提到肺部手术,很多人会想到 「插满管子」——气管插管、尿管、胸腔引流管,光是想想就觉得难受。
但最近,我院胸心血管外科联合麻醉科、手术室,成功为两位患者完成了 「无插管」麻醉手术——(Tubeless)非气管插管保留自主呼吸单孔肺楔形切除手术。这不仅是技术的突破,更让患者少遭了不少「疼痛罪」。
两个患者,两种需求
一个快速康复的方案
20 岁大学生:胸痛背后藏 「气胸」
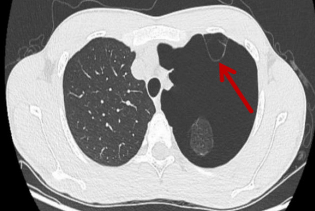
20 岁的文同学(化名)是名在校大学生,因「左侧胸痛 1 周」来到我院就诊。检查后胸部 CT 提示:左侧大量气胸(左肺受压约 80%),合并有肺大疱。
「简单说,就是肺上的 『小气泡』 破裂后导致气胸,空气跑到胸腔里把肺挤扁了。」起初经保守治疗,效果并未达到预期。
但文同学是在校大学生,学习任务重,希望早日康复回到学校。对他来说,传统手术需要插管、留管,恢复时间长,显然不是最优解,「有什么办法能快点恢复呢?」

67 岁大伯:转移瘤「找上门」
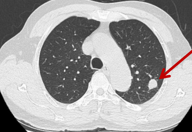
67 岁的吴先生(化名)则有着更复杂的病史:2012 年,他曾因为下肢恶性黑色素瘤,在外院做了左小腿中下段截肢手术。入院前 2 周,他在当地医院检查时,发现左肺上叶长了个「结节」,穿刺活检后明确诊断——恶性黑色素瘤肺转移。
胸心血管外科团队详细了解吴先生病史,认真研究胸部 CT:「幸好是单个转移瘤,且处于『优势』位置,可行胸腔镜手术切除治疗,改善预后。」吴先生也希望少点传统手术的 「大折腾」:「能少插根管子就少遭点罪,还能快点恢复。」

定下「无管化」 手术方案
了解两位患者的需求后,胸心血管外科石磊副主任医师团队立刻联合麻醉科、手术室进行术前多学科讨论。团队一致决定,采用(Tubeless)保留自主呼吸非插管麻醉技术为两位患者行胸腔镜手术治疗。
这种手术的核心就是「少插管、少留管」:即在手术前不留置导尿管、术中不插气管插管(靠面罩或喉罩给氧,不用肌松药,保留自主呼吸)、术后不留胸腔引流管情况下完成胸腔镜肺部手术。
优点是能减少术中镇静药和镇痛药使用、缩短拔管时间和苏醒时间、降低声门损伤和咽喉疼痛、术后恢复快、减少费用。
「当然,不是所有患者都适合这种手术 —— 得是身体基础好(ASA I-III 级)、年龄 18-70 岁左右、没有严重心肺脑疾病、手术能在 2 小时内完成的患者;像凝血不好、有严重肺部感染、同侧胸腔做过手术等情况,就不适合。而文同学和吴先生,刚好符合 『适合条件』。」

一切准备就绪后,在胸心血管外科、麻醉科、手术室密切协作配合下,石磊副主任医师团队为文同学实施了 Tubeless 单孔左肺上叶肺大疱切除术,为吴先生实施了 Tubeless 单孔左上肺转移瘤楔形切除术。
整个手术过程约 30 分钟,手术切口仅为 3.5 cm,术中出血约 5 ml。手术结束后,患者随即苏醒。

这两台手术的成功,不仅彰显了我院胸心血管外科的微创手术技术更成熟了,也让 「中西医结合快速康复」 迈出了更大一步;患者术后不良反应少,住院时间短,治疗费用也降低了,真正体现了「以人为本」的理念,达到了真正「快速康复」的效果。
好文章,需要你的鼓励