5 岁的珠海男孩小喜(化名)被确诊患有「神经母细胞瘤」,因为腹腔内的肿瘤处于Ⅳ期,如果治疗不及时或不恰当,死亡率极高。
小喜需要先经过化疗,在肿瘤体积缩小后,再进行手术切除。由于神经母细胞瘤有包绕血管生长的特性,手术难度极高,在近日开展的整场手术中,医生如同在「刀尖上跳舞」。
最终,在珠海市妇幼保健院医生团队的全力奋战下,这场与死神的争夺战打赢了。
5 岁男孩确诊患有「神经母细胞瘤」
4 个月前,珠海的 5 岁男孩小喜肚子疼了一个月,吃了药后不见缓解,并且越来越消瘦,经过当地医院的检查后,医生发现小喜的腹腔长了一个巨大的肿瘤,被确诊患有「神经母细胞瘤」。

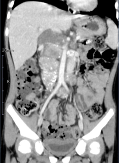
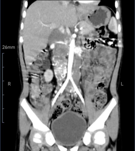
经过检查和诊断,医生发现小喜腹腔里的肿瘤不仅非常大,而且有骨髓转移的迹象,肿瘤包绕着腹主动脉、下腔静脉、肾动静脉等多条重要血管,小喜处于神经母细胞瘤Ⅳ期,失去了手术机会。
珠海市妇幼保健院小儿血液风湿科主任 谢永武 介绍,神经母细胞瘤是儿童最常见的恶性实体肿瘤,常发于 5 岁以下 儿童,由于恶性程度高,发现时往往已经是 III 期甚至Ⅳ期,若治疗不及时或不恰当,死亡率极高。
经过反复讨论,医生团队最终决定对小喜先行新辅助化疗(即手术前给予化疗),也就是在化疗有效、肿瘤体积缩小后,根据评估进行手术切除。

随后小喜顺利接受了四个疗程的化疗,庆幸的是,小喜的化疗效果非常好,不仅能耐受化疗的副作用,而且 4 月的腹部 CT 复查结果显示肿瘤明显缩小,这场与死神的较量终现曙光。
医生团队在「刀尖上跳舞」
然而,接下来的切除手术是另一大难题:因为神经母细胞瘤有包绕血管生长的特性,也就是说,医生要在完整切除肿物的同时,要清扫腹主动脉旁淋巴结,还不损伤血管引发致命的出血及并发症等。这对医生的要求极高,做这类手术无异于在「刀尖上跳舞」。

为了确保这场较量的胜利,手术前,市妇幼保健院小儿外科副主任 安俊军、副主任医师 冯运红 医生团队,多次展开病历讨论。医生团队借助医院先进的 3D 重建及打印技术,对小喜的肿瘤与周围重要血管的关系进行建模,明确了肿瘤的边界、包绕血管、淋巴结转移等情况,从而更直观地规划手术方案,尽最大程度避免术中意外的发生。

4 月 15 日,小喜被推进了手术室。随着手术的进行,肿瘤赫然入目,医生发现情况与术前分析预估的一致:肿瘤位于脊柱体右缘,下腔静脉被推挤并部分包绕,腹主动脉及其发出的肾动脉血管深不可见…… 经过 7 个多小时的努力,医生终于顺利地将小喜体内的肿瘤完全摘除,同时清扫了腹主动脉旁转移的淋巴结。
经过术后观察,小喜的主要血管如树干状游离于腹腔,主要脏器血运良好,所有人悬着的心终于放下了。
经过在儿科重症监护病房短暂的治疗,小喜已经顺利转回普通病房,很快就可以出院了,在珠海市妇幼保健院小儿医疗团队的多方合作下,这场与死神的争夺战打赢了。
医生提醒:孩子出现相关症状要及时就医
谢永武医生介绍,神经母细胞瘤常见早期症状有 发热、咳嗽、喘息甚至呼吸困难,腹痛、腹泻、腹部肿块、排便习惯改变、淋巴结肿大、肢体疼痛、跛行和贫血 等。年龄较小者仅可以表现为 爱哭闹、易激惹 等情绪不稳定。
谢永武提醒,当孩子出现不明原因引起的 皮下淤青、瘀紫 等症状,同时近期出现爱哭闹或异常亢奋等,可能为神经母细胞瘤的早期症状。由于早期症状不典型或无症状出现,易出现漏诊,有些病例往往在体检时被诊断。
谢永武主任呼吁家长,如有以上症状时要及时就医,平时要及时做好孩子的规范体检,做到对此类肿瘤的早发现、早诊断、早治疗。
好文章,需要你的鼓励