肚子胀得像紧绷的鼓,人却瘦成「纸片人」!这是怎么回事?说到这,45 岁的甘先生(化名)心里郁闷又疲倦。
甘先生被腹胀和排便困难纠缠了许多年,想上厕所却「卡」得难受,大便干硬结块,每次排便都像闯一次关。时间一长,他饭吃不下、人越来越瘦,但「便秘」的根儿,却始终没找到。「瘦」与「胀」的双重折磨,让他生活质量急速下降……
瘦到 46 公斤肚子却「鼓起」
早在 2022 年,甘先生因肠梗阻在外院做了剖腹探查和肠粘连松解术。原以为手术后能「松口气」,没想到腹胀、排便难的毛病未见明显改善,病情依旧反反复复。
后来甘先生又多次住院,禁食、胃肠减压、补液、灌肠……各种对症支持的保守治疗法子快试遍了,症状也就缓解一段时间,转头又「卷土重来」。
今年 8 月,被病痛磨得没力气的甘先生来到了 广西中医药大学第一附属医院 胃肠外科·小儿外科。
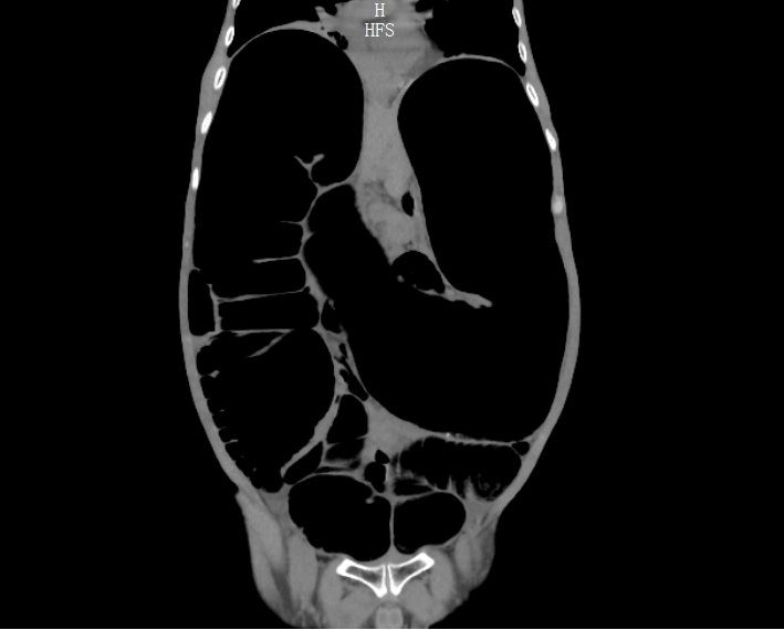
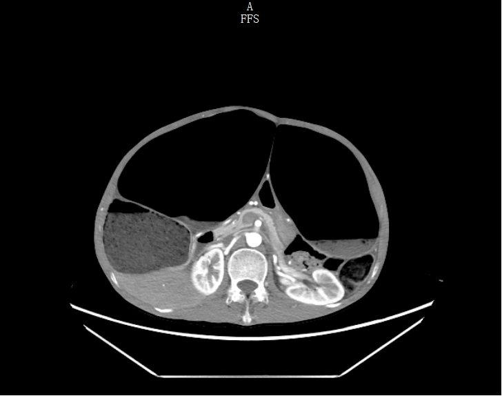
刚入院时,甘先生的样子让医生们心头一沉:1 米 68 的个子,体重只剩 46 公斤,BMI(身体质量指数,正常为 18.5-24)仅 16.3,属于严重营养不良;肚子上留着一道旧手术疤,整个腹部鼓得老高,甚至能看到肠道凸起的「肠型」——那是长期粪便堵在肠子里,把肠子撑出来的痕迹。
「病史长、多次治疗无效,甘先生的病情不简单!」胃肠外科·小儿外科团队立刻拉响「警报」。
揪出成人罕见「巨结肠」元凶
考虑到甘先生身体虚弱,无法配合完成钡灌肠大肠造影,胃肠外科·小儿外科团队给他安排了腹部 CT、DR 和肠镜检查。
结果一出来,答案清晰了:他的升结肠、横结肠显著扩张,像被吹大的气球,胀得异常粗大;可远端的结肠和直肠,却明显狭窄。



结合临床表征,团队初步断定:这不是普通便秘,而是一种罕见病——成人全结肠型巨结肠。
「成人巨结肠本身就少见,多数患者在儿童期就有症状,但往往因病情隐匿、症状不典型,易被误诊为普通便秘或肠功能紊乱,导致多年延误诊治。」
胃肠外科·小儿外科主任李德钢副主任医师解释,甘先生就是典型的「被耽误」案例:多年的粪便积聚在肠子里,把近端结肠撑得越来越粗,远端却被「憋」得挛缩变窄,此时光靠吃药、灌肠等保守治疗方式只能「治标」,要想彻底打通「梗阻」,唯有手术。
迎难而上开腹
精准切除「瘫痪」的大肠段
手术的难度不小!甘先生既往有手术史,腹腔情况复杂;加上严重腹胀,微创手术根本没视野,操作起来风险极高。
科室团队反复讨论、评估,最终定下方案:实施 开腹结肠次全切除术+回肠预防性造口术——保留回盲部,把病变的「无动力」结肠段一直切到直肠上 5 cm,再通过做一个回肠预防性造口,确保术后排便顺畅。
8 月下旬,由李德钢副主任医师、万思文主治医师、林天松主治医师组成的手术团队,上台为甘先生「拆堵」。
手术时发现,情况和预判的一致:回盲部、升结肠、横结肠极度扩张,降结肠、乙状结肠、直肠挛缩稍扩张,结肠内积聚大量肠液及气体。团队小心翼翼地分离粘连、切除病变结肠,每一步都精准操作,最终顺利完成手术。
术后病理结果出来,彻底证实了此前的诊断:甘先生的肠道缺乏神经节细胞——这正是巨结肠的「标志性特征」。

巨结肠≠普通便秘
长期便秘需及时就诊
术后甘先生恢复良好,腹胀消失;随着恢复,造口排便也越来越通畅,多年的「排便难」终于逐渐成了过去式。
李德钢副主任医师提醒,长期顽固性便秘,尤其是自幼就有相关症状的人群,需警惕「成人巨结肠」的可能。如果出现以下这些情况,千万别硬扛:
1、核心信号
病史可追溯至童年,且对常规泻药治疗效果不佳,依赖灌肠才能排便。
2、腹胀
慢性、进行性加重的腹部膨隆,餐后尤为明显。
3、排便习惯异常
可能长时间(数周)无法自主排便,或排出细条状、颗粒状粪便。
4、其他消化道症状
食欲不振、恶心、体重减轻、营养不良等。
5、并发症相关症状
如小肠结肠炎:虽然多见于儿童,但成人也可发生,表现为急性腹痛、爆发性腹泻、发热和中毒性休克,是危及生命的急症。
6、粪石性肠梗阻
长期粪便嵌塞导致完全性肠梗阻。巨结肠病变近端正常结肠因长期梗阻而异常扩张、肥厚。
7、穿孔风险
肠壁因过度扩张和缺血,有穿孔风险。
「很多人从小就有『苗头』,却被当成普通便秘拖了十几年甚至几十年。长期便秘不能光靠泻药『救急』,一定要去胃肠专科查清楚。」李德钢副主任医师强调,早确诊、早治疗,才能避免把「小毛病」拖成「大麻烦」。
好文章,需要你的鼓励