近日,西安交通大学第二附属医院心内科邓捷主任、张岩教授团队,同日内成功为两例高龄患者植入无导线起搏器。手术由邓捷主任带领张岩副主任医师、张恒医师、郭晨医师、韩拓医师等手术医疗团队,与导管室黄波辉、鲁红娥护士团队,共同协作顺利完成两例 Micra 无导线起搏器植入术,术后患者乏力头晕症状得到明显改善。
第一位患者是一名 70 岁男性患者,因反复因心衰加重住院,患者有冠心病、高血压、房颤、慢阻肺既往病史。医生行检查后发现,患者左室射血分数仅 0.39,动态心电图示患者持续性房颤伴三度房室传导阻滞、长 RR 间歇,频发室性早搏、短阵室速,具有起搏器植入指征。
考虑到患者高龄、体型消瘦、房颤病史,传统单腔起搏器存在囊袋感染、伤口愈合迟缓等并发症风险,且需长期口服利伐沙班抗凝治疗,增加切口出血及感染风险,慢阻肺病史,此次入院合并肺部感染,三尖瓣关闭不全伴中量反流,肺动脉高压,全身状况较差无法耐受较长时间手术。
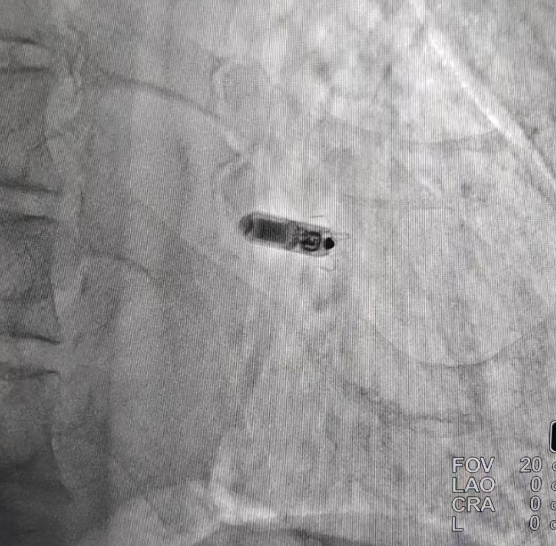
医生经讨论决定采用新型无导线起搏器 (Micra) 救治患者。术中医生穿刺右侧股静脉,经鞘管输送 Micra 无导线起搏器顺利至右室中位间隔区域,测试心室起搏阈值 0.5V,阻抗 920Ω,感知 8.6mV,参数良好满意。术后患者活动后乏力气短等症状明显改善。


第二位患者是一名 79 岁高龄女性,风湿性心脏病 20 余年、二尖瓣机械瓣置换术后 18 年,房颤伴二度房室传导阻滞,最慢心率 30 余次/分,巨大左房 (内径 79 mm),伴三尖瓣大量反流、肺动脉高压 60 mmHg。
院外合并甲型 H1N1 病毒感染,入院查动脉血气:pH 7.38,PO243 mmHg,PCO260 mmHg,指脉氧饱和度 85%,提示 II 型呼吸衰竭。医生予以抗病毒、抗菌素、呼吸机辅助通气、利尿、扩容等治疗后,心衰与呼吸衰竭得到纠正后,再次评估患者全身状态,考虑患者超高龄、体型瘦弱,传统有导线起搏器术中恐不能长时间平卧配合,术后囊袋及导线相关并发症风险较高,与家属反复沟通病情后,要求植入无导线起搏器。
穿刺右侧股静脉送 Micra 递送系统经右心房跨三尖瓣送抵右室中位间隔区,造影见电极贴壁良好,原位释放起搏器,测试起搏参数:起搏阈值 1.0 V,阻抗 760Ω,感知 5.0mV。行牵拉试验示起搏器固定良好,剪断栓绳后撤出输送鞘管,缝合伤口予以加压包扎。术程顺利,术后心电监护及程控起搏器工作良好。

久病寻良医,从早期外科开胸二尖瓣机械瓣置换到经导管二尖瓣缘对缘修复,从传统双腔永久起搏器到无导线起搏,不仅仅体现了手术理念创新与技术进步,更是对患者疾病治愈、生活质量提升上质的飞跃。
好文章,需要你的鼓励