北京一脉阳光医学影像诊断中心

北京一脉阳光医学影像诊断中心

人气595122
获赞42

北京一脉阳光医学影像诊断中心有限公司,是一脉阳光影像医院集团全资子公司。一脉阳光由多名中国医学影像行业精英于2014年投资创建,是一家专业从事医学影像中心投资运营、医学影像云平台技术开发、医学影像人才培养、医学影像产业链服务的影像医院集团,核心业务 包括影像中心服务、影像赋能解决方案、一脉云服务。 截至2022年12月31日,一脉阳光已在全国拥有近90家影像中心,覆盖全国16个省/自治区/直辖市,日均检查量约1.5万人次。除了自有的医疗专业团队(主执业医生逾220名)外,一脉阳光还吸引了业内近千余位知名影像专家共同合作,为患者和医疗机构提供优质影像检查服务,为行业培训优秀医技人才,助力国家医改,落地分级诊疗。我们重视影像科技的创新应用,影像云业务已取得113项软件著作权,申请4项发明专利,与多家AI公司深度合作,签约了近百名国内医学影像各亚专业的知名专家,提供疑难病例诊断咨询和多学科诊断咨询服务,利用科技创新驱动行业发展。同时,我们也注重客户的数据安全及隐私,目前我们的信息架构已获得国家信息系统安全等级保护三级备案证明,并通过ISO 27001、ISO 27018认证。 作为中国第三方医学影像中心的开拓者、引领者,一脉阳光始终以“医学影像服务”为核心,坚持科技创新和模式创新,打造医学影像全产业链服务平台,服务整个医学影像行业。

  • 关注
  • 机构介绍
最新关注
医疗关注
医院活动
学科建设
健康患教
先进人物
医院文化
爱心公益
国考成绩

60 余人参与义诊检出 14 例早期肺癌!这场「火眼金睛」的义诊,给所有人敲响早筛警钟

2026-05-21

典型案例 | 一脉阳光三维重建揭开舌咽神经鞘瘤真相,全程协助快速衔接临床治疗

2026-05-20

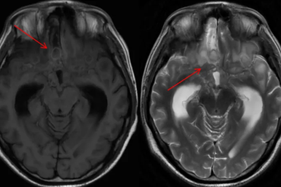
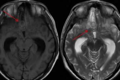
典型病例 | 孩子头痛莫轻视!海绵状血管瘤破裂出血,如何抢赢「黄金窗口」?

2026-05-20

3D 打印精准导航 | 遂川共享中心运营部助力院脑外科成功完成丘脑出血微创辅助手术

2026-05-20

颅脑 CT 超级智能体发布!AI DIY 颠覆医学影像 AI 研发范式,开启指数级增长新纪元

2026-05-06

一脉阳光 X 腾讯 | 「Doctor-Buddy」数字分身解决方案发布,开启医疗 AI 原生新时代

2026-05-06

以「场景+数据+AI」为核心,构建全球数智影像⁺生态

2026-05-06

数据驱动科研,技术引领未来 | 一脉阳光旗舰中心第一届《数据科研论坛》圆满落幕

2026-04-30

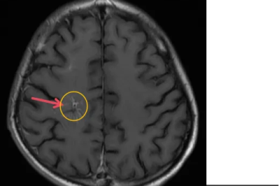
典型病例 | 脑袋里的「先天微缩景观」——带你认识脑发育性静脉畸形

2026-04-23

一脉阳光北京影像中心参与国际研究,为阿尔茨海默病早期预警提供影像新视角

2026-04-23

品牌指数

2026.05.11 至 2026.05.17
29.48 医院品牌指数
38892411 综合排名
查看趋势详情
最佳品牌传播医疗机构