-
【人医科普】重症监护,到底在「监护」什么
2026-05-11 -
【人医科普】重症监护,到底在「监护」什么
2026-05-11 -
致敬每一位母亲:科学应对更年期,拥抱人生黄金岁月
2026-05-11 -
世界卵巢癌日丨关爱女性健康 警惕沉默的「杀手」
2026-05-11 -
出游怕晒黑晒伤?皮肤医生教你做好防晒!
2026-05-11 -
孩子第一次配镜,为什么必须做散瞳?不散瞳的三大危害
2026-05-11 -
拒绝隐匿的肛周困扰 | 关于环形混合痔,您了解多少?
2026-05-11 -
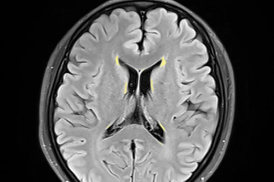
眼前一黑、说不出话,几分钟就好?当心!这可能是身体在发出「小中风」警报
2026-05-11 -
一天 17 台手术、6 台急诊!立夏后,这种病更凶险
2026-05-11 -
告别顽固银屑 这些靶向药你知道吗
2026-05-11








