高尚医学影像诊断中心病例:
病史摘要
患者男,11 岁,因反复头痛前来就诊。家属描述:患儿曾有「失神」发作,持续数分钟,与发热无明显相关。
影像检查
检查项目:头颅 MRI 平扫、功能成像(MRS、ASL)



















影像表现
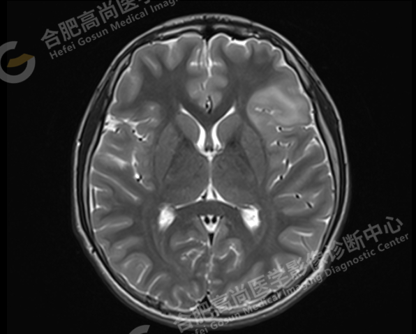
左侧额中、下回显示局灶性脑皮质较肿胀,呈长 T1 长 T2 信号影,FLAIR 显示皮层下高信号,DWI 未见异常高信号影,冠状位观察:病变主要累及皮层及皮层下白质,并见皮层增厚,皮白质分界模糊,未见明显放射带。余双侧大脑半球对称,灰白质对比正常,幕上脑室系统未见大,中线结构居中,脑沟、脑池蛛网膜未见增宽。矢状位示腺垂体变扁,垂体窝空虚,神经垂体高信号位置如常。扫及腺样体增厚,信号均匀,A/N 值约 0.6。
MRS 示:左侧病灶感兴趣区 NAA 24.83,Cho 26.46,Cr 14.43,NAA/Cr1 1.72,Cho/Cr1 1.83;右侧对照区 NAA 35.56,Cho 26.50,Cr 19.05,NAA/Cr1 1.87,Cho/Cr1 1.39。病灶提示神经元轻度减少。
加做 ASL 血流灌注显示左额叶病灶区局部灌注异常,呈稍高信号。
结论
1. 左侧额中、下回异常信号,考虑为 FCD 高信号型(局灶性脑皮层发育不良)
2. 腺样体肥大。
讨论
01 概述
局灶性皮层发育不良(focal cotical dysplasia,FCD)是主要累及大脑皮层的局灶性脑皮质结构异常疾病,是皮层发育畸形(malformations of cortical development, MCD)的一种。1971 年 Taylor 等首次描述了局灶性皮质发育不良。FCD 主要临床表现为药物难治性癫痫和局灶神经功能障碍。且为儿童难治性癫痫最常见的原因。
主要病理改变:
(1)皮质结构异常:层状结构紊乱、柱状结构紊乱、白质内和分子层神经元数目增多;
(2)细胞结构异常:出现不成熟神经元、巨大神经元、异形神经元及气球样细胞。
病理分型:
2004 年 Palmini 等提出的分类方法,将 FCD 分为Ⅰ型(ⅠA 和ⅠB)和Ⅱ型 ((ⅡA 和ⅡB)。
ⅠA 型:仅有皮层结构异常;
ⅠB 型:皮层结构异常+巨大神经元或不成熟神经元;
ⅡA 型:存在异形神经元,但无气球样细胞;
ⅡB 型:异形神经元+气球样细胞。
2018 年,有学者提出了一种基于组织病理学、影像学和遗传学的综合诊断方案,将预后良好的沟底 FCD 归类为 FCD IIb 型,并引入了围产期缺血缺氧性损伤导致的枕叶第四层神经元丢失这一临床实体,更好的定义了 FCD 的表型谱。
2021 年,Blümcke 等设计了一项迭代组织病理学一致性实验,以验证 2011 年 FCD 分类的不足。他们将轻度皮质发育畸形(Mild malformations of cortical development,mMCD)伴少突胶质细胞增生症(Mild malformation of cortical development with oligodendroglial hyperplasia,MOGHE)与 mMCD 伴异位神经元过多归类为脑白质病变。并确定了 SLC35A2 基因突变为 MOGHE 的遗传标记,7 个 mTOR 途径的基因变异为 FCD II 型的遗传标记。最终 Blümcke 等建议将遗传学结果引入到 ILAE 的分类方案中,以获得综合的基因型-表型诊断。

02 临床表现
FCD I 型是由于皮层结构形成障碍所导致,通常于婴儿期或儿童早期即出现局灶性癫痫伴发育迟缓。且 FCD I 型发生自闭症谱系障碍的倾向比 FCD II 型更加强烈。
FCD II 型更常见于额叶,起病年龄早于 FCD I 型,平均发病年龄为 11 岁。FCD II 通常癫痫发作频率更高,且认知障碍和神经功能缺损更为常见。
FCD IIIa 与海马硬化相关,主要为热性癫痫发作,起病较 FCD IIIb 晚且病程较短。
03 扫描技术
头颅 MRI 平扫:常规颅内检查技术,用于排除较明显的占位、出血、结构畸形等。
