对于肿瘤患者而言,PET/CT 在某些关键阶段和特定情境下,能够提供其他检查难以替代的重要信息,为临床决策提供有力支持。
1. 肿瘤患者治疗中期、治疗后期疗效评估及治疗结束后的随访;
2. 随访过程中肿瘤标志物升高,但常规影像学检查未发现明确异常;
3. 随访中出现无明显诱因的疼痛、不适或症状进展,病因不明。
1. 是否存在肿瘤复发或残留活性病灶;
2. 是否出现远处转移或多部位受累;
3. 区分治疗相关改变(如炎症、纤维化)与肿瘤复发或残留
PET/CT 通过一次检查实现全身评估,将解剖结构与代谢信息相结合,有助于在常规检查难以发现时,尽早定位潜在病灶。在这些情境下,PET/CT 往往能够提供「关键线索」。

病例一:宫颈癌术后近 1 月进行术后再分期。PET/CT 显示阴道残端及盆腔条片影代谢增高,考虑为术后炎性改变,后续临床证实为炎性改变。

病例二:血管免疫母细胞性 T 细胞淋巴瘤患者治疗结束后 1 个月进行疗效评估。PET/CT 显示多发淋巴结体积及数量减少、代谢明显减低,双肺、胸膜及脾脏病灶代谢显著下降,提示治疗后病灶活性受到有效抑制。

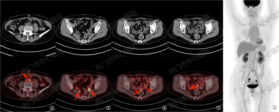
病例三:乙状结肠癌术后合并肝左叶转移瘤综合治疗后 1 周,发现 CEA 及 CA19-9 明显升高。PET/CT 显示肝左叶病灶代谢不高,考虑病灶活性受抑;盆腔多发淋巴结代谢增高,提示新发转移灶,为肿瘤标志物异常升高提供了影像学依据。

病例四:右肺癌综合治疗后 3 年余,患者出现右侧胸背部间断疼痛 4 月余。PET/CT 显示右肺近肺门区、胸 9 椎体及右侧附件病灶代谢增高,提示活性残留;同时发现多个新发转移灶,提示疾病进展。
在病情评估的重要阶段,PET/CT 往往能够提供关键线索,帮助医生更准确地把握疾病走向。新的一年,科学复查、理性选择,让检查更有价值,让决策更有依据,真正服务于患者健康。
好文章,需要你的鼓励