上海市同济医院心血管内科成功完成首例经导管主动脉瓣置换术

作者:丁香园    2020-11-30
字体大小:

2020 年 11 月 26 日,同济大学附属同济医院心血管内科刘学波主任医师、陈发东副主任医师、来晏副主任医师团队,在复旦大学附属中山医院葛均波院士、周达新主任医师、潘文志副主任医师团队的精心指导下,为一位重度主动脉瓣狭窄患者成功进行了经导管主动脉瓣置换术(TAVR 术),避免了传统开胸和体外循环。

这也是同济医院心血管内科首次开展 TAVR 手术,标记着医院心血管内科以刘学波主任为首的结构性心脏病团队全面起航。


医院多科室协作进行手术


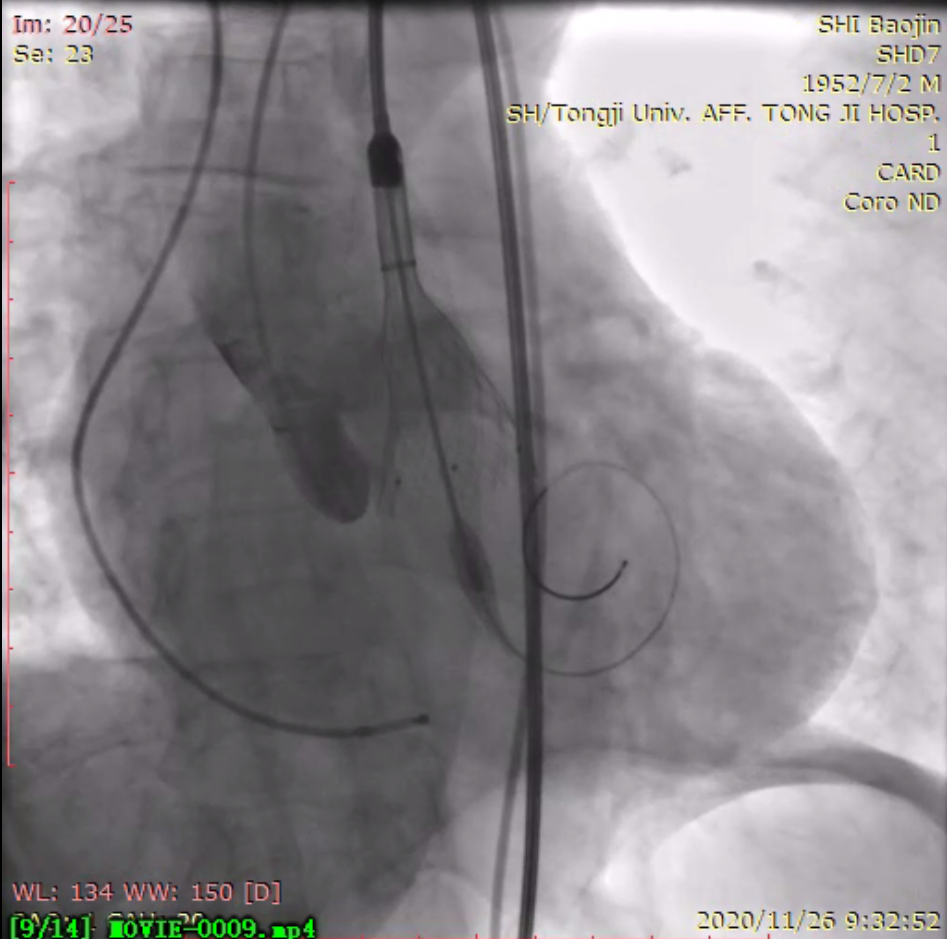
瓣膜释放中


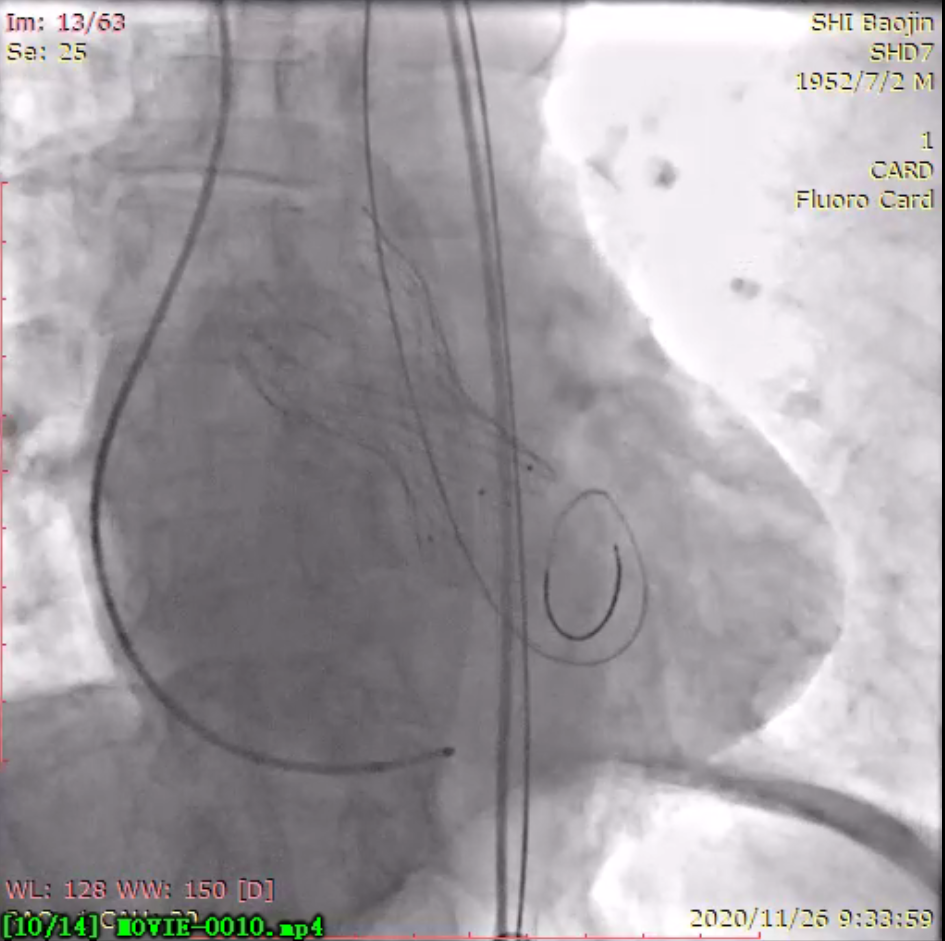
瓣膜释放后

患者为 68 岁男性患者,此次因发作性胸痛伴晕厥入院,心超发现主动瓣重度狭窄,最大流速 4.4m/s,峰值跨瓣压差 80 mmHg,平均跨瓣压差 45 mmHg。主动脉瓣狭窄一旦出现症状,病情会急剧加重,2 年死亡率超过 50%。

传统治疗方法主要为外科开胸手术,时间长,需要体外循环,创伤大。TAVR 手术就是通过微创介入的办法,经导管送入人工瓣膜支架,取代病变的瓣膜功能,使患者瓣膜狭窄解除,症状改善或者消失。

经过 20 年的发展,目前已经成为老年主动脉瓣狭窄患者主要的治疗手段,具有手术时间短,创伤小,恢复快,并发症可控等特点。2019 年美国 TAVR 手术量已经远超过外科开胸手术量。

该患者经过术前全面细致的评估,适合行 TAVR 手术,患者及家属也更愿意行微创治疗。


许树长书记与葛均波院士探讨手术详情


程黎明院长、葛均波院士、刘学波主任讨论患者病情

在医学影像科、心功能室、麻醉科、胸心外科、普通外科等多科室的全力协助下,2020 年 11 月 26 日上午,复旦大学附属中山医院葛均波院士团队和同济大学附属同济医院心血管内科主任刘学波团队共同完成了同济医院第一例 TAVR 手术。

