近日,依据精准的导航定位,郑州大学五附院血管外科采用「八爪鱼技术」,对一例 71 岁累及内脏动脉的主动脉假性动脉瘤患者成功完成了腔内隔绝术。全身仅两处 1 cm 穿刺口,术后患者可尽早下床活动。该患者
近日,依据精准的导航定位,郑州大学五附院血管外科采用「八爪鱼技术」,对一例 71 岁累及内脏动脉的主动脉假性动脉瘤患者成功完成了腔内隔绝术。全身仅两处 1 cm 穿刺口,术后患者可尽早下床活动。
该患者的主动脉假性动脉瘤累及内脏区,病变十分罕见,一旦瘤体破裂患者即可休克猝死(图 1)。由于其外科开放手术的复杂程度远超过单纯的肾下腹主动脉瘤,手术首先需要胸腹部联合切口,之后采用人工血管置换腹主动脉,还要重建腹腔干,肠系膜上动脉及双肾动脉。
该手术不仅创伤巨大,难度巨大,还存在截瘫、肠缺血、肾缺血等诸多风险。但该患者身材瘦小,体质差,无法耐受手术创伤,因此该患者不适合开放手术。

图 1
目前绝大多数肾下腹主动脉瘤都可通过放置覆膜支架进行微创的腔内隔绝术,达到治疗目的(参考腹主动脉瘤——肚子里的「不定时炸弹」)。
但在本例患者中假性动脉瘤破口及瘤体位于内脏动脉开口部位,单纯置入覆膜大支架存在阻断重要内脏动脉风险,造成肾脏缺血坏死肾衰竭,肠道缺血坏死等风险,严重时危及生命。针对患者特殊病情,医院副院长王兵教授决定为患者实施「八爪鱼技术」。2011 年,美国 Karthik Kasirajan 医生首次运用「八爪鱼技术」治疗累及内脏动脉的肾上型腹主动脉瘤。
所谓的「八爪鱼技术」就是利用现有的覆膜支架材料,经过人工改造,将覆膜大支架与小的覆膜支架相连接形成主体覆膜大支架;
该技术先利用主体覆膜大支架来封堵动脉瘤及动脉破口,再利用覆膜小支架伸入到不同的内脏动脉中,重建内脏分支动脉,为不同脏器进行供血,最终起到封堵动脉瘤的同时保留内脏供血的治疗目的。因为这样的覆膜支架组合完成后最终的样子很像八爪鱼的触角,因此得名。
该手术方式技术难度极高,不仅需要手术团队有完善的术前预案及充分的耗材准备,还要有高超血管腔内操作技术,对术者的要求极高;该术式术中准确定位至关重要,不仅要定位病变位置,还要定位内脏动脉开口位置;而血管外科配置的新一代移动式血管造影机可提供术中精准导航,准确显示病变及内脏动脉开口,为手术提供良好的辅助功能。
副院长王兵教授带领血管外科崔文军主任、司江涛主管医师及王广华大夫向这一高难度手术发起了挑战。手术团队参考「八爪鱼技术」,将 3 条短的覆膜小支架插入并缝合进传统「人」字型分叉覆膜大支架短腿分支内,成功制备成主体覆膜大支架(图 2)。

图 2
由于不同患者内脏动脉开口位置千差万别,如何进行支架定位并顺利置入分支覆膜支架是手术成功的关键。实际手术中,依据先进的术中导航技术,准确释放主体覆膜大支架后,顺利将覆膜小支架置入肠系膜上动脉、双肾动脉等分支动脉,另外一支接第二枚覆膜支架隔绝腹主动脉假性动脉瘤,从而既隔绝了动脉瘤,又保留了内脏血流(图 3,4)。
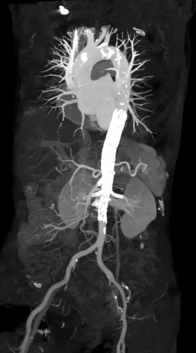
经过一系列精细的操作后,手术团队成功完成了腔内隔绝术,患者全身仅股动脉及肱动脉处有两处 1 cm 穿刺口。术后患者恢复良好,术后第七天 CT 复查提示「主动脉假性动脉瘤隔绝效果佳,内脏动脉支架通畅」(图 5)。

图 3

图 4

图 5
副院长王兵教授介绍,主动脉假性动脉瘤及腹主动脉瘤是体内不定时炸弹,随时存在破裂猝死风险。
近年来,以郑州大学五附院王兵教授血管外科团队不仅可以开展常规的主动脉腔内隔绝术,还成功开展一系列复杂腹主动脉腔内治疗技术,例如「烟囱技术」,「体外开窗技术」等,为患者提供更多更好的医疗服务。
*声明:本内容仅代表文章来源方观点,不代表本站立场。本内容仅供医学药学专业人士阅读,不构成实际治疗建议。
好文章,需要你的鼓励