在医院,你或许见过一个名为「胸痛中心」的标识。
你可能以为它仅仅是一项便民快捷通道,但实际上,它还是一条救命关键通道。
这个醒目的标识提醒着每个人,但愿大家用不着但一定要牢记的信息:
如果急性胸痛,别耽搁,来这里。深圳市萨米医疗中心 具有成熟的救治能力,会在最短时间开通绿色通道,能提供最快速、最精准的治疗。
胸痛中心构建急性胸痛救治网络,它为急性胸痛、胸闷的患者构建从发病到救治的全程绿色通道,让患者在 120 分钟黄金救治时间内被抢救、得到有效救治。
引起急性胸痛、胸闷的最常见急症有四种——急性心肌梗死、主动脉夹层、肺栓塞、张力性气胸,都是会引起快速死亡的急症。
其中,急性心肌梗死排在第一位,发病人数最多,引起的死亡也最多。
中国每年有超过 400 万人死于急性心血管病,占所有死亡的 41.89%。
这么高的死亡率,是因为医生技术不行吗?并非如此。行业内有专家曾这样说:中国的心内科医生是全世界最牛的医生群体之一。
就拿急性心肌梗死的抢救来说吧,中国医生可以第一时间诊断出急性心梗,然后迅速做手术,放支架,挽救病人;不适合放支架的,还有溶栓,用药物把血栓通开,恢复心肌供血。总之,中国医生有办法、有技术。
在全球各地,因为急性心梗而导致死亡的主要原因不外乎四种——拖延时间、病情太重、进展太快、治疗失败。
时间延迟是引起心血管疾病患者死亡的首要原因。
换句话说,不能及时接受治疗,神仙也救不回来。
分秒之差,千里之别,时间就是生命
而时间延迟又主要分三个方面,分别是病人延迟、转运延迟和治疗延迟。
其中,医院最能发力的,就是治疗延迟环节。
在临床抢救中,从心梗患者抵达医院到阻塞的血管恢复通畅的时间(D-to-W 时间),是衡量医院胸痛中心救治能力的金标准,国际标准为 90 分钟。
近日,深圳市萨米国际医疗中心(深圳市第四人民医院)心血管内科救治了一名急性心梗患者,D-to-W 时间仅为 23 分钟。
与国际标准相比,足足缩短了 67 分钟,这是如何做到的?
传统救治模式下,心梗患者是这样就诊的:
1. 拨打 120——需要经由 120 进入急诊科
2. 救护车——在急救车上由医生进行简单处理
3. 检查——到医院后做心电图等必要检查
4. 会诊——初步甄别后请心内科医生会诊
5. 住院——收入 CCU 病房
6. 手术——再进入导管室进行相应的介入治疗
看起来环环相扣,实际上消耗了很多抢救时间。
而胸痛中心将传统打破,整合全院资源,将救治节点前移,为患者抢回宝贵时间。
这天,坪山 63 岁的王先生,被胸痛折磨了好几天后,来到家附近的医院就诊。
刚好,这家医院是深圳市萨米医疗中心胸痛中心网络协作医院之一。医生通过网络医院请求我院联合会诊时,我院胸痛救治体系就已启动,白衣战士们展开了一场与死神赛跑的生命争夺战。
通过联合会诊,我院胸痛指挥中心第一时间掌握王先生信息,明确诊断为「急性下壁心梗」。王先生随时有生命危险,需要立即手术。
根据相关信息,我院迅速确定诊疗方向,精准制定救治方案。王先生获知介入手术适应症及手术风险后,从我院网络协作医院转出。
我院启动导管室,做好术前准备,考虑到患者病情危急,心血管内科李雪峰主任果断决定:绕行急诊和 CCU,替病人争取时间。
转院仅耗时 9 分钟,从救护车驶入大门那一刻起,救治正式开始。
患者抵达医院。120 急救车驶入医院大门,执行双绕行,不停留急诊科和 CCU 病房,直接前往导管室行介入手术。
患者到达导管室,患者及家属签署知情同意书,李雪峰主任准备手术。
开始桡动脉穿刺,准备冠脉造影。
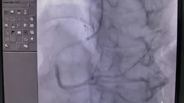
开始造影,发现右冠状动脉完全闭塞。
阻塞血管恢复通畅,导丝顺利通过闭塞段,阻塞血管重现了血流。

至此,我院胸痛中心团队创造了 D-to-W 时间仅 23 分钟的纪录。
术后,李雪峰主任表示,救治心梗患者,是一场多机构多部门的接力赛,每一个环节都至关重要。
诊断明确、多方联动,120 高效转运与绿色通道争分夺秒,急诊科、导管室、心内科等各相关科室人员提前介入、通力协作,诸多环节无缝连接、环环相扣,形成强大合力,才能为救治患者赢得宝贵时间。
术后第 3 天,王先生就已出院回家休养。
生活中,关于心梗,血的教训并不少,我们需要了解,时间延误是急性胸痛病人就医的核心矛盾,而胸痛中心就是为了解决这个矛盾而专门设立的。
与我们每个人以及我们爱的家人朋友息息相关,我们更应该牢记这个能救命的信息:
急性胸痛真的会死人,从感觉到胸痛打急救电话开始,你就要记得——时间,是最关键的生存指标,而胸痛中心可以挽救您的生命。
好文章,需要你的鼓励