(陈瑾暄 岳圆)「乳牙掉了好几年,新牙怎么就是不长?」12 月 15 日,家住武汉的王女士带着满心困惑,领着 13 岁的儿子康康来到武汉大学中南医院口腔医学中心就诊。经过详细检查,医生终于找到了「失踪」的恒牙——它们竟歪着「藏」在了孩子的颌骨里,并通过锥形束 CT 精准定位并制定牵引方案,让「迷路」的牙齿回归正常轨道。
据王女士介绍,康康数年前乳牙脱落,可对应的恒牙却迟迟没有萌出。起初家人以为只是长牙稍晚,便耐心等待,可眼看身边同龄孩子牙齿早已替换完毕,康康左上颌的 3 颗前牙却毫无动静,仅侧门牙长出了一半,大门牙的位置始终空空如也,这才让她意识到问题的严重性。
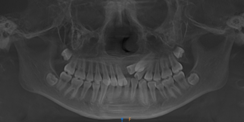
口腔正畸科副主任医师尹苗接诊后进行了细致检查,发现康康口内乳牙已全部脱落,进入恒牙列期,后续替换的乳牙均正常萌出,但左上颌区本应更早萌出的 3 颗前牙却「缺席」。通过锥形束 CT(CBCT)检查,结果显示这 3 颗恒牙并非未发育,而是全部位置异常,牙冠呈近中倾斜阻生状态,其中左上门牙完全埋伏于颌骨内。
面对王女士「为什么就这 3 颗『迷路』了」的疑问,尹苗解释道,口腔内有时会上演牙齿「捉迷藏」,本该按时萌出的牙齿未能在牙列中就位,反而隐藏在颌骨内形成埋伏牙。这就像迟到的士兵,需要特殊引导才能找到自己的「岗位」。埋伏牙的形成原因多样,可能是牙列空间拥挤被「邻居」挤占萌出通道,也可能是牙齿萌出方向错误,或多生牙等组织阻碍了恒牙萌出。
针对康康的情况,尹苗副主任医师团队制定了治疗方案:首先通过 CBCT 精准定位埋伏牙位置、角度及与邻牙关系;随后在可见牙列上安装托槽弓丝,以弹性链或钢丝连接并施加轻柔持续的牵引力,激活牙周反应,促使牙齿沿预设轨道移动至正常位置。牙齿归位后需经历稳定期,拆除矫治器后还需佩戴保持器防止复位。
「早发现、早干预是维护孩子口腔健康的关键。」尹苗表示,埋伏牙若长期滞留颌骨内,不仅无法履行咀嚼功能,还可能引发颌骨囊肿、损伤邻牙牙根、导致牙列不齐等一系列问题。她提醒广大家长,孩子替牙期间,若乳牙脱落后继承恒牙超过三个月仍未萌出,应及时前往正规医院口腔正畸科进行详细检查,通过专业评估排查埋伏牙等问题,做到早发现、早干预,为孩子的口腔健康保驾护航。

好文章,需要你的鼓励