两个多月来,74 岁的赵阿公一直感到左上腹胀痛,吃不下东西,甚至恶心呕吐。一个月内,他的体重骤降了 10 多斤。这让赵阿公和家人深感不安,于是他们来到了浙江省肿瘤医院台州院区。
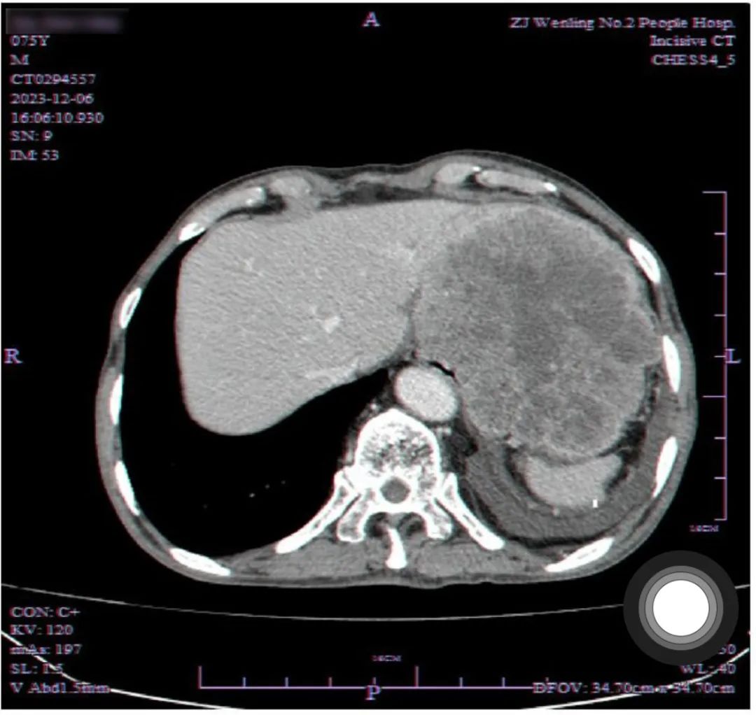
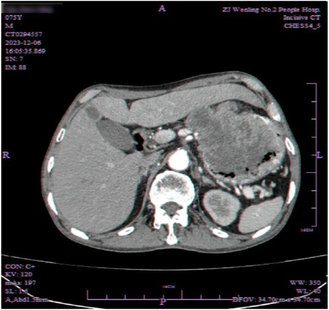
经过详细的 CT 检查,医生发现赵阿公的肝胃间隙有一个巨大的占位性病变,侵犯了胃壁并向腔内生长。这是一个极为不利的信号,意味着赵阿公的病情可能相当严重。


台州市肿瘤医院应荣彪主任医师在详细了解赵阿公的病情后,立即组织了一场多学科的 MDT 讨论。面对占位如此巨大的肿瘤,专家们经讨论一致决定为赵阿公实施胸腹部联合手术,以切除病变部位。

这场手术历时整整一天,从上午 9 点一直进行到下午 4 点。手术涉及胃肠外科、胸外科等多个团队,肿瘤侵犯了食管、胃、肝、膈肌以及心包多个部位,最终在团队的默契配合下成功切除了肿瘤,肿瘤近似麒麟瓜大小,重量近 4 斤!


什么是 MDT?
MDT 的全称是 Multi-Disciplinary Treatment,即多学科联合会诊,多学科联合会诊「自带」打破专科壁垒的天然属性,有助于多学科协作的发展,同时也保证患者能够通过多学科联合会诊平台获得更精准、更合理化的治疗和更优质的医疗服务。
浙江省肿瘤医院台州院区自 2006 年开始开展胃肠道肿瘤的 MDT 工作以来,经过数年的实践和经验积累,于 2017 年正式成立了胃肠道肿瘤的 MDT 团队。该团队由胃肠外科、肿瘤内科、放疗科、肝胆外科、病理科、影像科、超声医学科、营养科、临床药学室以及心理科等十几个专业的专家组成。
近日,台州院区胃肠 MDT 团队在应荣彪主任医师的带领下斩获「登峰之旅西湖杯」肿瘤 MDT 菁英赛肠癌组决赛三等奖。

好文章,需要你的鼓励