春节的团圆饭香犹在唇齿间,寓意「红红火火」「甜甜蜜蜜」的红枣,依旧是许多家庭餐桌上的常客。然而,就在春节假期刚过的这几天里,我院接连收治了两例因 误吞枣核导致危急情况 的高龄患者——其中一位老人的食管险些被枣核刺穿颈动脉,命悬一线。

一颗寄托着美好祝福的「养生果」,为何差点成为致命「凶器」?今天,我们带您看清这枚小枣核背后的「大风险」。
惊险时刻:两枚枣核,两场营救
01
食管颈段枣核嵌顿
险些刺穿动脉
59 岁的沈阿姨,进食红枣后 4 小时突发咽痛、呕血,紧急来苏州京东方医院。影像检查显示:一枚长约 15 mm 的尖锐枣核横向嵌顿于食管颈段——这个位置紧邻颈部大动脉,若再深刺一毫米,或将引发致命性大出血。急诊胃镜下,医生小心翼翼取出枣核,沈阿姨才化险为夷。

02
小肠穿孔引发腹膜炎
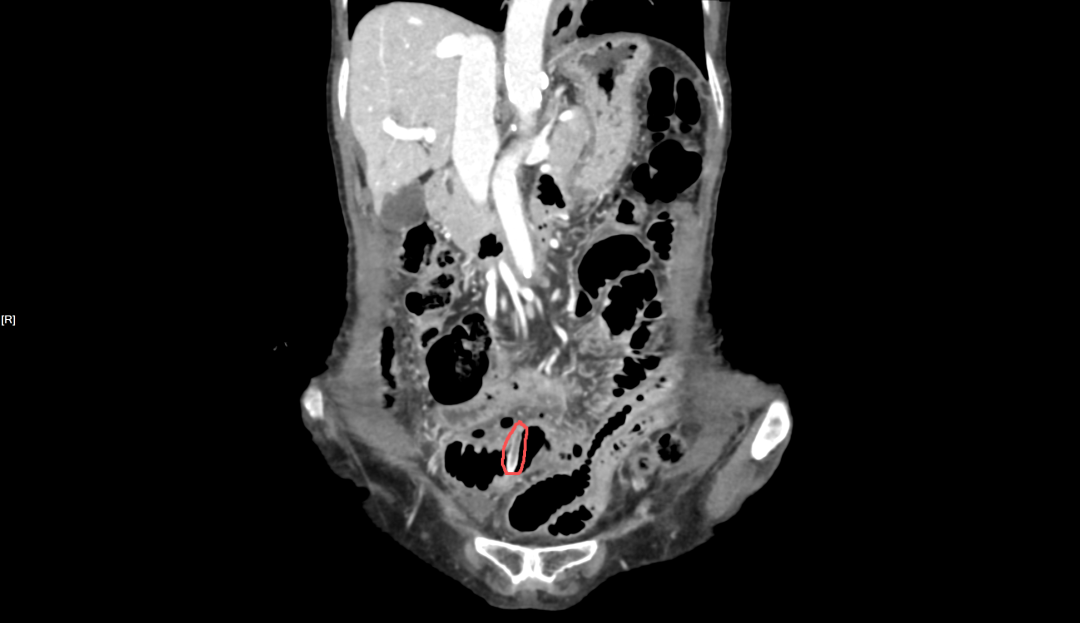
83 岁的陆阿姨就没这么幸运了。吃枣一天后,她因剧烈腹痛、腹肌紧张就诊。CT 显示,一枚 22 mm 长的枣核已刺穿小肠壁,引发急性弥漫性腹膜炎,不得不紧急手术修补肠道。

放射科医生解读:
枣核两端尖锐,呈长梭形,在影像下清晰可见。嵌顿于食管颈段者,最危险的就是刺破毗邻的颈部大血管;而一旦进入肠道,在蠕动过程中枣核尖端如同「钻头」,极易穿透肠壁,且早期症状隐蔽,发现时往往已穿孔。
为何受伤的总是老人?
生理机能衰退: 口腔感觉迟钝、吞咽协调能力下降,牙口不好导致咀嚼不充分。
习惯与认知: 部分老人视力下降看不清枣核;或多年养成「囫囵吞枣」的习惯;服用安眠药后意识不清时进食,风险倍增。
基础疾病: 食管生理性狭窄、腹部手术史等,更易发生嵌顿或穿孔。
黄金三步:万一误吞怎么办?
切勿吞饭团、喝醋! 这些「土办法」只会让枣核扎得更深,加重损伤。
立即停食:
怀疑误吞,马上停止一切进食、饮水。
识别症状:
食管卡住: 吞咽痛、吞咽困难、异物感、胸骨后疼痛、流口水。
肠道穿孔: 持续加重的腹痛、腹胀、发热、腹肌紧张。
火速就医:
送往有消化内科、内镜中心和普外科的医院。
准确告知医生误吞时间、枣的类型、出现的症状。
配合颈部/腹部 CT 检查,明确枣核位置。

红枣本是滋补佳品,寓意吉祥,但对高龄老人而言,小小枣核暗藏致命风险。
请将这份提醒转给家中照顾老人的亲友,多一份细心,少一份风险。愿每一位长辈都能安享每一口香甜,岁岁平安。
注: 本文基于临床真实案例撰写,旨在科普教育。具体预防与处理措施,请结合老人个体健康状况,遵医嘱执行。
稿件 | 杨鹏飞、许婷婷
编辑 | 鞠娜
责编 | 张晶
审核 | 苏凯(放射科)曹晓磊
好文章,需要你的鼓励