在湘潭市第一人民医院放射科,近日上演了一场与死神的赛跑。一位年轻的肺结核患者突发咯血,命悬一线。幸运的是,医生凭借敏锐的洞察力,通过一项名为"支气管动脉 CTA(即 CT 血管造影)"的检查,精准捕捉到了潜伏在其肺部深处的「隐形杀手」——Rasmussen 动脉瘤。
这一发现不仅挽救了患者的生命,也为我们敲响了警钟:肺结核痊愈后,身体里可能还埋藏着致命的「定时炸弹」。
它并非真正的肿瘤,而是一种「假性动脉瘤」。常发生于肺结核空洞患者,因结核病灶侵蚀肺空洞壁内的肺动脉分支血管壁,导致血管局部变薄、膨出,形成一个仅由纤维组织包裹的脆弱「气球」,极易破裂引发大出血,患者可能在短时间内因窒息或失血性休克而死亡。
伪装性强: 在普通的胸部 CT 平扫中,这个动脉瘤可能仅仅表现为肺部的一个「结节」或「空洞内的软组织影」,极易被误诊为肺癌、炎症或普通的结核病灶。
突发致命:它是导致肺结核患者大咯血的最主要原因。很多患者平时可能只有轻微的咳嗽或痰中带血,但一旦动脉瘤破裂,出血量往往巨大且迅猛。
操作风险: 若误诊为肿瘤并进行支气管镜活检或经皮肺穿刺,那无异于「引爆」炸弹,会导致瞬间的大出血,后果不堪设想。。

在湘潭市第一人民医院的这例抢救中,支气管动脉 CTA 技术发挥了至关重要的作用。
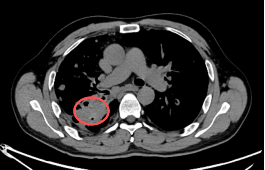
图示:右上肺病灶内局部可见两枚结节状血管样强化灶,与肺动脉相连,较大者直径约 6 mm
传统开胸手术风险高,目前首选介入栓塞术。通过大腿根部微小穿刺点,将导管送达动脉瘤处,释放弹簧圈等材料堵塞瘤腔,阻断血流。该方法不开胸,创伤小、恢复快,能迅速切断出血源头,如同在血管内筑起一道「堤坝」,将危险的「洪水」拦截在源头。
肺结核虽然大多可以治愈,但留下的「痕迹」有时需要我们终身关注。如果您或您的家人有以下情况,请务必提高警惕:
1. 既往病史:既往有陈旧性肺结核、肺结核空洞病史,尤其曾有咯血者,需长期保持警惕。
2. 症状观察: 如果出现反复痰中带血或突发咯血,哪怕出血量不大,也应立即就医。
3. 科学复查: 在医生评估有风险时,应积极配合进行增强 CT 或 CTA 检查,以排除血管畸形的可能。
4. 规范治疗:结核治疗务必规范、全程,以减少对肺组织和血管的持续破坏。
Rasmussen 动脉瘤虽危险,但只要我们认识它、重视它,借助现代医学影像技术和微创介入手段,就能在它引爆之前成功拆除。

好文章,需要你的鼓励