脑心血管共患疾病
在我国,平均每 28 秒
有 1 人因脑中风离世 [1];
平均每 1 分钟有 6 人因心血管疾病失去生命 [2]。
心脑血管性疾病患病率、致残率和病死率高,疾病负担重,对医疗资源消耗巨大。根据《中国心血管健康与疾病报告 2023》数据,中国心脑血管疾病现患病人数约 3.3 亿,其中脑卒中 1300 万,
冠状动脉硬化性心脏病(冠心病)1139 万。两者常合并存在,称为脑心血管共患疾病。
王先生(化名)46 岁 ;现病史:诊断冠心病 4 年。
4 年前诊断冠心病,予以球囊扩张术,2 年前予以冠脉支架植入术,近期偶有胸痛、心悸。近 1 年时常头晕,伴有左上肢发麻。有高血压病、冠心病、脂肪肝、高血脂症史。令他没想到,这些看似 「不严重」 的症状背后,藏着致命危机。
2025 年 6 月 26 日
胸部 CT 检查发现冠状动脉异常

2025 年 6 月 27 日
全身血管风险评估(侧重心脑血管)
当发现血管斑块时,我们不仅仅只是看血管是否狭窄,而是进一步分析斑块成分、评估斑块脱落风险。
这对心脑血管疾病人群来说,是关乎疾病防控与预后的核心决策依据,意义重大。

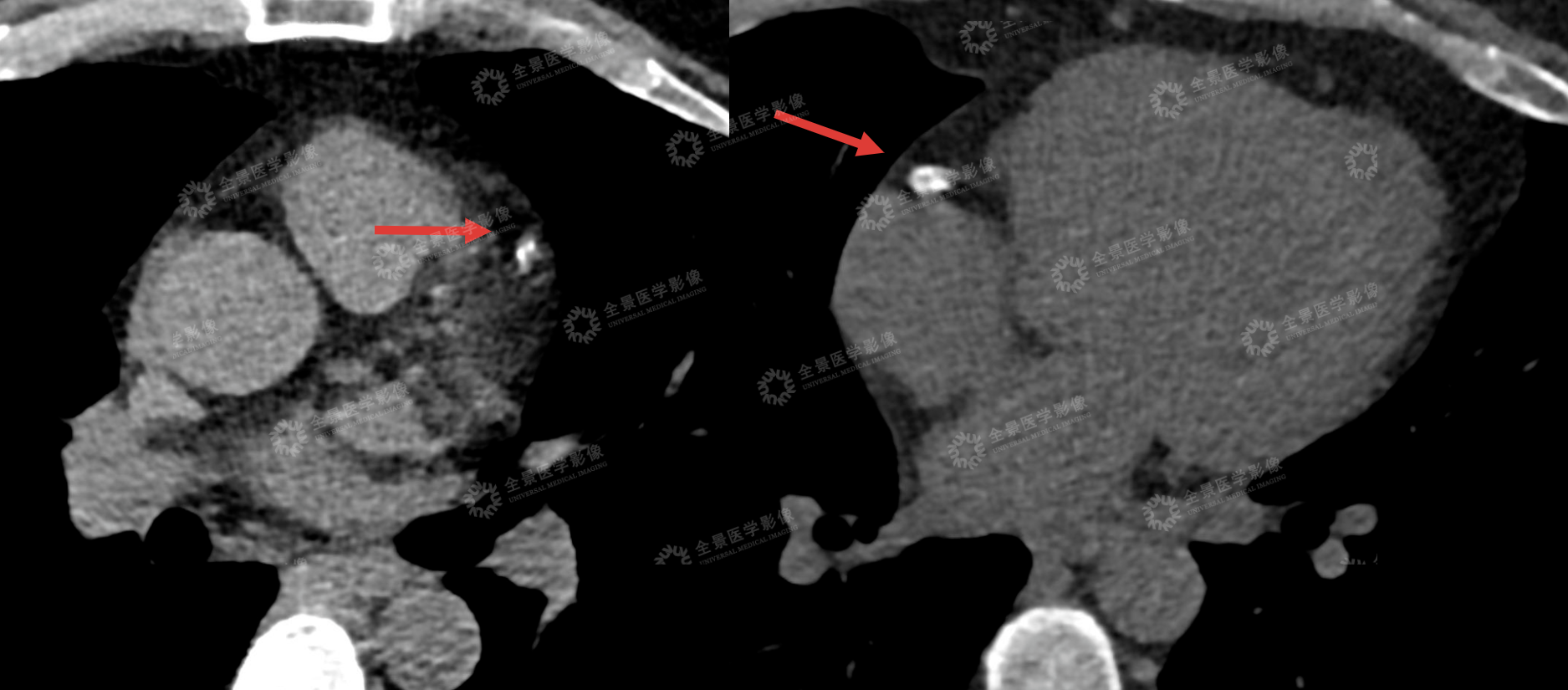
冠脉 CTA 、头颅血管成像(MRA)影像提示:心脏有易破裂「不稳定斑块」,并且管腔已 90%-100% 闭塞,对角支也有钙化斑块,同时脑血管也有问题:右侧大脑中动脉变细,远端几乎看不清....
「必须立刻会诊!」 上海全景医学佲医荟于当日联系上包括瑞金、华山医院在内的多位临床专家。
6 月 27 日
跨院多学科专家多次会诊
影像科风险解析:上海全景医学影像诊断中心 CT 室主任沈洁云医生、MR 室副主任谭小雪医生
心脏血管危机:左前降支(LAD,被称为 「心脏生命线」)近中段及对角支 D2 起始段,同时存在钙化与非钙化斑块 —— 其中 LAD 中段的 「非钙化斑块」 属于不稳定斑块(易破裂形成血栓),且管腔 90-100% 闭塞(相当于血管几乎堵死,随时可能突发心梗)。
脑血管连带风险:脑动脉硬化明显,右侧大脑中动脉 M1 段管腔纤细、M2 段及远段显示不清(提示中重度狭窄),左侧大脑中动脉 M2 段局部狭窄。
临床心内科风险解析:瑞金医院何汝敏教授、华山医院专家
多学科专家会诊,综合施策,依据影像诊断及患者实际情况,明确手术方案、住院时间、手术时间。
5 个工作日【检诊疗闭环救助全纪实】6 月 26 日
体检发现冠脉异常 6 月 27 日
影像进一步检查:发现血管易损斑块及重度堵塞 6 月 27 日
跨院多学科联合会诊 6 月 30 日
周一入院华山医院,完成术前检查 7 月 1 日
顺利手术(上午 8:00 第一台手术,植入支架)

