小酌怡情,大饮伤身。现在李大爷尝到了喝酒的苦每天 1 斤酒,连喝 40 多年让他患上罕见怪病:马德龙病
小酌怡情,大饮伤身
现在李大爷尝到了喝酒的苦每天 1 斤酒,连喝 40 多年让他患上罕见怪病:马德龙病
不久前,62 岁的李大爷走进合肥京东方医院普外科诊间的那一刻,便立即吸引了大家的目光。 李大爷身高 1 米 73 左右,体重 130 斤上下,本该属于正常身材,却因硕大的粗脖子而变得非常奇怪,像极了怪物「史莱克」。
原先,李大爷只是在自己的颈部发现了蚕豆大小的肿物,基 层诊所检查说是「脂肪瘤」便没在意。但 20 多年来,颈部逐渐增粗,近几年速度明显加快,整个颈部感觉像围脖包绕着,十分不舒服。
一天一斤酒
经过医生的仔细询问与检查,李大爷的怪病逐渐露出马脚——大爷平时没啥别的嗜好,就爱喝酒,每天一斤,饮酒史长达 40 多年。
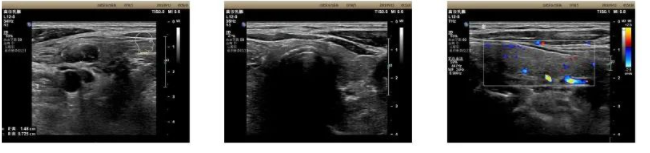
彩超及磁共振检查明确颈部脂肪增生。


经过综合判断,平凡的李大爷最终被确诊为罕见的「马德龙病马德龙综合征 ( MS)」,也称多发性脂肪增多症。此病因德国外科医生马德龙首次详细描述而得名,在全球报道例数仅有 400 余例。
马德龙综合征 Madelung syndrome
马德龙病马德龙综合征 ( MS) 是少见的酒依赖临床综合征之一。MS 是一种脂肪代谢障碍性疾病,患者主要表现为脂肪组织弥漫性、对称性沉积于颈项部、肩背部、躯体四肢近端等部位的皮下浅筋膜间隙和/或深筋膜间隙,是一种良性疾病。 MS 的发生机制目前尚不十分确切,大多数 MS 患者有长期酒精摄入史,容易伴发脂肪肝、酒精性肝病、肝硬化等肝脏疾病。
MS 患者如颈部受压会导致呼吸与吞咽困难,若脂肪组织纵隔占位会出现纵隔压迫综合征,甚至出现自主神经病变。治疗以外科治疗切除为主,戒酒是重要的措施之一。
肿瘤一斤重
入院后,普外科罗来福副主任医师成功为李大爷实施了手术,切除了颈部肿块。颈前区的血管丰富、神经复杂,术中避开了重要的血管神经组织,出血量极少,手术非常成功。完整切除了深达颌下腺肿瘤,肿瘤体积约 20x6 cm,重量接近 500 g。
不适图片高能预警

手术解决了困扰李大爷二十多年的「围脖」,恢复颈部原形,大爷的呼吸、吞咽等症状也消失殆尽,不日即可出院。 专家表示,根据该病特征性表现和有关检查,可以说诊断不难,但因该病罕见,极易造成误诊和漏诊。目前较为有效的治疗方法是手术切除堆积的脂肪,改善患者的外观畸形和功能障碍,禁止大量饮酒,避免复发。
美酒虽好,切莫贪杯凡事有度,健康长随
好文章,需要你的鼓励