近日,哈尔滨普瑞眼科医院业务院长韩清主任医师团队,采用微创术式(球囊顶压手术)成功让一例赤道后大裂孔导致的孔源性视网膜脱离患者康复出院。北京协和医院眼科原主任董方田教授称赞道:「世界首例微创球囊顶压手术治疗后部大裂孔,并获成功。」微创球囊植入治疗后方大裂孔的成功,既为患者规避了传统手术的痛苦与高花费,也为眼底病诊疗拓宽了新路径。
近日,哈尔滨普瑞眼科医院业务院长韩清主任医师团队,采用微创术式(球囊顶压手术)成功让一例赤道后大裂孔导致的孔源性视网膜脱离患者康复出院。北京协和医院眼科原主任董方田教授称赞道:「世界首例微创球囊顶压手术治疗后部大裂孔,并获成功。」微创球囊植入治疗后方大裂孔的成功,既为患者规避了传统手术的痛苦与高花费,也为眼底病诊疗拓宽了新路径。
危急病情:大裂孔诊疗陷入传统困境
不久前,患者王女士(化名)因视物模糊、视野遮挡就诊,经韩清院长团队初诊,确诊为孔源性视网膜脱离,裂孔大,且位于眼球赤道后。「裂孔越大,视网膜脱离进展会越快,诊疗窗口期更短。」韩清院长回忆道。

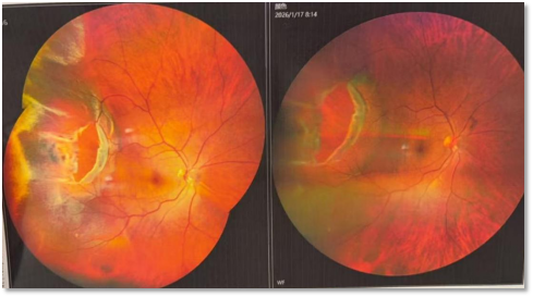
【手术前,赤道后大裂孔导致视网膜脱离】
传统方案常采用内路手术(玻璃体切除术),通过切除患眼玻璃体、复位视网膜、眼内激光封闭裂孔、气体或硅油填充玻璃体腔。不仅创伤大、操作复杂,术后需长期保持特殊体位,且费用高、恢复慢,并发症风险较高。外路(巩膜扣带术)损伤小,但后部大裂孔手术操作困难。
大胆尝试:拓宽诊疗新径
为给患者提供更优诊疗,韩清院长突破行业固有认知,针对「微创球囊植入手术」既往尚未见成功治疗后部大裂孔的文献报道,遂与董方田教授讨论该病例的手术方案,结合自身多年临床经验及对新型器械的认知,反复评估患者眼部条件,与家属充分沟通风险及优势后,确定个性化诊疗方案-微创球囊植入手术。
该方案无需切除玻璃体,通过微创方式将生物相容性好的球囊植入眼球筋膜与巩膜间隙,注水膨胀后,准确顶压裂孔的位置,手术后经瞳孔进行视网膜裂孔周围的激光光凝精准封闭裂孔,全程创伤小,恢复周期短。
「此术式核心是准确支撑与微创修复,但操作难度高,既往未用于赤道后大裂孔视网膜脱离的治疗。」韩清院长表示,相较于传统玻切手术,该术式创伤更小、患者痛苦更少、恢复更快、费用更低。董方田教授认为,该案例为世界首例微创球囊植入手术治愈后部大裂孔,是眼底病诊疗的重要突破。

【手术后,球囊顶压视网膜裂孔】

【激光光凝术后,视网膜裂孔封闭】
医患同心:专业与配合铸就康复奇迹

手术成功离不开韩清院长团队的专业果断与患者的全力配合。术中,韩清院长凭借精湛技艺,在显微镜下准确完成球囊植入、玻璃体腔注入无菌空气、调整眼压,完成手术。次日,经瞳孔视网膜裂孔周围激光光凝。术后王女士严格保持特殊体位两天、遵医嘱用药、出院后定期复诊。手术耗时短、出血少,全程微创无痛。
「韩院长团队耐心讲解注意事项,我完全信任他们的专业能力,一直严格配合。」术后复查显示,王女士视网膜复位良好,视力逐步恢复,对效果十分满意,并且充满感激。
术后随访期间,王女士已恢复正常生活。韩清院长表示,患者的信任与配合,是攻克疑难眼病的重要基石。
实力彰显:普瑞眼科持续守护光明
哈尔滨普瑞眼科以患者需求为核心,配备超广角眼底照相、OCT 等国际先进设备,为复杂眼病的诊疗提供支撑,深耕眼科技术创新与发展。

韩清院长深耕白内障与眼底病领域多年,凭借丰富经验、准确判断及突破认知的探索精神,攻克多例疑难眼病。「医疗以人为本,即便面对既往认为无法完成的手术,我们也会基于专业谨慎探索,为患者提供更安全、损伤更小、疗效更好、更经济的治疗方案。」他表示,未来将持续深耕技术,推动诊疗升级,惠及更多眼病患者。
哈尔滨普瑞眼科未来将继续以专业实力为基石、患者信任为动力,医护携手共同守护每一位眼病患者的「心灵之窗」。若您受眼底病、白内障等困扰,可选择我院,专业团队、先进技术与温暖服务,为您的光明保驾护航。
好文章,需要你的鼓励