
"医生,我洗脸时摸到耳朵下面有个硬块,不痛不痒的,但一年都没消..." 44 岁的李女士在诊室担忧地说。
经彩超发现双侧腮腺下极异常低回声团块后,她来到辽宁影像中心接受进一步磁共振(MRI)检查。这个"不起眼的小肿块",竟暗藏关乎面部功能的重要风险。

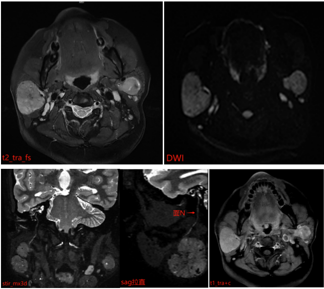
MR 表现: 双侧腮腺浅叶下极见结节状略混杂信号,T1 以低信号为主、T2 以稍高信号为主,DWI 呈稍高信号,ADC 图呈稍低信号,边界清晰,增强扫描病变中等强化,强化较均匀,其内见点状无强化影。
位置: 双侧腮腺浅叶下极(靠近下颌角)
形态: 结节状、边界清晰,内部信号略混杂
T1 低信号+T2 稍高信号: 提示内部含液体或疏松组织,常见于腮腺良性肿瘤(如多形性腺瘤)或炎性结节
DWI 高信号+ADC 低信号: 反映水分子扩散受限,需警惕细胞密集型肿瘤
增强扫描:中等均匀强化(支持肿瘤性病变),内部点状无强化区可能为小囊变或坏死灶


腮腺是分泌唾液的最大腺体,内部穿行着控制面部表情的"生命线"——面神经。腮腺肿瘤即使良性,也可能包裹神经生长。

首先,发现 (定位与大小): 像李女士这样洗脸摸到肿块,彩超通常是第一道「侦察兵」,能快速发现腮腺里有没有异常的结节(低回声团块)。它能告诉我们肿块在腮腺的哪个叶(浅叶还是深叶?上极还是下极?),有多大,是单发还是多发。
其次,初步判断 (性质初筛): MRI 检查则像是更高级的「侦察卫星」,提供更精细的信息:
信号特征 (T1/T2):比如报告中「T1 低信号+T2 稍高信号」,这常常提示肿块内部结构比较疏松或者含有液体,多见于良性肿瘤(如最常见的多形性腺瘤)或炎性结节。这给医生和患者都带来一些初步的安慰。
水分子活动 (DWI/ADC):报告中提到的「DWI 高信号+ADC 低信号」是个关键预警信号!这表示肿块里的水分子活动受到限制,通常意味着里面的细胞排列非常紧密。细胞越密集,是恶性肿瘤(癌)的风险就越高! 这就像发现了「可疑分子」,需要高度警惕。

对于李女士这样发现腮腺肿块的患者,高质量的影像检查(尤其是 MRI)是手术前不可或缺的关键步骤。它不仅帮助医生初步判断肿块的良恶性,更重要的是,它像一份详细的「作战地图」和「风险预警报告」。该案例进一步印证了影像检查在疾病精准诊断中的重要作用,也为后续手术提供了强大支撑。
好文章,需要你的鼓励