女性患者,47 岁,右上腹部偶有疼痛,早上痰中带血,否认发热。
2021/05/06 外院 CT 提示:双肺广泛分布大小不等结节(最大 1.7 cm),考虑多发转移瘤,待排其他;B 超提示:肝脏多发低密度灶(5.5×4.5 cm),子宫后壁低回声结节(1.1×0.9 cm)。2021/05/06 肿瘤指标示:AFP、CEA、CA125、CA199(-)。
既往:2008、2014、2018 年右颈部神经鞘膜瘤(低度恶性)术后 3 次。







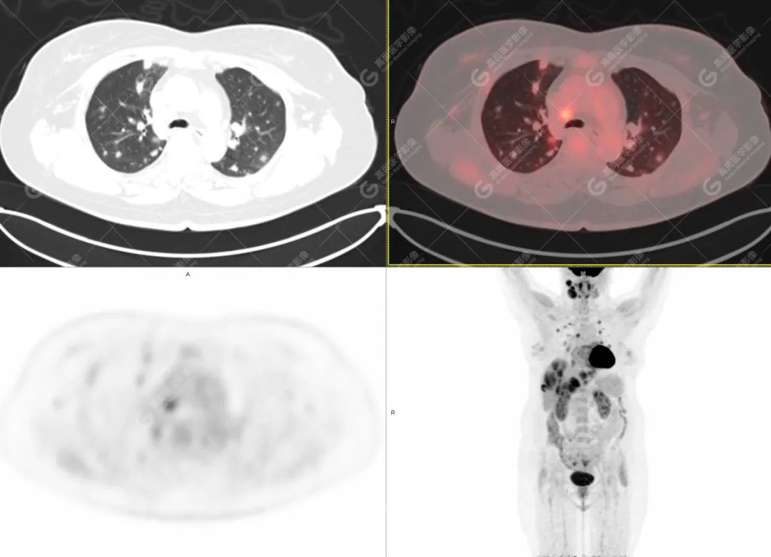
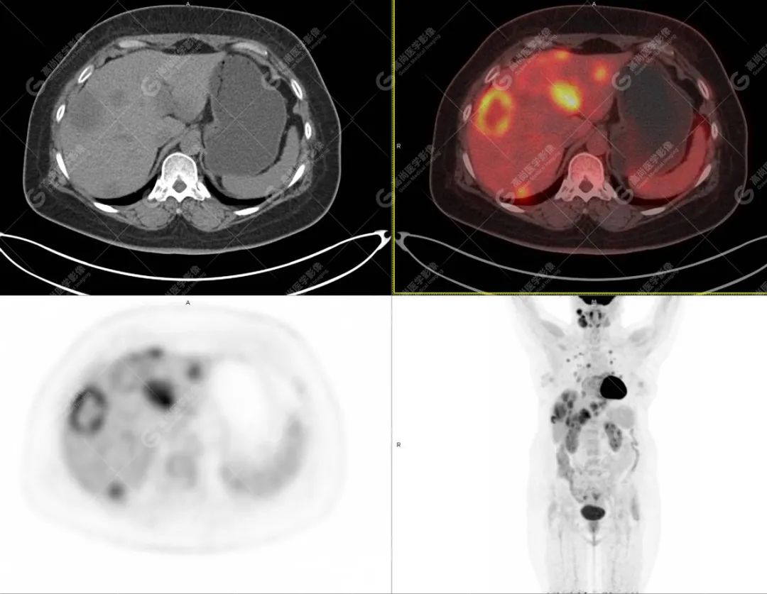
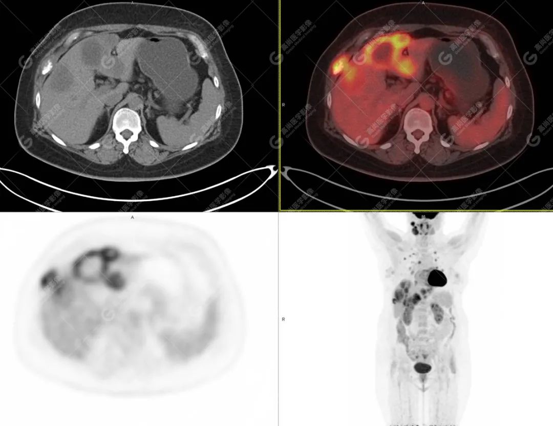
影像诊断:1. 结合病史,右颈部神经鞘瘤(低度恶性)术后改变,右侧颈部稍低密度及等密度结节,代谢异常增高,考虑为肿瘤复发并右颈部淋巴结转移,建议活检。 2. 双侧肺门及纵隔(4R 区)多发肿大淋巴结,代谢异常增高,考虑为转移。 3. 双肺多发大小不等实性结节,部分代谢增高,考虑为转移。 4. 肝脏多发低密度结节及肿块,代谢异常增高,考虑为转移。 5. 右侧第 8 前肋骨骨质破坏,代谢异常增高,考虑为转移。
随访病理(右侧颈部结节):血管肉瘤
血管肉瘤是一种罕见的起源于血管内皮细胞的软组织肉瘤, 具有侵袭性, 有局部复发和转移的倾向,预后一般较差,总生存期 6~16 月。可发生于不同年龄段,多见于 60 岁以上,男女比例 2∶1 ,可发生于身体的任何部位,皮肤、软组织及其他脏器各占 1/3 ,常见于头面部,其次为肝脏、胸腹壁、心肺及四肢等,不同部位的血管肉瘤异质性大 。