头颅 MRI 高分辨及功能成像:可用于进一步观察细微结构,也可利用功能成像,如,ASL 观察组织血流灌注情况,且无需静脉注射造影剂;MRS 可以敏感地测定局部脑区重要的代谢物浓度,从而反映病灶的病理改变,如 NAA 峰值降低提示神经元数目减少,Cr 和 Cho 峰值升高提示胶质增生。
04 影像表现
MRI 是 FCD 的重要检查方法。FLAIR 序列对于皮层及皮层下白质异常信号的显示最敏感; T2WI 序列对灰白质界面、轻度皮层增厚显示优于 FLAIR 图像。
具体表现为:局灶性大脑皮层增厚、灰白质分界不清楚、皮层或皮层下白质 T2WI/FLAIR 高信号、放射带。
其它表现包括:局部脑回增厚、脑沟走行异常及邻近蛛网膜下腔局限性增宽等。
(1)部位:60% FCD 位于颞叶,其次为额叶,枕顶叶也可发生。主要为皮质及皮质下区受累;
(2)脑皮质增厚:表现为局限性带状或结节状皮质增厚;
(3)灰白质分界不清:髓鞘纤维数量减少是灰白质信号差异减小,分界模糊的主要原因;
(4)信号改变:皮质及皮质下白质 T2/FLAIR 高信号,呈片状、条状、三角形或沿灰白质交界走行的曲线样高信号;
(5)放射带(radial band):指白质内异常信号从皮质侧向侧脑室方向延伸,并逐渐变细,呈漏斗样表现,也称 transmantle 征,是 FCD 的特征性表现;
(6)脑沟裂和侧脑室改变:受累脑回增厚,使脑沟的形态、走行或位置异常,邻近蛛网膜下腔或侧脑室局限性扩大。皮质发育异常邻近区域皮质体积减小,脑脊液间隙增宽,称为皮质浅凹。
影像分型:放射带型、高信号型和轻微型
(1)放射带型:表现为大脑皮层和/或皮层下区出现三角形或带状 T2WI/FLAIR 高信号,向侧脑室方向延伸,并逐渐变细,呈漏斗状或三角形。
(2)高信号型:表现为皮层/皮层下 T2WI/FLAIR 高信号,无放射带,可伴有皮层增厚。
(3)轻微型:局限于皮层的 T2WI/FLAIR 高信号,无皮层下异常信号,可伴有皮层增厚。
也可根据发病部位,辅助病理分型。
Ⅰ型多表现为灰白质边界模糊,呈 FLAIR 高信号,可伴有节段性或脑叶萎缩、发育不全及脑白质体积缩小。
Ⅰa 型:多局限于颞叶;
Ⅰb 型:多见于颞叶。
Ⅱ型更为常见,多位于额叶,MRI 表现为:
1. 皮层凹陷、皮质增厚。
2. 明显的灰白质边界模糊,亦呈 FLAIR 高信号。
3. 倒三角/跨地幔征:呈线性、三角形的 FLAIR 高信号,自病灶向脑室延伸,此时高度提示为Ⅱb 型。
Ⅲ型多有并发疾病,如海马硬化、肿瘤、血管畸形、脑炎等。
鉴别诊断:DNET、低级别胶质瘤、结节性硬化等。
05 小结
FCD 为儿童难治性癫痫最常见的原因,若发现儿童反复抽搐,且与感染、外伤等其他疾病无明显关联时,可行 MRI 平扫排除 FCD 的可能。MRI 相对于 CT 头颅平扫具有安全、分辨力及敏感度高的特点,可作为儿童 FCD 筛查的重要手段。
参考文献:
[1] 赵殿江, 朱明旺, 杜铁桥, 王大堃. 局灶性皮层发育不良 [J]《临床放射学杂志》,2009,028(010):P.1358~1361
[2] 中国成人局灶性癫痫规范化诊治指南. 中华神经科杂志,2022,55(12):1341-1352
[3] 朱明旺, 赵殿江, 杜铁桥, 等. 局灶性脑皮层发育不良的 MRS 定量研究 [C]//中华医学会放射学分会第十三届全国磁共振学术大会暨海外华人磁共振 2013 年会、国际医学磁共振学会论坛.0[2023-08-09].
[4]Najm I, Lal D, Alonso Vanegas M, Cendes F, Lopes-Cendes I, Palmini A, The ILAE consensus classification of focal cortical dysplasia: An update proposed by an ad hoc task force of the ILAE diagnostic methods commission. Epilepsia. 2022;63:1899–1919.
好文章,需要你的鼓励