7 月 2 日康复随访
上午 10:00 顺利出院
规范用药+低盐低脂饮食 +康复运动 + 定期复查
冠心病和脑卒中互为「等危症」*
脑卒中合并冠心病比例为 68%
颈动脉狭窄合并冠心病比例为 49%
冠心病合并颈动脉狭窄的比例为 18%~25%
冠心病合并脑卒中的比例为 2.2%~3.1%【3】
意味着:只要确诊其中一种疾病,建议同步排查其他隐患。
血管疾病风险评估:【头颈心 CTA 联合扫描】, 用于心脑核心血管筛查,对于发现早期心脑血管疾病尤为重要!【磁共振全身血管成像】 一次扫描,能同时获得脑动脉、颈动脉、冠状动脉、肺动脉、胸主动脉、腹主动脉、肾动脉以及下肢血管图像。
*等危症:相互关联,危险等级相同的病症。


校稿|上海大学医学院附属全景医学影像诊断中心影像科 CT 室 林曦医生
审核|上海大学医学院附属全景医学影像诊断中心影像科 CT 室主任 沈洁云医生
审核|上海大学医学院附属全景医学影像诊断中心影像科 MR 室副主任 谭小雪医生
撰稿|赵娜
——参考文献——
[1]《中国居民营养与慢性病状况报告(2015 年)》
[2] 中国心血管病报告 2019
[3] 科学导报《赵继宗院士: 脑心同治关键在于复合型医学人才的培养》
温馨提示:为保护患者隐私,本案例使用化名;转载请备注来源。
好文章,需要你的鼓励