对于 65 岁的王先生(化名)而言,进食在近几个月变成了一种负担。他感到吞咽梗阻,并在最近半个月出现了咯血和黑便的症状。经医生评估,他做了一项重要的影像学检查——PET/CT。



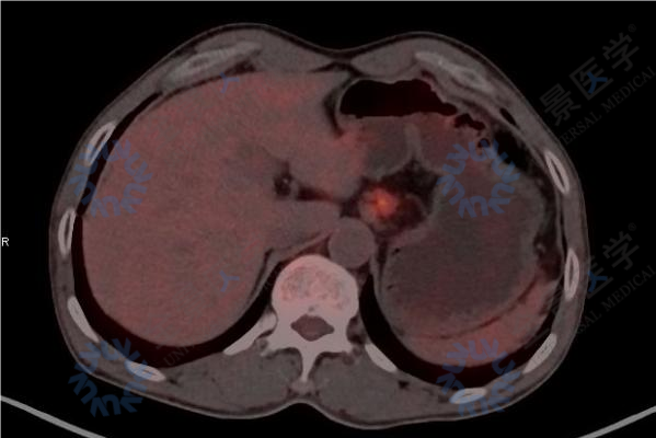
检查结果显示:胸上段食管癌,伴双侧锁骨区、肺门、纵隔及肝胃间隙淋巴结转移。
这个诊断结果详细描绘了疾病的真实情况,而 PET/CT 在其中起到了至关重要的作用。
在食管癌的诊断中,常用的检查方法各有其价值:
✔内镜:能直接观察食管黏膜,并获取组织进行病理学诊断。
✔CT:能显示食管壁的增厚情况以及周围淋巴结的大小和形态。
然而,这些方法主要依赖于形态学判断。 其局限在于:部分尺寸正常的淋巴结可能已存在微小转移灶,CT 难以识别;而某些肿大的淋巴结也可能仅是炎症所致。这种不确定性可能导致临床分期不准确,从而影响治疗策略的制定。
PET/CT 是一种将两种技术相结合的影像设备:
✔CT(计算机断层扫描):提供精确的人体解剖结构信息。
✔PET(正电子发射断层扫描):通过追踪一种能被高代谢细胞(如癌细胞)摄取的示踪剂,来反映组织的代谢活性。
对于王先生这样的情况,PET/CT 能提供以下关键信息:
1. 实现精准的肿瘤分期:
在王先生的 PET/CT 图像上,医生不仅能看到胸上段食管的高代谢原发肿瘤,更重要的是,在双侧锁骨区、肺门、纵隔、肝胃间隙等多个区域也发现了异常增高的代谢信号。这明确提示这些淋巴结存在转移。这一发现将他的病情准确划分为「伴有远处转移的晚期(IV 期)」 。这种精准分期是选择正确治疗方案的根本依据。
2. 辅助鉴别病灶性质:
PET/CT 提供的代谢信息,有助于区分肿瘤性病变与炎症、感染或其他良性病变,为判断咯血等相关症状的起因提供了重要参考。
3. 评估治疗效果:
在开始放化疗或靶向治疗后,通过复查 PET/CT,可以监测肿瘤代谢活性的变化。若原发灶和转移灶的代谢活性显著降低或恢复正常,通常提示治疗有效。
4. 进行全身排查:
PET/CT 是一次全身性的检查,能够有效筛查出肝、骨、肾上腺等常见远处器官的转移,弥补了局部检查的不足。
若无 PET/CT 的全面评估,仅凭常规检查,王先生的病情可能被判定为「局部晚期」,从而考虑实施以手术为主的治疗方案。但这种方案对于已发生远处转移的患者而言,无法达到根治目的。
PET/CT 的评估结果,在治疗前就明确了疾病的真实范围。
据此,临床医生为王先生制定了更合理的治疗方案:以全身性治疗(如化疗、免疫治疗)为核心,酌情联合局部放疗。这避免了不必要的手术,直接采用了最适合当前病情的治疗策略。
结语:在食管癌,尤其是中晚期食管癌的诊断与治疗中,精准分期是决定后续方案的关键。PET/CT 通过一次检查,同时提供病灶的精确解剖定位和代谢功能信息,为临床医生绘制出一幅全面的「疾病图谱」,从而帮助制定出更个体化、更有效的治疗计划。
好文章,需要你的鼓励