中年女性,53 岁,右眼流泪 3+月,发现右眼肿块 5 天。
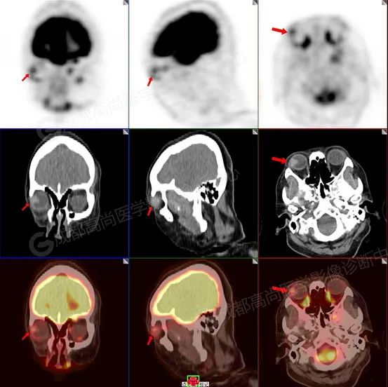
2022.08.17 全身 PET/CT 融合显像



图 1-3 检查所见:紧贴右侧眼球外侧壁类三角形高密度结节突入玻璃体内(大小约 1.0 cm×1.1 cm×1.2 cm),邻近外侧和后侧眼环轻度增厚,FDG 代谢轻度增高,提示多为恶性肿瘤性病变,请结合病理。
术后病理:电话随访患方口述术后病理结果为黑色素瘤。
黑色素瘤(malignant melanoma, MM)又称恶性黑色素瘤, 是一种来源于黑色素细胞的恶性肿瘤。病因学尚不完全清楚,一些研究资料提示,其发生与基因、环境及基因/环境共同因素等有关。该病起病隐匿、预后差。恶性黑色素瘤多见于 30岁以上的成人,女性稍多于男性,一般多发于皮肤和黏膜,同时可见于眼部、鼻腔和颅内等处,通常由交界痣恶变而来。
葡萄膜黑色素瘤(uveal melanoma,UM)是成年人最多见的眼内原发性恶性肿瘤, 约占所有黑色素瘤的 3%~5%[1]。UM 包括发生于虹膜、睫状体和脉络膜的黑色素瘤, 其中以脉络膜黑色素瘤最为常见, 约占 90% ~95%[2]。
脉络膜黑色素瘤 (choroidal melanoma,CM) 起源于脉络膜色素细胞、主要位于眼球后极,成人最常见的眼内恶性肿瘤,老年人常见、多数累及单眼,肿瘤多引起视网膜剥离,少数病例可向眼眶蔓延,可血行转移至肝、肺、胸膜、皮下组织、骨和脑。下面重点介绍 CM。
脉络膜黑色素瘤的症状与肿瘤的位置和大小有关,发生于眼球后极的肿瘤较早出现患者多有视力下降、视物变形、模糊,疼痛或炎性表现。
病程分为眼内期、青光眼期、眼外蔓延期、全身转移期。
眼内期:眼底有局部隆起,视网膜上看到灰白色或灰黄色黑色肿块,肿瘤突破玻璃膜进入视网膜下将出现视网膜脱离。
青光眼期:随肿瘤增大,晶状体、虹膜被肿瘤推向前,阻塞前房角,引起房水循环障碍,眼压增高,发生继发性青光眼。
眼外蔓延期:由于肿瘤增大可侵蚀巩膜薄弱处,如沿巩膜上的血管、神经导管等向球外转移到眼眶内至眼球突出,进而侵犯邻近组织、
全身转移期:多为血行转移,常见于肝脏、皮下组织、中枢神经系统、肺、胃、骨髓等。
包括视力、眼压、房角检查、眼底检查、光学相干断层扫描(OCT)、眼部超声、眼底血管造影,眼眶 CT 及 MR 等,必要时可结合全身 PET/CT 判断全身转移。
脉络膜黑色素瘤起源于脉络膜色素细胞,病理上大致分为三型:梭形细胞型、上皮细胞型和混合型。葡萄膜黑色素瘤通常起源于葡萄膜外层的色素细胞或睫状神经,属于神经外胚叶肿瘤。
X 线
肿瘤局限于眼球时无阳性发现,肿瘤很大侵犯球外眼眶时可引起眶窝扩大、眶骨破坏等表现。
CT
早期表现为眼环局限性增厚
蘑菇状、半球形或平盘状实性肿块。
密度高于玻璃体,增强肿块中度或明显强化。
肿块较大者可有坏死、出血或囊变、钙化少见。
继发的视网膜脱离,「V」字形的略高密度影(与玻璃体密度相比),增强后无强化。
MR
肿块顺磁性黑色素成分,典型为肿瘤实性部分呈短 T1、稍短 T2 信号,根据含黑色素成分多少 T1 信号可不同。
血-眼屏障异常或消失,增强扫描肿块呈中度或明显强化。
可伴视网膜脱落、眼外浸润、可沿视神经扩散,表现为视神经增粗,增强后明显强化。
PET/CT 检查临床价值
目前 CM 的相关研究主要针对肿瘤大小与 18 F-FDG 代谢的关系,通过 18F—FDG 代谢活性,有望鉴别 CM 与其他肿瘤。张蕾等研究发现,仅 39.13%(9/23) 的 CM 病灶 SUVmax ≥ 2.5,而 SUVmax 与肿瘤基底最大径、高度呈正相关。
PET/CT 在所有患者中皆有阳性发现,且肿瘤越大,SUV 平均值越高,提示其生物活性越强;另外,细胞类型和组织学因素也可能影响 SUV 平均值,因为在其入选病例中,混合细胞型以及肿瘤内部坏死导致炎症反应时,SUV 值往往较高。
PET/CT 可显示肿瘤位置、大小、眼眶内浸润范围及有无远处转移,是判断预后的重要影像学方法 [4-5]。张蕾等发现 18 F-FDG PET/CT 对高危型 CM 的检出率明显高于低危型,提示 18 F—FDG 摄取可能与组织病理学分型有关,18F—FDG PET/CT 或有助于评估 CM 患者预后。FINGER 等 [7] 认为标准摄取值升高是 CM 转移的危险因素,PET/CT 有助于评估 CM 转移潜能。评价细胞分型及跟踪随访、研发用于 诊断 CM 的特异性核素显像剂均可作为下一步研究方向 [8]。
脉络膜黑色素瘤病灶多见于眼球后壁及颞侧壁, 以隆起性形态 (半球形、蕈状、结节状) 为主。有较高的隆起高度,具有特征性 T1WI 高、T2WI 低信号,增强有强化。18-F FDG 显像均匀不同程度代谢增高,全身其余部位未见确切原发病变。

