近日,北京积水潭医院郑州医院(郑州市中心医院)脊柱外科执行主任吴静晔、主任王肖虎带领团队首次将天矶骨科手术机器人系统应用于超高难度颈椎手术,成功为一名 78 岁高龄脊髓型颈椎病患者实施精准治疗。手术突破禁区,为老人卸下病痛枷锁,标志着医院在智能精准脊柱外科领域迈上新台阶,为高龄、复杂脊柱疾病患者带来更安全的治疗新选择。
不久前,北京积水潭医院郑州医院(郑州市中心医院)脊柱外科特需门诊迎来了一位特殊的患者。78 岁的老先生被家人小心翼翼地搀扶着走进诊室,面露痛苦之色,右手紧捂胸口,左手拄着拐杖,双腿颤抖不止,连正常行走都十分困难。患者双下肢麻木、无力的典型症状,高度符合脊髓型颈椎病表现,但手捂胸口的举动,也让医护人员心生顾虑,是否合并心脏疾病。

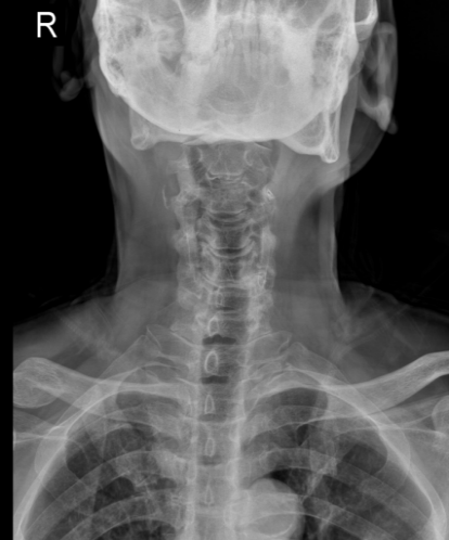
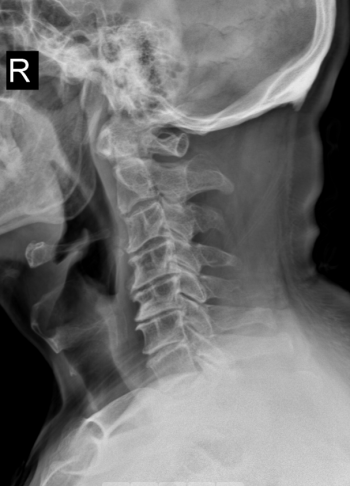
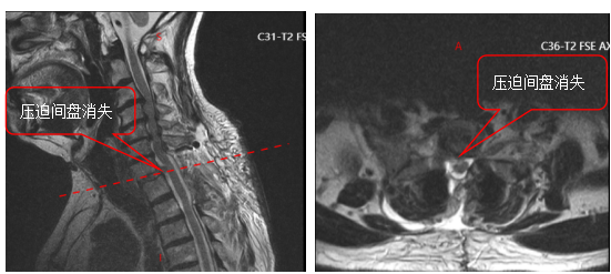
面对这一特殊情况,吴静晔主任没有急于下结论,而是为患者进行了细致全面的检查,最终精准诊断为脊髓型颈椎病。而进一步检查显示,患者存在 C3-T1 多节段狭窄,病情复杂且手术节段较多,这无疑给治疗带来了巨大挑战。
常规的治疗方案是颈后路 C3-T1 开门手术。虽能实现彻底减压,但手术损伤较大,对于 78 岁高龄的患者来说,是极大的考验。
为最大程度降低手术损伤,保障手术安全,吴静晔主任、王肖虎主任带领团队反复研讨,最终制定了更贴合患者情况的手术方案——C7-T2 节段全椎板切除减压、髓核摘除、椎弓根螺钉内固定术。
看似确定了治疗方向,真正的难题才刚刚开始。该手术区域解剖结构极其复杂,毗邻人体重要的神经、血管,堪称脊柱外科的「珠峰」。尤其是 C7-T2 椎弓根螺钉置入环节,传统手术极度依赖术中 C 臂透视,却因肩部遮挡,透视、定位极为困难,不仅手术视野受限、置钉难度陡增,螺钉还极易误入椎管,导致术中减压不充分,手术效果完全依赖主刀医生的丰富经验和精湛技术,是业内公认的「硬骨头」手术。




挑战面前,唯有创新突破。吴静晔主任、王肖虎主任果断决策,决定在此次超高难度手术中,首次引入天矶骨科手术机器人系统,以智能科技赋能精准手术,为患者的康复保驾护航。
凭借机器人的亚毫米级的稳定性和三维空间精准定位能力,完美突破了传统手术的局限。术前,机器人为每一枚椎弓根螺钉的置入规划最优路径,打造精准手术「蓝图」;术中,实时导航辅助操作,全程监测、调整螺钉置入方向,从矢状位、冠状位、轴位多维度把控置钉角度,有效规避了神经、血管损伤的风险,大幅降低了手术潜在风险。同时,机器人还能实现术中即刻扫描,螺钉位置清晰可见,彻底解决了传统透视的遮挡难题。




通过与天矶机器人配合,整个手术过程顺利完成,螺钉置入位置精准无误,患者术中出血量大幅减少,手术时间也得到有效优化,手术效率和安全性实现双重提升。

此次机器人辅助下高龄复杂颈椎病手术的成功实施,是郑州市中心医院医疗专家与前沿智能科技完美结合的典范。在天矶手术机器人赋能下,脊柱外科团队面对高龄患者、复杂节段的高难度脊柱手术时,更有底气、更能精准实施医疗干预,为广大脊柱疾病患者提供更安全的治疗方案。
好文章,需要你的鼓励