前交叉韧带影像解剖:
在矢状位上,前交叉韧带(ACL)起于股骨外侧髁的内侧面后部,斜向前下方,止于胫骨髁间棘的前方。表现为一条平滑、连续的带状结构,通常与股骨髁间窝皮质线 Blumensaat 线(股骨髁间窝顶线)平行,韧带平直,走行规则,有较好的张力。前交叉韧带中段直径较两端细,呈「沙漏」或「蝴蝶结」形。韧带内可有脂肪及滑膜条纹影,提示韧带的正常解剖结构。ACL 并非单一均质结构,而是由前内侧束(AMB/AM)和后外侧束(PLB/PL)组成,两束之间通过组织鞘分隔。这些束的纤维在股骨和胫骨的附着点有所不同,从而形成了不同的功能特性。它主要限制胫骨的前移和内旋,同时对限制膝关节内、外翻和过伸也有一定作用。
观察层面:
斜矢状面:是观察前交叉韧带的极佳层面,可清晰显示其形态、走行及连续性;
冠状面:有助于观察 ACL 的股骨和胫骨止点(「足迹」)。
轴位面:有助于评估 ACL 的纤维束(前内侧束 AM 和后外侧束 PL)及其与髁间窝的关系。

前交叉韧带损伤 MR 诊断与分级(MRI Diagnosis and Grading)ACL 损伤的 MR 诊断主要依据其形态、连续性和信号强度的改变。
Grade 1 (轻度损伤) | 韧带挫伤/微小撕裂 | 韧带形态正常、连续,但其内部可见局灶性 T2WI 高信号(水肿/出血),周围可有少量积液。 | I 度 |
Grade 2 (部分撕裂) | 部分纤维断裂 | 韧带增粗,内部可见弥漫性 T2WI 高信号,但仍有部分连续的低信号纤维束保持完整性。 | II 度 |
Grade 3 (完全撕裂) | 韧带完全断裂 | 韧带连续性中断,断端回缩、扭曲、走形异常或波浪状,或完全消失,被弥漫性 T2WI 高信号的液性/血性信号取代;陈旧性损伤可仅表现为韧带缺失。 | III 度 |
讨 论
ACL 损伤的直接征象(Direct Signs)
直接征象是诊断 ACL 损伤极为可靠的依据,直接反映了韧带本身的异常。
1、连续性中断(Discontinuity):韧带低信号影完全中断,断端间被高信号的液体或出血填充。是诊断完全撕裂的可靠征象。

2、异常走行(Abnormal Course):韧带失去正常的斜行走向,变得松弛、弯曲(波浪征),或与 Blumensaat 线的夹角消失(角度消失征)。
3、弥漫性信号增高(Diffuse Increased Signal):在整个韧带内或在明确的断裂处出现 T2WI/PDWI 高信号,代表水肿或出血。
4、形态改变(Mass-like Morphology):急性期韧带弥漫性增粗,形成假瘤征(Pseudomass),由于血肿和水肿导致。
5、「空窝征」(Empty Notch Sign):在冠状位或轴位上,股骨髁间窝内看不到正常的 ACL 低信号影。
ACL 损伤的 MRI 间接征象(Indirect Signs)
间接征象是 ACL 损伤后导致的继发性改变,特异性高但敏感度较低,当直接征象不明确时,它们是非常重要的辅助诊断依据。
1、胫骨前移(Anterior Tibial Translation):股骨外侧髁中部的矢状面,胫骨后缘垂直线位于股骨髁后缘垂直线前方 5 mm 以上,强烈提示 ACL 损伤。

胫骨前移,胫骨后缘垂直线位于股骨髁后缘垂直线前方约 10 mm,强烈提示 ACL 损伤,亦可见外侧半月板后角裸露征。
2、半月板后角裸露征(Uncovered Lateral Meniscus):矢状位上,外侧半月板后角后缘垂直线位于胫骨后缘皮质垂直线之后方。

