在尾状核 (r = 0.754, P = 0.012) 中,其与 R2*值也呈正相关。

本研究是利用定量磁化率成像和 R2*图对肝豆状核变性患者脑深部核团金属沉积开展相关分析,定性分析发现,HLD 患者豆状核有三种类型的病变。QSM 在区分 HLD 患者不同类型的病变方面表现良好,为 HLD 中不同类型的病变的诊断提供了辅助信息。在大多数深部核团中,QSM 在区分 HLD 患者与健康对照组方面比 R2*更准确。在 HLD 患者与健康对照组的对比中,中脑核团(黑质和红核)在 QSM 和 R2*中表现出的差异较基底节核团(尾状核、壳核和苍白球)和小脑核团(齿状核)更加明显。患者临床症状评分分数(统一肝豆状核变性评分量表,UWDRS)与 HLD 受试者尾状核的磁化率值之间存在显著的正相关关系。QSM 或 R2*值与其他临床指数没有相关性,特别是尿铜和血清铜蓝蛋白。进而,我们认为基于 3.0 T MRI 的定量磁化率成像是评估肝豆状核变性患者脑深部灰质核团中金属沉积情况的有效手段。


王晓平,上海市同仁医院神经内科主任医师,博士生导师. 世界(帕金森病)运动障碍协会(MDS Membership)MDS-AOS 亚太区区常委,中国中药协会脑病治疗专业委员会全国副主任委员,中国国际健康促进会(华夏)全国神经科常委,CDMA 帕金森全国委员,中国老年协会认知障碍 ACDC 委员,上海医学会专业委员会委员,上海中西医结合学会神经科专业委员会委员。中国医师协会下属两个专家委员会委员,国家自然科学基金项目评审专家,国家教育部学术评审专家,浙江省卫生系列高评委咨询专家,浙江省自然基金和重点重大项目评委,福建省卫生系统博士导师评选专家,上海市级医疗鉴定专家。

吴瑢,上海市同仁医院神经内科主治医师。上海市中西医结合学会委员,近五年主要研究方向:肝豆状核变性、帕金森病等锥体外系疾病、脑血管病、头痛、神经变性疾病等;发表论文:第一作者 3 篇,其他作者 6 篇。
好文章,需要你的鼓励