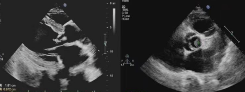
32 岁的王先生,因为拔牙后没注意护理,开始反复发烧,吃了退烧药也不管用,还总觉得心慌、没力气。医生怀疑是细菌通过拔牙伤口钻进了血液,流到心脏引发了感染,在经胸超声(TTE)检查时发现,他的主动脉瓣上,长了一个绿豆大小的「小疙瘩」——这是细菌形成的赘生物。同时还看到,因为这个小疙瘩的破坏,主动脉瓣关不严实,血液出现了反流。结合验血结果(查到了相同细菌),医生很快确诊了王先生病症属于「感染性心内膜炎」。

55 岁的李阿姨,患有多年风湿性心脏病,因最近突然出现高烧、呼吸困难,手指尖还长了紫红色的小疹子,她来到了医院, 医生通过经食道超声(TEE)检查后发现,她的二尖瓣后叶上,藏着一个米粒大小的「小疙瘩」,而且瓣膜已经被蛀出了一个小洞,还连累周围心肌长了个「小脓包」(瓣周脓肿)。原来,李阿姨也是得了感染性心内膜炎。

什么是感染性心内膜炎?
简单来说,感染性心内膜炎就是细菌、真菌偷偷「攻占」心脏,在瓣膜上形成「小疙瘩」(赘生物),还会把瓣膜蛀坏。而超声检查,就是医生给心脏做的「高清侦探镜」,能直接找到这些病灶。我们通过两个真实病例,就能明白它有多重要。
如何发现感染性心内膜炎?超声检查来帮忙
01
找病灶,帮医生确诊
就像王先生的「米粒大赘生物」、李阿姨的「芝麻大隐藏病灶」,只有超声能直接看到这些感染的「证据」,结合验血结果,才能快速确诊,避免漏诊、误诊。
02
评损伤,判断病情轻重
超声不仅能找「小疙瘩」,还能看它把瓣膜破坏到啥程度——是轻微反流,还是像李阿姨那样出现「破洞」「小脓包」,这些信息直接决定医生是选药物治疗,还是要做手术。
03
追疗效,全程监测恢复
不管是吃药还是做手术,超声都是「效果监测仪」:比如王先生复查时,超声看「小疙瘩」变小、消失,就说明药效好;术后患者复查,能看新瓣膜是否正常工作,有没有再感染。
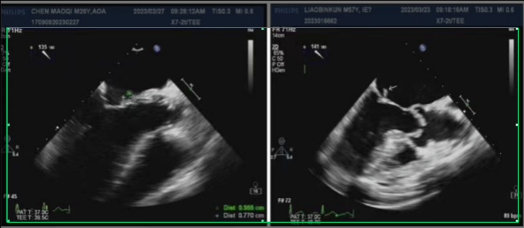
后来,王先生按时吃抗生素,每 2 周复查一次经胸超声。3 个月后,超声显示瓣膜上的「小疙瘩」彻底消失,血液反流也减轻了,最终不用手术就痊愈了。而李阿姨则通过及时用药控制感染,2 周后根据超声显示的瓣膜损伤程度,做了瓣膜置换手术,目前她的术后身体状态良好。
两种超声检查,该选哪一种?
从上面的病例也能看出,两种超声各有侧重,不是「越贵越好」,而是「对症选择」:
01
- 经胸超声(TTE):像王先生这样的初诊患者,先做这个「无创检查」——探头贴胸口,不痛不麻烦,能快速排查明显病灶,是首选的「初筛工具」。
02
- 经食道超声(TEE):李阿姨这样,经胸超声没发现问题但症状典型,或需要精准看瓣膜损伤、找隐藏病灶时,就用这个「高清工具」,能揪出 95% 以上的微小病灶。
感染性心内膜炎绝非小病,但其诊断却高度依赖影像学证据。通过今天的科普,我们希望大家能认识到,超声心动图这把「照妖镜」对于揪出心脏内的「细菌堡垒」是何等重要。如果您或您的家人属于高危人群(如有心脏瓣膜病、先天性心脏病或植入过人工瓣膜等),并对不明原因发热保持警惕,请务必想到心脏超声检查。一次及时的检查,或许就能避免一场不可逆的心脏损伤。
守护心脏,从一次清晰的「透视」开始。
好文章,需要你的鼓励