脉络膜转移癌病灶多见于后壁, 以梭形多见,通常表现为宽基底、扁平状,表面粗糙。通常有肺癌或乳癌等病史,常呈多发性或双侧性。

脉络膜血管瘤可伴有颜面部血管瘤,基底较广,表面光滑,非蕈形,T1WI 低或中等信号,T2WI 中或稍高信号。

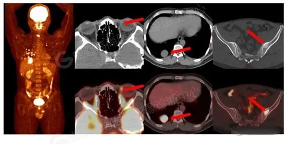
18F-FDG PET/CT 显示眼球内病变的分辨率虽不及超声、磁共振, 但 PET/CT 可以发现或排除其他部位的原发肿瘤或转移病灶,在判断眼部占位性质及脉络膜黑色素瘤 TNM 分期上作用显著,可发现其他部位的原发恶性肿瘤或脉络膜黑色素瘤的转移灶,进而更好的协助临床进行诊断、分期及预后评估等工作。
参考文献:
[1] 中国医药教育协会眼科专业委员会, 中华医学会眼科
学分会眼整形眼眶病学组, 中国抗癌协会眼肿瘤专业
委员会. 中国葡萄膜黑色素瘤诊疗专家共识 (2021 年)
[J]. 中华眼科杂志, 2021, 57(12): 886 - 897.
[2] Fallico M, Raciti G, Longo A, et al. Current molecular and clinical insights into uveal melanoma ( review)
[J] . Int J Oncol, 2021, 58(4) : 10.
[3] 王剑杰,蒲朝煜.PET/CT 和 PET/MR 在黑色素瘤中的临床应用 及新进展口].国际放射医学核医学杂志,2019,43(1):68—75.
[4] 燕玉清,赵红脉络膜黑色素瘤的病理特点与预后 [J].眼科新进展,2019,39(1):75—78.
[5] 王风华.脉络膜黑色素瘤预后指标的研究进展 [J].国外医学 (眼科学分册),2002,26(1):37—42.
[6] 陈聪霞, 张娟, 陈敏, 等.18F-FDG PET/ CT 在拟诊眼内转移瘤患者中的应用价值 [ J] . 国际放射医学核医学杂志, 2020, 44(6) : 339 - 344.
[7] Moon S H, Choi J Y, Lee H J, et al. Prognostic value of 18F-FDG PET/ CT in patients with squamous cell carcinoma of the tonsil: comparisons of volume-based metabolic parameters[J]. Head Neck, 2013, 35(1): 15 - 22.
[8]Jager M J, Shields C L, Cebulla C M, et al. Uveal melanoma[J] . Nat Rev Dis Primers, 2020, 6(1) : 24.
好文章,需要你的鼓励