病史摘要
患者女,5 岁,出生时发现颈部包块,大小 3 cm×3 cm,5 年来无变化,拟行手术治疗,要求增强核磁协诊,否认体内金属物,无过敏史。
检查图像








影像表现
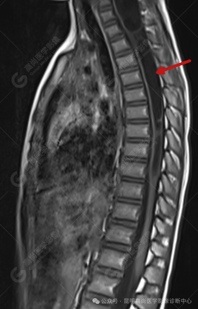
颈 3-5 层面颈后部软组织不规则片状异常信号影,脊膜膨出可能;颈 3、4 棘突局部显示不清;颈胸髓内(约颈 3-胸 9 椎体水平)异常信号影,考虑囊肿并局部颈髓空洞可能,肿瘤或其他待排;请结合临床及相关检查。

病例小结
脊柱裂为骨性椎工的先天性缺陷,如不连或缺如;多发生于腰骶部,偶见于颈胸段。分为隐性脊柱裂(任何年龄,女性多见)、脊膜和/或脊髓膨出(婴儿多见);预后良好。
分型:
(1)隐性脊柱裂:神经管几周围组织已闭合,椎弓存在裂隙,由纤维组织、软骨组织连接,无脊膜或神经组织膨出。
(2)脊膜膨出:神经管闭合,脊髓正常,周围组织闭合不全,脊膜从不连接处膨出,形成囊肿样改变,其内包含脑脊液。
(3)脊髓脊膜膨出:神经管闭合,椎弓存在裂隙,脊膜、脊髓/神经根膨出,囊内除脑脊液外还含有脊髓/神经根。
病症概述
脊膜膨出是常见的神经系统发育畸形,是胚胎时期神经管闭合过程中发生障碍,引起的脊柱椎管发生闭合不全,使脊膜(或脊髓)从裂隙中膨出形成囊性肿物。这些畸形可致肢体瘫痪、大小便失禁、脑积水、痴呆或合并其他四肢畸形。
病因:
遗传因素
环境因素:孕妇接触放射学、激素、缺氧;孕妇缺乏维生素、叶酸。
病理:
神经管已完全闭合,脊髓位置正常,周围组织闭合不全,有椎弓分裂。脊膜从不联合处膨出如囊肿,囊内有脑脊液。囊壁上有时有脊髓马尾分出的神经纤维,呈网状穿过囊状物。囊壁由蜘蛛膜构成,囊外有皮肤覆盖,硬脊膜附着于棘突缺损边缘。脊膜膨出多位于腰骶部,也可在胸椎或颈椎,基底宽广或呈蒂状,有时形成囊性肿块。表面皮肤正常或变薄,触诊有紧张感,肿块表面皮肤松弛后呈现皱折或放射性瘢痕。
该症多发生在脊椎背侧中线部位,以腰骶段最常见,少数发生在颈段或胸段。
临床表现
婴儿出生后即发现背部正中有囊性肿物,偶有偏离中线,常发生在腰部或腰骶部,往往合并脂肪瘤或血管瘤。有时也位于颈胸椎,一般多数向背侧隆起,极少数向腹侧膨出。囊性肿物周边大部分或全部(脂肪瘤型)有正常皮肤覆盖,中央有菲薄的膜性组织或肉芽面。触之肿物有紧张感或囊性感,囊内液体(脑脊液)部分可以还纳入椎管内,绝大部分婴儿哭闹时肿物有冲动感,触之有痛觉,透光试验多数为阳性,挤压膨出肿物时,前囟门可触到冲击感。肿物基底部可触到骨缺损,绝大多数在正中,也有少数偏在。脊膜膨出大多数为单个,多个者极少见。中国医科大学遇到2例同时有2处脊膜膨出(颈—腰部;胸—腰骶部)。膨出肿物呈圆形或椭圆形,有时形状不规则,大小不等,小者直径约 1~2 cm,成人指头大或鸡蛋黄大小,大者达新生儿头大小。肿块所在部位可有毛发增多,色素沉着,局部合并血管瘤时皮肤有红色斑痣。皮肤大多正常,有正常的皮下组织。脊膜膨出合并脂肪瘤后皮下组织增厚,呈分叶状,质软,局部深筋膜及肌肉缺如,向脊膜膨出的边缘推移,在脊膜膨出的基底部边缘可触得骨质的缺损。囊肿质软,波动感不明显,囊肿一旦破裂后脑脊液泄漏,囊肿萎陷。
