发布于:2020-05-19
原创

同样是结石,为什么差距之大?

有的人肾结石疼痛发作,坐车上医院检查还没做,结石就“震”出来了;有的人肾结石疼痛发作,痛了一个礼拜,结石卡得输尿管积水了,最后手术两小时,一共取出了143颗结石。

有的人肾结石疼痛发作,坐车上医院检查还没做,结石就“震”出来了;

有的人肾结石疼痛发作,痛了一个礼拜,结石卡得输尿管积水了,最后手术两小时,一共取出了143颗结石。

同样都是结石,石和石的差距咋就这么大?!

 

上周一天凌晨三点,树兰医院急诊来了一位30岁左右的年轻女性,扶着左侧的腰就进了诊室,“医生,我左侧腰痛,半夜睡觉都痛醒!”

急诊科值班医生一边问病史,一边检查,轻轻敲扣了下患者左侧肾脏的位置,“哎呦,就是这里!”这位年轻女患者表示,自己两年前查出有肾结石,“另外,我晚上睡觉前,刚好不小心在家里摔了一跤!”

“也许正好是这一跤,把肾脏内的结石给摔出来,卡在了输尿管里!”

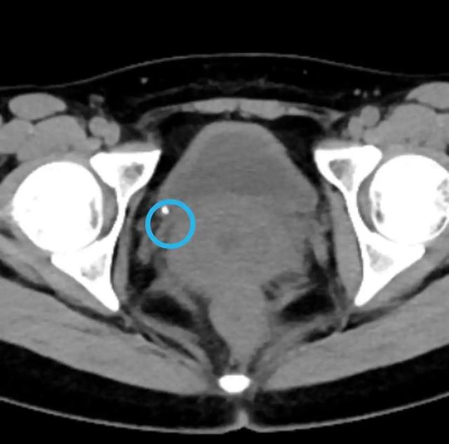
急诊医生迅速开好检查单,安排患者做一个腹部CT检查。“但好奇怪啊!我在准备做检查的时候,就觉得不太痛了!”女患者检查做完回到急诊室,医生赶紧打开影像系统一看——

结石已经经过输尿管,滑落到了膀胱内,直径大约0.3公分。

 

同样是结石,为什么差距之大?

 

医生患者都松一口气!

 

“该不会是我坐车来的一路太颠簸了,卡在输尿管里的结石又给震下来了?”面对女患者的疑惑,急诊科医生表示,这个可能性也是有的。

 

“但是要注意,除了膀胱内的一颗结石外,肾脏内大约还有4-5颗,因此以后可能还会有结石疼痛发作的可能,下回有不适还是要及时来医院!”急诊科值班医生叮嘱道。

 

相比较下面这位住院手术的病人,这位急诊科的女患者算是幸运的。

 

今年40多岁的王先生(化名)左边腰背痛了一个礼拜,“疼痛断断续续的,忍忍还忍得过去,就是偶尔有点血尿。”王先生当时觉得男子汉这点痛……

但没想到,突然有一天剧痛无比,“忍不了了,忍不了了!”王先生这才赶紧上医院,腹部CT一检查,发现左侧输尿管中段多发结石,而且卡住后堵得上段的输尿管和肾盂扩张了,左肾周围已有液体渗出,右肾也有很多结石。

 

“我们一边立即为患者镇痛,进行对症治疗缓解症状,一边继续追问病史,原来患者多年前就因为双侧肾结石在外院做过手术治疗,这次再次复发!”树兰医院泌尿外科李忠孝医师说道。

 

随后医生手术共取出143颗结石。

 

同样是结石,为什么差距之大?

所以都是结石

有的结石坐个车

震一下都会掉出来

而有的结石要手术取个两小时

为什么?

 

科普

想要做到尽量避免结石,最好做个成分分析下,你得到的是什么类型的结石。

大多数情况下多为草酸钙结石。建议先调整饮食结构。要控制含钙、草酸、嘌呤丰富的食物摄入,避免高动物蛋白、高糖、高脂肪饮食。比如豆制品、菠菜、浓茶、咖啡、辣椒、果仁、动物内脏、酒类等要少食用。

 

还要多喝水。水摄入过少、出汗过多,会使尿中钙和盐的过饱度增加,尿中晶体形成,从而引发肾结石。反之,大量喝水能使尿液稀释,减少尿中晶体形成。

 

医生提醒,不少的结石患者平常并不会出现疼痛,但也要注意体检筛查,如果一旦发现有结石,千万不要自行处理,一定要到泌尿外科专科医生就诊,由专科医生为其选择最适合自己的治疗方法。

 

*声明:本内容仅代表文章来源方观点,不代表本站立场。本内容仅供医学药学专业人士阅读,不构成实际治疗建议。

推荐阅读

合作咨询