3 个月前,56 岁的王先生因反复发作性眩晕伴右耳听力下降,外加疼痛难忍赴南大二附院住院进行治疗。后经过诊断为右耳美尼尔病。
王先生所提及到的「美尼尔病」多发于 40-60 岁左右的中老年群体,属于一种特发性内耳疾病,该病主要的病理改变为膜迷路积水,临床表现主要以反复性发作的旋转性眩晕、波动性听力下降、耳鸣和耳闷胀感为主。
南昌影像中心主任熊萍香在充分了解患者病史和基本信息后,制定相关检查方案。
南昌中心目前一直在开展专病诊疗检查技术,也是希望一些疾病能够通过医学影像的力量帮助临床医生进行后续治疗。通过患者的相关情况,我们先是给他行头颅 MR 平扫+MRA;颈椎 MR 平扫+MRA 检查,以排除头颈器质性病变及血管病变的可能;然后,进一步做了内耳 MR 增强扫描及颅神经(三叉、面听神经)MR 扫描,进而排查内耳细微结构及相关神经病变。南昌影像中心主任熊萍香解释道。
医学影像显示:
双侧耳蜗、前庭及半规管形态、大小及位置正常,未见异常信号,内外淋巴间隙未见异常信号,3D T2Flair 增强扫描未见异常强化。
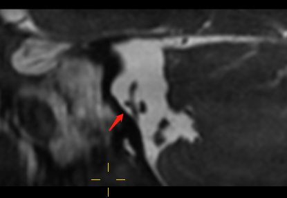
3DT1BRAVO 增强右侧前庭耳蜗神经轻度强化,延迟持续强化。
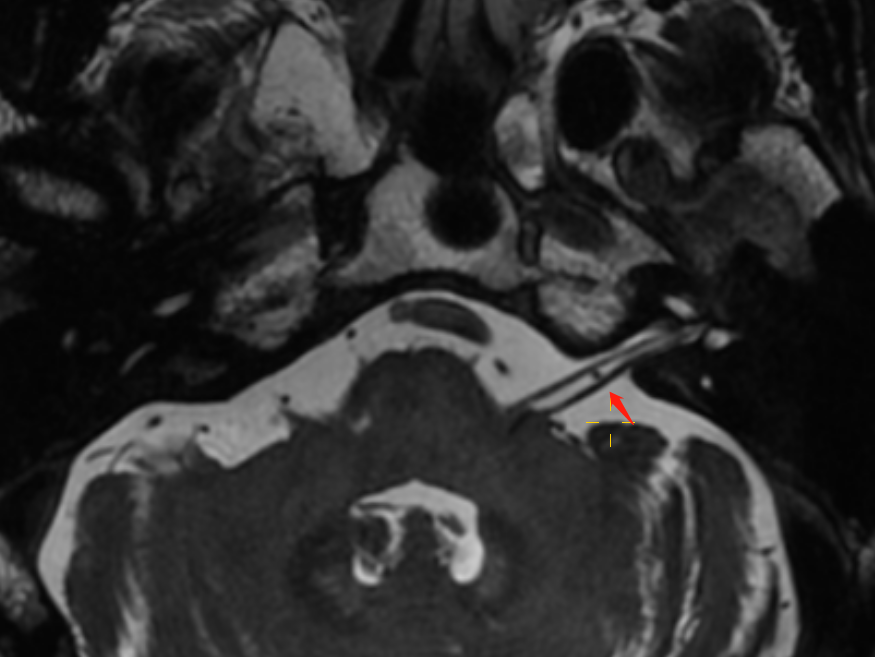
3DFIESTA 显示右侧小脑下前动脉穿行于面神经和前庭耳蜗神经间隙,并进入内耳道外口约 4 mm,神经与血管间隙消失,前庭耳蜗神经稍受压向外弯曲;左侧小脑下前动脉于内耳道外口穿行于面神经和前庭耳蜗神经间隙,局部接触、但无形态改变。


右小脑前下动脉迂曲延伸进入内听道神经与血管间隙消失,前庭耳蜗神经稍受压向外弯曲






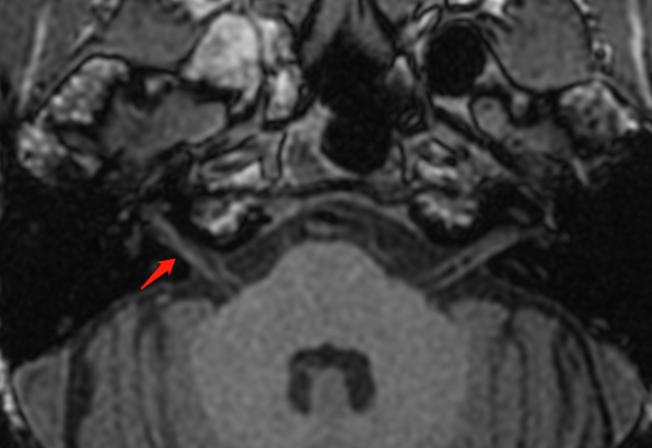
左侧小脑下前动脉于内耳道外口穿行于面神经和前庭耳蜗神经间隙,局部接触但无形态改变



前庭耳蜗神经延迟强化,右小脑前下动脉迂曲进入内听道
影像诊断:
双侧小脑下前动脉与面听神经关系密切:右前庭耳蜗神经稍受压,轻度强化,提示神经血管压迫综合征,伴神经损伤;左前庭耳蜗神经与血管接触。
经过熊萍香主任与一脉阳光医学管理中心韩向君教授、陈新教授等多名专家的充分讨论,认为患者颅脑、颈椎及血管属一般退行性病变,内耳结构及内外淋巴均未见明确异常;患者眩晕等相关症状主要由右前庭耳蜗神经受压及神经损伤所致。
经过一系列的影像检查和对报告的分析,一脉阳光的影像专家们认为王先生的病症与右侧小脑下前动脉迂曲进入内听道并压迫前庭耳蜗神经有关,且增强前庭耳蜗神经有延迟强化。提示有神经损伤,与此同时,通过报告与症状的高度吻合度,提示血管神经压迫综合征。并建议与神经外科会诊,通过与南大二附院神经外科卢主任的充分探讨后,卢主任表示非常认可一脉阳光各位影像专家的诊断,无论是从患者症状显示上还是影像报告的分析上,都符合血管神经压迫综合征的表现。
持续性开展医学影像专病检查项目,推进影像与临床的交流互动,探讨医学影像在当代的价值,让多学科会诊深入整个医疗行业,让公立医院与第三方医学影像中心之间达到良性互动,在结果互认的前提条件下,为更多患者就医提供便利;与此同时,打通各学科之间的壁垒,充分发挥各方优势力量,让精准诊断得以验证,让纷繁复杂的病症得以充分解决,从而指导临床制定更为适合的治疗方案。
「推进特色检查项目,做好人民健康的守门人,是一脉阳光一直以来想要践行的使命,我们所提到的这个患者作为案例或许只是一个缩影,背后潜藏的庞大的群体还需要我们不断去挖掘,通过医学影像技术的不断延伸和科技的不断发展,让其发挥更大效能,见微知著破解谜题。」南昌影像中心主任熊萍香谈道。
好文章,需要你的鼓励