辅助检查:
(1)X线脊椎正侧位片:椎板棘突缺如,椎弓根间距增宽,骨质缺损部位与软组织肿物相连接。
(2)磁共振 (MRI) 检查:是目前对神经系统最直观的检查,可发现脊髓、脊神经及脊膜的膨出情况。可发现脊神经本身病变如脊髓空洞;椎管内有否肿物 (囊肿)、脂肪,以及粘连、脊髓低位或终丝粘连等;可见脊膜膨出内有否脊神经、神经纤维等;横断面还可见脊柱裂大小及范围。明确脊膜膨出的类型,有否合并脊髓拴系。
(3)对有运动和感觉障碍的病儿,可做电生理检测,判定脊髓损伤的程度。胫后神经体感诱发电位可判断脊髓拴系病儿神经功能损害程度,病变部位;胫后神经、腓总神经传导速度检测可评价外周神经功能。对判断病情,估计预后,具有重要意义。
(4)直肠肛管测压及膀胱尿道测压:对判定病儿尿、便失禁的程度和术后恢复情况提供客观指标。
鉴别诊断
(1)骶尾部畸胎瘤:肿物内常有实质性组织,为分化或未分化的实质性组织。如骨骼、牙齿软骨等。肿物界限清楚囊性畸胎瘤透光试验阳性因与椎管不相通所以压迫肿物时囟门无冲击感。直肠指诊时可触到骶前肿物。B 超检查肿物为囊实性,X 线摄片显示无腰骶椎骨质缺损。
(2)脂肪瘤:脂肪瘤柔软表面皮肤虽高起,但正常界限清楚,常呈分叶状,透光试验阴,与椎管不相通穿刺抽不出脑脊液但脊柱裂常合并该部位的皮下脂肪瘤,更应注意的是与脂肪脊髓脊膜膨出型的鉴别。
(3)皮样囊肿:囊肿由结缔组织构成,内含皮脂腺汗腺毛发等。囊肿较小与皮肤紧密相连可以移动为实质感。透光试验阴性。与椎管不相通压迫时囟门没有冲动感。
治疗方案:
目前对脊膜膨出的治疗原则是早期手术。只要病儿生后无危及生命的严重畸形及儿科疾病均可以在新生儿期手术。若已经有破溃而无明显感染者,应施行急诊手术;对局部有感染者,可应用抗生素控制,待炎症消退后予以手术治疗。对一些已有轻度下肢瘫痪、大小便失禁及脑积水者,也应早期行脊膜(脊髓)膨出切除修补术,同时作椎管减压、神经松解和终丝切断,以便促进神经功能的恢复。
预后:
近年来由于采用早期手术修补脊膜膨出,术后 2 年生存率达 80%~95%。有人报告,在新生儿期手术,出院时有神经症状的 14 例中,随访时其恢复率为 92.85%,而生后 1 个月以上手术有神经症状者,恢复率为 60.86%。这主要是由于囊肿随年龄增长而增大,致使膨出部分的神经组织受牵拉、压迫的时间长所致的损伤重。另外,单纯脊膜膨出疗效好,而脊髓脊膜膨出,特别是脂肪瘤型者,疗效较差。手术效果与病儿年龄和畸形类型关系密切,早期手术有助于神经症状的恢复。
参考文献等相关资料:
[1] 孙梦纯, 尚爱加, 陶本章, 高干, 汪汇, & 王忠伟等. (2022). 骶前脊膜膨出合并 currarino 综合征 1 例. 中国临床案例成果数据库, 04(01), E01317-E01317.、
[2] 苑斌, 王杭州, 向永军, 韩勇, 王勇强, & 陈民. (2022). 手术治疗儿童硬脊膜囊末端囊肿样膨出的疗效. 中华神经外科杂志, 38(1), 5.
[3] 胡迎光, 赵继峰, & 孙艳. (2022). Msct 在先天性脊柱畸形合并脊髓纵裂中的临床应用. 影像研究与医学应用, 6(21), 3.
好文章,需要你的鼓励