郑州大学第五附属医院

郑州大学第五附属医院

人气4818949
获赞134

郑州大学第五附属医院前身为郑州铁路局中心医院,始建于1915年,2005年9月归属于郑州大学。1993年获评河南省首批三级甲等医院。医院位于郑州市中心,占地面积92.17亩,实际开放床位2000张。涌现出以胡佩兰、梅祖懿、孔祥光等为代表的前辈先贤。经过104年的发展,医院已经成为设备先进、专业齐全、技术精湛、服务优良,集医疗、教学、科研、预防、保健、康复为一体的现代化省级综合医院。医院设有59个临床医技科室,学科齐全,综合实力雄厚。拥有11个重点学科,其中,8个河南省医学重点学科,3个原铁道部重点学科,康复医学、神经病学、消化内科、神经外科、血管外科、医学整形美容科、呼吸内科是河南省医学重点学科, 肿瘤内科是河南省医学重点培育学科;骨科、泌尿外科、心血管内科是原铁道部重点学科。优势明显的学科诊疗体系使医院在康复治疗、消化系统疾病治疗、神经系统疾病治疗、心血管疾病治疗、肿瘤治疗和体检预防保健等方面具有鲜明的特色。医院现有职工2510人,高级职称307人,博士生导师、硕士生导师77人,医学博士、硕士498人。医院是郑州大学第五临床学院,也是郑州大学临床医学博士后流动站,拥有6个博士学位点、7个硕士学位点。

  • 关注
  • 在招职位
  • 机构介绍
最新关注
医疗关注
医院活动
学科建设
健康患教
先进人物
医院文化
爱心公益
国考成绩

气切患者转康复科,只能等拔管?

2025-12-23

暖医情·便民行丨把「陪护的重担」 交还给专业

2025-12-23

重症肌无力患者告别反复气管切开 新治疗方案显成效

2025-12-23

知帕不怕 | 避开这些「雷区」,科学管理病情

2025-12-23

揭开隐藏的心脏风险:一文读懂肥厚型心肌病激发

2025-12-23

会议通知丨河南省康复医学会意识障碍康复分会成立学术大会暨首届嵩山脑机接口论坛暨河南省意识障碍联盟理事会第二次学术年会

2025-12-23

适龄妊娠,给宝宝一个好的起点!

2025-12-23

从「美酒」到「毒药」,这个病例给你敲响警钟!

2025-12-16

暖医情•便民行丨把缴费变简单 把就医变轻松

2025-12-16

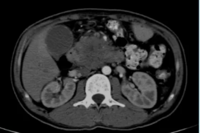
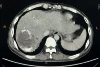
37 岁青年胰腺癌绝境重生,纳米刀技术点燃生命希望

2025-12-16

品牌指数

2025.12.22 至 2025.12.28
61.02 医院品牌指数
6114 综合排名
查看趋势详情
2023年年度星耀医院