日前,成都京东方医院普通外科联合介入科成功开展钇 90 SIRT 技术(钇 90 树脂微球选择性内放射治疗)。该手术的成功开展标志着成都京东方医院为原发性或继发性肝恶性肿瘤的治疗提供了新的解决方案,该院也成为四川省第三家能开展该技术的医院。
![成都京东方医院成功开展钇 [90Y] 微球治疗肝脏恶性肿瘤手术](https://img1.dxycdn.com/p/s126/2025/0804/894/2156796635650022591.png?file=695917053)
57 岁的冉先生(化名),于今年 5 月在当地医院检查出原发性肝细胞癌 (HCC)Ⅲa 期,经当地医院评估失去传统手术机会。正当冉先生绝望之时,其家属了解到成都京东方医院可以开展钇 90 树脂微球选择性内放射治疗的消息给了他一线希望。
5 月 29 日, 冉先生来到了成都京东方医院,和普通外科聂彬主任就钇 90 治疗技术进行了详尽的交流,打消了心中的顾虑,重拾起生活的信心。经完善相关检查后医院立即启动多学科会诊。由普外科、介入科、肿瘤科、放射科、核医学科、消化内科组成的钇 90 治疗团队进行 MDT 讨论综合评估患者病情,并与患者及家属充分沟通后制定了详细的治疗方案。6 月 9 日,为其进行「锝 99MA-cc mapping 模拟术」时,发现患者存在肝内动静脉瘘、术后 SPET-CT 验证肺分流率高达 23%,超过安全阈值(小于 20%),不能进行钇 90 治疗。
冉先生唯一的希望再次被浇灭,其家属找到专家团队,希望能找到降低肺分流的办法,为后期做钇 90 治疗创造条件。普外科再次组织院内外专家就患者 mapping 情况商讨对策,一致认为通过介入手术封堵肝内动静脉瘘可以降低肺分流指数,但不确定能否降到安全阈值(小于 20%),同时行肝动脉药物灌注控制肿瘤生长。以上方案征得冉先生及家属同意后由介入科宋锦文主任医师为患者实施了「肝内动-静脉瘘封堵术」及「肝动脉药物灌注术」。
7 月 19 日,冉先生再次入院行「锝 99MA-cc mapping 模拟术」,术后经核医学科 SPET-CT 验证其肺分流率降至 8%,符合安全阈值。当冉先生得知该消息后热泪盈眶,再次看到了希望。随即钇 90 治疗团队再次启动 MDT 多学科讨论评估,制定处方剂量。
![成都京东方医院成功开展钇 [90Y] 微球治疗肝脏恶性肿瘤手术](https://img1.dxycdn.com/p/s126/2025/0804/869/2707099909650022591.png?file=695917068)
7 月 27 日下午,钇 90 手术按计划进行。在钇 90 治疗督导专家曾英琅教授现场指导下,由介入科联合普外科手术团队共同实施,将导管通过股动脉精准送至肝动脉肿瘤供血分支,按术前处方剂量,精准注入钇 90 树脂微球。历时 44 分钟,手术顺利完成。
![成都京东方医院成功开展钇 [90Y] 微球治疗肝脏恶性肿瘤手术](https://img1.dxycdn.com/p/s126/2025/0804/334/4247002526650022591.png?file=695917056)
![成都京东方医院成功开展钇 [90Y] 微球治疗肝脏恶性肿瘤手术](https://img1.dxycdn.com/p/s126/2025/0804/560/6127985654650022591.jpeg?file=695917046)
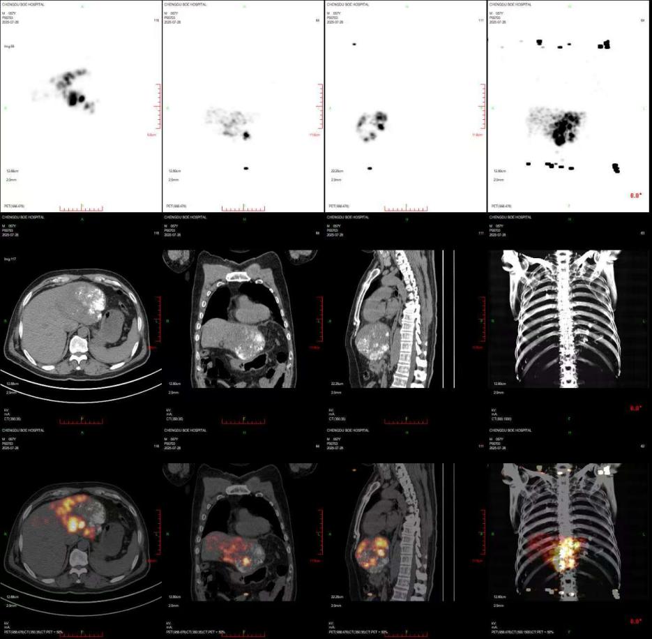
术后,经核医学科 PET-CT 检查验证为冉先生注入的钇 90 树脂微球充分进入到预定病灶,与术前的模拟评估一致,表明钇 90 树脂微球沉积于肿瘤的效果达到预期,目前冉先生已顺利出院。
![成都京东方医院成功开展钇 [90Y] 微球治疗肝脏恶性肿瘤手术](https://img1.dxycdn.com/p/s126/2025/0804/659/4201485344650022591.jpeg?file=695917043)
目前,钇 90 树脂微球选择性内放射治疗术,已在全球超过 50 个国家和地区累计治疗超 15 万人次。中国大陆于 2022 年获批使用该技术,目前国内仅有少数大型三甲医院具备开展钇 90 手术的技术和资质,而该技术在成都京东方医院的落地,也必将为该地区肝肿瘤患者带来更多选择。
供稿:成都京东方医院普外科
好文章,需要你的鼓励