上海市同济医院脊柱外科专家门诊诊区,一对年轻的父母带着刚满7岁的儿子时隔8个月来复诊,小朋友虎头虎脑,腰杆笔直,脸上满是无忧无虑的笑容,可是家长却满脸紧张,直到谢宁教授看过了复查的片子,对他们说,手术效果很好,孩子也长高了,疫情缓解之后就可以去学校继续上课啦,全家人才都如释重负地笑起来。

上海市同济医院脊柱外科专家门诊诊区,一对年轻的父母带着刚满 7 岁的儿子时隔 8 个月来复诊,小朋友虎头虎脑,腰杆笔直,脸上满是无忧无虑的笑容,可是家长却满脸紧张,直到谢宁教授看过了复查的片子,对他们说,手术效果很好,孩子也长高了,疫情缓解之后就可以去学校继续上课啦,全家人才都如释重负地笑起来。
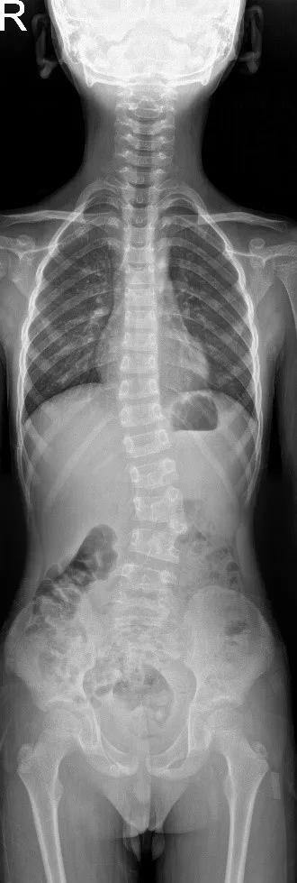
这个小病人徐同学自 3 岁起家人就发现他的身子向一侧倾斜,当时家长并未重视,以为是孩子顽皮,坐姿不端正。但随着身高的增长,家人发现他的腰越来越弯,而且弯曲进展的速度越来越快。由于身体的异常,小徐同学很难面对同龄小朋友异样的目光,这也造成了他沉默寡言的性格。1 年来辗转全国多家医院寻医问药,但由于年龄小,病情复杂,病情一直未得到明显的控制,左右肩膀高低差异越来越大,家长很是焦急。
经多方打听,家人带着小徐同学慕名找到了上海市同济医院程黎明院长带领的脊柱外科团队。程院长带领的脊柱外科团队,围绕「微创-再生-重建」理念,在脊柱生物力学及生物学再生重建方面把握国际最新前沿动态。经过科室病情讨论,仔细评估病情,发现患儿是腰 2 先天性半椎体畸形,已经引起整个腰椎的侧弯畸形加后凸畸形,认为患者手术指征非常明确,亟需接受脊柱半椎体畸形切除短节段矫形手术治疗,否则整个脊柱畸形会更加明显,甚至影响心肺内脏的发育,治疗难度也会更大。「脊柱半椎体畸形矫形手术可以阻断畸形进展,有效恢复脊柱的生物力学结构,可以让患者挺直胸膛,回归正常生活。」小徐同学及家人欣然接受了程黎明院长脊柱外科团队的手术方案。
术前正位
术前侧位
但脊柱矫形手术时间长,创伤大,风险高,而且病儿的椎弓根纤细,半椎体畸形结构复杂,还要充分考虑孩子以后的生长发育等一系列因素,使得手术非常具有挑战性。得益于同济医院「多学科诊疗模式」的医学模式,脊柱外科医疗、护理、康复团队联合麻醉科、儿科、神经内科、输血科、SICU 重症医学科等多学科进行了联合讨论,经过仔细评估,患者可耐受脊柱侧弯矫形手术治疗。
医疗团队本着对少年儿童的关爱,把担子压在自己肩上,准备得仔细又仔细。术前还以患者畸形脊柱的超薄 CT 为基础,运用最先进的 3D 打印技术构建了患者脊柱模型,并利用数字模拟技术模拟了患者内固定的最佳植入路径,反复模拟手术,做好了充分的术前准备。
术前 CT & 3D 打印
术中在麻醉科和神经电生理监测医生等的精心配合下,在各学科的全力支持与配合下,程院长亲自主刀,谢宁教授配合,顺利地将脊柱半椎体完整切除,并实施侧弯矫形手术,术后在 SICU 的精心护理下,患者很快度过术后关键期,转入脊柱外科治疗,在护理团队的精心护理下,在康复团队的尽心康复下,术后 5 天患者就可以在支具保护下自由活动,躯干可以挺直了,患儿和家人非常满意。
术后正位
术后侧位
术后 CT
脊柱矫形手术,特别是儿童脊柱畸形矫形手术,一直以来都是衡量脊柱诊疗水平的标志之一,是「脊柱外科皇冠上的明珠」。同济医院脊柱外科是上海市重点专科,依托「脊柱脊髓损伤再生修复」教育部重点实验室,围绕「外科-生物-康复一体化」建设核心,在程黎明院长带领下,组建了一支技术精良、结构合理的医师团队,包括脊柱外科团队、神经康复团队等,以脊柱外伤及退变性疾病为诊疗方向,瞄准脊柱脊髓损伤的基础及临床研究前沿,遵循「微创化治疗、精细化护理、全过程康复」现代化诊疗理念服务广大患者。
同济脊柱小贴士
脊柱半椎体畸形是脊柱畸形的一种,为先天性椎体畸形中最为常见。半椎体畸形因为会导致不同程度的脊柱侧弯畸形,从而导致躯干不平衡、躯干缩短,少数病人可出现腰背痛;严重的侧弯会导致胸腔容积下降造成心肺压迫引起呼吸困难及心肺疾病,所以一般需要手术切除半椎体。一旦体检检查发现有脊柱方面的疾病,要尽早就医,尽早治疗。
好文章,需要你的鼓励