同济大学附属同济医院党委书记许树长、院长程黎明到心脏导管室进行了关心慰问。术中患者主动脉跨瓣压差 67 mmHg,根据术前 CT 评估瓣环直径和术中球囊预扩张情况,选择合适的人工瓣膜,一次精准定位释放,复查跨瓣压差消失,实时食道超声心动图见轻微瓣周漏,效果良好,整个手术一气呵成。


葛均波院士、刘学波教授、周达新教授及医院心血管内科专家术后合影


刘学波主任团队左心耳封堵术术后合影

同济大学附属同济医院心血管内科在刘学波主任的带领下,通过引进人才,组建了结构性心脏病和肺循环疾病团队,弥补了既往心血管内科亚专科建设不足。

在短短一个月时间内,心血管内科已经开展了先心病介入治疗、左心耳封堵术、TAVR 术、右心导管检查术、肺血管病介入等新技术。

目前医院心血管内科常规开展传统先心病介入治疗,心源性卒中介入治疗(卵圆孔未闭封堵术,房颤卒中预防左心耳封堵术),瓣膜病介入治疗,肺动脉高压规范化诊治,急慢性肺栓塞诊治,肺血管病介入治疗等技术,既为广大患者带来福音,也为医院心血管内科发展助力。

 

*声明:本内容仅代表文章来源方观点,不代表本站立场。本内容仅供医学药学专业人士阅读,不构成实际治疗建议。

编辑: 海往南    来源:上海市同济医院

  • 程黎明 骨科 主任医师

    医学博士,主任医师,教授,博士生导师。现任同济大学附属同济医院院长,医学科学研究所所长。师从我国著名骨科专家贾连顺教授...

  • 靳令经 神经内科 主任医师

    现任同济大学附属同济医院副院长、神经内科副主任。主要从事神经退行性疾病临床基础研究及神经康复新技术研究,擅长复杂性运动障碍病的高选择性肉毒毒素治疗技术...

  • 骆纯 神经外科中心 主任医师

    医学博士,教授,主任医师,博士生导师。担任神经外科主任,兼任上海市神经外科专业委员会委员,上海市神经外科专业委员会肿瘤学组副组长,上海市中西医结合学会...

  • 吴文源 精神医学科 主任医师

    从医执教 54 载,获中国「杰出精神科医师奖」和「心身医学终身成就奖」,在成功老龄化机制研究、旅途精神病、中国人心理量表常模研制及应用和社会精神医学等做...

  • 陆峥 精神医学科 主任医师

    从事精神医学临床、教学与科研工作 30 余载。作为同济医院特色学科的引领者,在医教研防等工作中处处以身作则,长期致力于综合医院和专科医院的精神卫生工作...

  • 刘学波 心血管内科 主任医师

    现任心血管内科主任,中华医学会心血管病学会委员兼副组长,上海医学会心血管分会委员兼副组长,中西医结合学会冠心病介入组长,美国(FACC)和欧洲心脏病学院委...

  • 吴先正 急诊医学科 主任医师

    从事临床、教学和科研工作 30 年,对内科急危重症救治、疑难杂症的处理,尤其在内分泌代谢急症领域具有丰富的临床经验。作为上海市首批住院医师规范化培训基地...

  • 罗明 老年医学科 主任医师

    长期从事临床医疗、教学和科研工作,并于 2000 年至法国马赛心血管中心访问学习,曾先后担任同济医院副院长,心血管内科主任,目前为上海市医学会高血压学组委...

  • 祝德秋 药剂科 主任医师

    现任上海市同济医院药剂科主任。上海市药学医院药学专业委员会、药史专业委员会、临床药事管理专业委员会、中西医结合学会、抗癌协会肿瘤药学专业委员会等委员...

  • 陈百先 中医科 主任医师

    师从十大国医大师颜德馨教授,传承颜老的学术思想与临床经验。在学习与继承的基础上,历经数十年的中医临床实践逐渐形成了自己的学术思想和临床经验...