临床表现与发生部位有关,可表现为肿物肿大、侵犯周围组织器官及由此引起的继发症状。血管肉瘤的病因及发病机制目前尚不十分清楚, 慢性淋巴水肿和放射治疗已被证实是血管肉瘤最常见的危险因素,其他因素还包括家族综合征、暴露于环境化学毒素等。
血管肉瘤镜下特征为肿瘤由内皮细胞围成的相互吻合的血管腔,管腔大小不一,表面被覆着不典型内皮细胞,瘤细胞形态多不规则,核深染,分裂象多见,有明显的异型性。病理上肿瘤细胞呈条索样、上皮样、巢瘤样,多沿已存在的血管腔道、窦状或海绵状腔生长,易见出血或坏死,部分可见乳头样改变。免疫组织化学检测 CD31 、CD34 对血管内皮的敏感度和特异度均较高。
血管肉瘤影像表现有一定的特征性。临床症状多与发生部位密切相关, CT 、MRI 增强扫描对于诊断血管肉瘤有一定的价值,常表现为动脉期病灶边缘或中心环形或不规则强化,静脉期及延迟期有向心性或离心性渐进强化。PET/CT 上无明显特异性表现。
该病需与恶性神经鞘瘤、神经节细胞瘤等相鉴别:恶性神经鞘瘤多发于 30~50 岁人群,临床表现多为疼痛和神经麻木,CT 表现为浸润性生长的类圆形肿块,内部密度不均匀,肿瘤侵及椎管内外时,CT 可清楚显示病变呈哑铃状;MRI 上 T 1 WI 呈低信号,T 2 WI 呈高信号,瘤内囊变 T 1 WI 呈更低信号,T 2 WI 呈更高信号,增强扫描瘤体明显强化,常通过血行转移至肺。
神经节细胞瘤多发生于儿童和青少年, CT 上表现为边界清楚的均匀性稍低密度肿块,增强扫描呈轻度强化,肿瘤内出现脂肪密度是其特异性表现,内可见斑点状钙化。
参考文献:
陈优, 何来昌, 谭永明, 占雅如等. 肝脾血管肉瘤的影像学表现及其病理基础 [J]. 中国临床医学影像杂志,2020, 31(4): 267-270.
黄文鹏, 韩懿静, 朱丽娜, 高剑波. 原发性中纵隔血管肉瘤合并肝脏多发转移 1 例 [J]. 中国中西医结合影像学杂志,2021,19(6):606-607
好文章,需要你的鼓励