患者女性,37 岁,因停经 1 月余来本中心检查。无阴道流血、腹痛等症状。




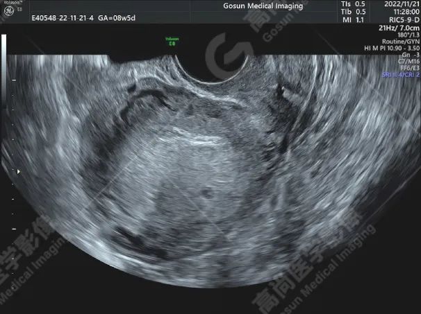
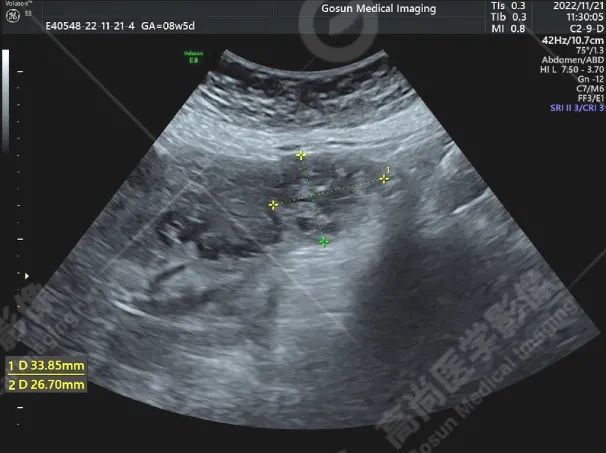
前位子宫,包膜光滑完整,形态饱满,实质回声不均匀增粗,内膜前移、清晰,厚约 15 mm;左侧宫角可见一向外突起的混合回声团块,大小约 34 mm×27 mm,边界欠清,形态尚规则,内部可见多处大小不等的无回声区,内侧与宫腔不相通,外侧肌层不完整,局部仅可见浆膜层,CDFI 显示其内可见丰富血流信号,PW 显示内部 Vp = 45 cm/s,RI = 0.23。
双侧卵巢大小形态正常,内未见异常回声。
左侧宫角旁混合性包块 (考虑左输卵管间质部妊娠);子宫腺肌病;双侧卵巢未见明显异常。
盆腔见少量积血,约 10 ml。子宫前位、增大,质软,左侧输卵管峡部近宫角处(间质部)可见孕囊,与子宫分界不清,大小约 4 cm×3 cm,表面紫褐色,包膜未破。双侧卵巢未见明显异常,右侧输卵管未见异常,开口可见。

