71 岁老人反复头晕、心慌,最慢心率仅 29 次/分,心脏最长停搏 5.16 秒。更棘手的是,她还存在罕见的血管解剖变异……
近日,心脏病院张卫泽副院长、武峰教授团队成功为一名存在血管解剖变异的老年患者实施我院首例心房无导线起搏器(Aveir AR)植入术。

该患者为 71 岁女性,因「反复头晕、心慌」症状就诊我院,门诊行动态心电图提示:窦性心动过缓、阵发性房颤,最慢心率 29 次/分,交界性逸搏心律,最长心脏停搏 5.16s。心电检查中心立即报告危急值,紧急联系医生将其收住入院。入院后完善相关检查及化验后诊断:病态窦房结综合征。
01 准备手术,但发现了更大的难题
病态窦房结综合征的根治方法是植入永久性心脏起搏器。这是医学上的 I 类适应症,没有争议。
但术前准备时,心脏病院张卫泽副院长发现了一个意想不到的问题。
患者的上腔静脉——也就是传统起搏器电极必须经过的主干道——存在罕见的解剖变异。

她得了一种叫「永存左上腔静脉」的先天畸形,发生率只有 0.3%-0.5%。更要命的是,她的右上腔静脉还闭塞了。
打个比方:常规起搏器植入,就像要从一条固定的高速公路开车过去。但这位患者的高速公路压根没修通,还多了一条不该存在的岔路。
传统起搏器的电极导线,根本走不进去。


02「另辟蹊径」:一颗胶囊大小的起搏器
路不通,怎么办?
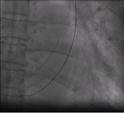
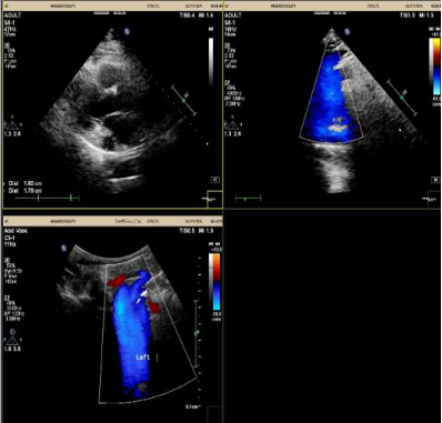
张卫泽副院长带领心内一科团队,通过完善血管超声检查精准评估下腔静脉血管路径正常,追踪患者既往心电检查结果确认无房室传导阻滞,与家属商议后决定采用心房无导线起搏器(雅培 Aveir AR)植入术式。
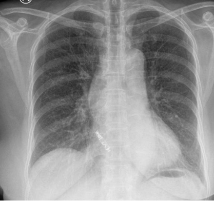
无导线起搏器体积仅胶囊大小(约 1.0cc),重量不足 2 克,通过导管直接植入心腔,无需切开皮肤或植入传统的电极导线,刚好解决了解剖变异问题。术中使用 Aveir AR 专用输送系统经右侧股静脉-下腔静脉血管途径顺利将起搏器送入右心房,并精准释放于右心耳,测试参数满意,术后心电监测记录到患者再次出现心脏停搏,起搏器及时启动帮助跳动,患者未发生不适症状。术后 24 小时程控起搏器阈值良好,工作状态无异常。患者头晕、心慌症状显著缓解,无需换药拆线,第三日即办理出院,如此效率,让患者及家属连连称赞。


03 技术突破为特殊患者带来新希望
张卫泽副院长表示:「病态窦房结综合征(简称「病窦」)是因窦房结功能减退引发的心律失常,常见于老年人,表现为头晕、黑矇、乏力,严重时可致晕厥甚至猝死。起搏器植入是唯一有效治疗手段。永存左上腔静脉患者植入传统起搏器时,电极路径迂曲,易导致导线断裂或脱位,无导线起搏器则无需依赖静脉路径。而心房无导线起搏器是心脏起搏领域的最新技术,标志着无导线起搏技术从「单腔」向「双腔」时代迈进。它为需要双腔起搏或存在传统导线植入高风险的患者,比如永存左上腔静脉患者、血管闭塞患者、透析患者、年轻患者等提供了革命性的治疗选择。
心房无导线起搏器的出现,填补了无导线起搏技术在心房领域的空白,是心脏起搏技术发展的又一里程碑。它为复杂心脏病患者带来了更微创、更生理、更安全的治疗方案。而此次手术的成功,也标志着我院在复杂心脏介入治疗领域再上新台阶。」目前,患者已康复出院。
心血管内一科团队提醒,若家中老人出现不明原因头晕、心悸,应及时就医排查心律失常,早诊断、早治疗是守护心脏健康的关键。
本文指导专家:
西安国际医学中心医院心脏病院副院长张卫泽
好文章,需要你的鼓励