胫骨前移导致外侧半月板后角失去了胫骨平台的覆盖。
3、沟槽征:当股骨外髁骨因撞击造成的凹陷深度>2 mm 时称为沟槽征,代表受到撞击的暴力更大。

股骨外侧髁凹陷
4、接吻征:膝关节过伸受伤时,胫骨前部撞击股骨髁前部,形成对称性骨挫伤;如果同时有一外翻力的话,膝关节外侧可出现对称性挫伤,这种对称性骨挫伤称为接吻征。也有人把轴移造成的股骨外侧髁和胫骨外后方水肿称为接吻征。

5、Segond 骨折:胫骨平台前外侧微小撕脱骨折 (胫骨平台腓骨尖上方,关节线下方的撕脱骨折),多因为下肢过度内翻加内旋暴力所致。但其强烈提示 ACL 损伤 (75–100%)。MRI 上表现为骨皮质不连续伴周围水肿。

6、后交叉韧带角(PCL Angle):正常 PCL 在矢状位上呈平滑的弓形向后凸(「弓形征」)。ACL 撕裂后,胫骨前移可能导致 PCL 变得松弛、弯曲度增加,其近端与远端连线形成的角度(PCL 角)< 105°,提示前交叉韧带断裂。

7、PCL 指数异常:取 PCL 两个附着点做直线,其长度为 L,从后交叉韧带弯曲最高处到 L 的垂直距离为高度 H,则 L/H 即为 PCL 指数。PCL 指数<3 为异常,提示 ACL 损伤。

PCL 指示为 2.8,提示 ACL 损伤。
8、前交叉韧带和胫骨平台夹角小于 45°

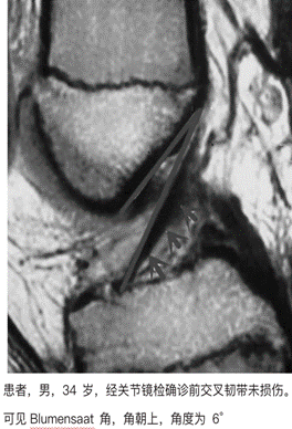
9、Blumensaat 角改变。

Blumensaat 角,即 Blumensaat 线 (股骨髁间窝顶骨皮质线) 和前交叉韧带(ACL)远端部分延长线交叉所形成的夹角。在 MRI 图像的矢状层面上髁间窝部分测得。Blumensaat 角可能相交于膝关节前下方,此时可初步判断前交叉韧带发生了断裂,也可能相交于膝关节后上。有文献研究将相交于膝关节前下方的角度定义为负值,相交于膝关节后上方的度定义为正值。有文献显示当 Blumensaat 角朝后上,>15°时,亦可提升前交叉韧带损伤的概率较大。



10、内侧副韧带损伤:膝关节损伤三联征 = ACL+内侧半月板+内侧副韧带损伤,因此,内侧副韧带的严重损伤应该考虑可能有 ACL 损伤。

单一对 ACL 信号进行分析,有时会出现误诊,原因如下:
● ACL 黏液样变性会出现类似撕裂水肿的高信号;
● 由于部分容积效应的影响,ACL 中下段会显示不同程度的高信号,若损伤发生在中下段,则很难判定;
● ACL 分束存在,会有一些含水结缔组织的包裹,呈现高信号;
斜矢状位的扫描方向通常为外旋 15°,当扫描线与 ACL 不平行时,会出现疑似撕裂的征象;
● 动脉搏动伪影。
总之,ACL 损伤的诊断需要借助 MRl 检查。ACL 损伤的间接征象还包括胫骨后内侧平台骨折、内侧半月板后角撕裂、外侧半月板后根损伤、半月板桶柄状撕裂等。综上所述,ACL 本身形态及信号的改变,即直接征象,是诊断 ACL 损伤的主要依据;而间接征象中,胫骨前移是大部分间接征象出现的基础,是与 ACL 损伤相关性最大的因素,是重要的辅助诊断依据。
好文章,需要你的鼓励