行腹腔镜下左侧输卵管切除术+左侧宫角切开取胚缝合术+局部注射甲氨蝶呤。
输卵管间质部妊娠(interstitial ectopic pregnancy)是受精卵着床于输卵管间质部的妊娠,约占输卵管妊娠 3.2%,临床上少见。
此疾病初期无明显症状及体征,具有隐蔽性,自然发展结局多为输卵管间质部妊娠破裂,一旦破裂患者短时间内可陷入失血性休克状态,病情相当凶险,病死率高达 2%~3%。
由于输卵管间质部妊娠发病率低,临床相对少见,误诊率较高,且常与宫角妊娠等混淆,常面临诊断及决策困难。
输卵管间质部妊娠属于输卵管妊娠的一种,常见发病危险因素有输卵管炎症、输卵管妊娠史或手术史、输卵管发育不良或功能异常、辅助生殖技术、避孕失败等。
根据患者就诊时孕周以及是否发生输卵管间质部妊娠破裂,临床表现各异。
1. 症状:停经、阴道流血、腹痛、晕厥与休克。
2. 体征:输卵管间质部妊娠未破裂前,患者生命体征平稳,无阳性体征,部分患者下腹部可触及包块,伴轻压痛;输卵管间质部妊娠破裂后,患者往往短时间内出现面色苍白,脉搏快而细弱,心率增快和血压下降等失血性休克表现,下腹部有明显压痛及反跳痛,尤以患侧为著。腹部叩诊有移动性浊音,妇科检查子宫有漂浮感。
输卵管间质部妊娠未发生破裂时,患者多无临床症状,仅表现为停经、早孕反应,诊断较困难,需采用辅助检查方能确诊。输卵管间质部妊娠破裂属于急腹症,常于急诊手术中明确诊断。
1. 超声检查:超声是诊断输卵管间质部妊娠尤为重要和实用的诊断方法,往往可以发现无症状的患者。经阴道超声检查较经腹部超声检查准确性高,三维超声能够更好显示间质部妊娠病灶的整体结构及内部细微结构,明确病灶位置及分型,更直观、立体,诊断准确率可达 93.55%。
超声声像图表现:①宫腔未探及孕囊回声,间质部妊娠包块明显地突出于子宫底部一侧轮廓之外。②间质部妊娠包块周围肌层较薄或不完整。③间质部妊娠包块不与宫腔相连接,存在「间质线征」。
2. 磁共振检查:软组织分辨率高,能清楚显示孕囊和周围解剖关系,有利于临床诊断,但在急诊处理中临床实用性受限。
3. 血清 hCG 测定:若血清 hCG ≥ 3500U/L,经阴道超声未能在宫内见到孕囊或胚芽,则应怀疑异位妊娠存在。输卵管间质部妊娠的血清 hCG 倍增规律与正常宫内妊娠差异较小,单纯依靠血清 hCG 检测诊断困难。
4. 腹腔镜检查:超声、MRI 和血清 hCG 联合检查,使得更多的输卵管间质部妊娠病例在早期确诊。腹腔镜不是输卵管间质部妊娠的常规诊断手段,但仍有一些患者需行腹腔镜探查明确诊断。
5. 宫腔镜检查:对于早期未破裂型输卵管间质部妊娠与宫角妊娠、近宫角部的子宫肌壁间妊娠的鉴别诊断有一定的意义,尤其与超声联合诊断时。
6. 经阴道后穹隆穿刺及腹腔穿刺:对疑有腹腔内出血的患者,穿刺可证实腹腔积血的存在。
输卵管间质部妊娠需要与宫内妊娠、宫角妊娠、输卵管其他部位妊娠、近宫角部的肌壁间妊娠、残角子宫妊娠相鉴别。
输卵管间质部妊娠的治疗多以手术为主。手术治疗有开腹手术和腹腔镜手术两种途径,需根据患者确诊时的一般情况、停经时间、是否破裂、是否有生育要求、术者经验、医院条件等决定手术方式。
临床上多采用改良的开窗取胚术,术中可行病灶局部注入垂体后叶素、病灶周围荷包缝合等预处理减少术中出血,降低手术难度,减小对子宫完整性的影响,更大程度上保留患者生育能力。
输卵管间质部妊娠患者治疗后需严密随访,建议无生育要求者长期避孕,有生育要求者依据手术方式确定避孕及妊娠时间。
参考资料:
[1] 陈志华, 吴杰, 田文艳, 等. 输卵管间质部妊娠诊治的中国专家共识(2022 年版)[J]. 中国实用妇科与产科杂志,2022,38(03):290-295.
[2] 尚缜邈, 李建玲, 石太英.3D-TVS 检查在宫角妊娠与输卵管间质部妊娠诊断中的应用 [J]. 中国医学工程,2023,31(01):90-95.
[3] 黄娟颖, 陈维佳. 阴道及经腹超声联合检测与磁共振成像对诊断输卵管间质部妊娠的价值 [J]. 现代医用影像学,2022,31(08):1531-1534.
作者简介

范 丽
超声心电科主治医师
毕业于南方医科大学,硕士研究生。既往于南部战区总医院超声影像科工作 10 年、广东省中医院超声影像科工作 2 年,主要从事妇科、产科、盆底、浅表小器官、腹部等超声检查,尤其在盆底功能障碍性疾病的整体康复诊疗方面具有丰富的临床经验。
擅长:妇科、产科、腹部、浅表超声诊断及超声造影,在女性盆底功能障碍性疾病、乳腺癌筛查、甲状腺癌筛查等方面具有丰富的诊断经验。
好文章,需要你的鼓励