七旬老人突发脑梗塞,同时出现重度低氧血症,一度面临呼吸衰竭,问题却既不在脑,也不在肺?
重庆松山医院心血管病专科医院,联合多学科重重排查,最终发现竟是因为心脏上多长了一个「孔」
今年 73 岁的童爷爷算是心血管内科的「老病号」,自 14 年前起,曾因心肌缺血、冠脉狭窄、冠脉闭塞等,先后 3 次植入支架。
5 月初,童爷爷因反复头昏、头痛,再次于外院就诊。
就在入院次日,童爷爷突发站立不稳、意识模糊、偏瘫昏迷,血氧饱和度下降至 70%,出现严重低氧血症、呼吸衰竭,后转入该院 ICU 治疗。
低氧血症是指血液中的含氧量不足,动脉血氧分压低于正常水平。正常血氧饱和度 98%-95%,低于 95% 说明有缺氧情况,低于 85% 则为重度低氧血症。
外院诊断为急性脑梗塞,然而相关检查却并未发现血管狭窄、异常。
另一方面,严重低氧血症问题更为棘手,高流量吸氧情况下,其血氧饱和度仍处于较低状态,24 小时离不得吸氧。
为求进一步治疗,童爷爷转院至重庆松山医院心血管病专科医院。
心血管病专科医院耿召华教授接诊,为纠出病因,联合神经内科、呼吸内科、超声科、放射科等,逐一完善相关检查,重重排除肺动脉栓塞、肺动脉高压等因素,考虑进一步明确心源性病因。
医护团队同时发现童爷爷的血氧饱和度与体位变化紧密相关:
当其右侧卧时,血氧饱和度迅速下降,低至 70% 左右,身体几乎难以耐受;平躺时,血氧饱和度在 92%-95%;左侧卧则能达到 95%-96%。

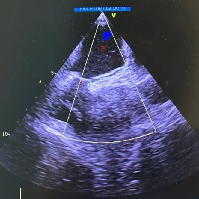
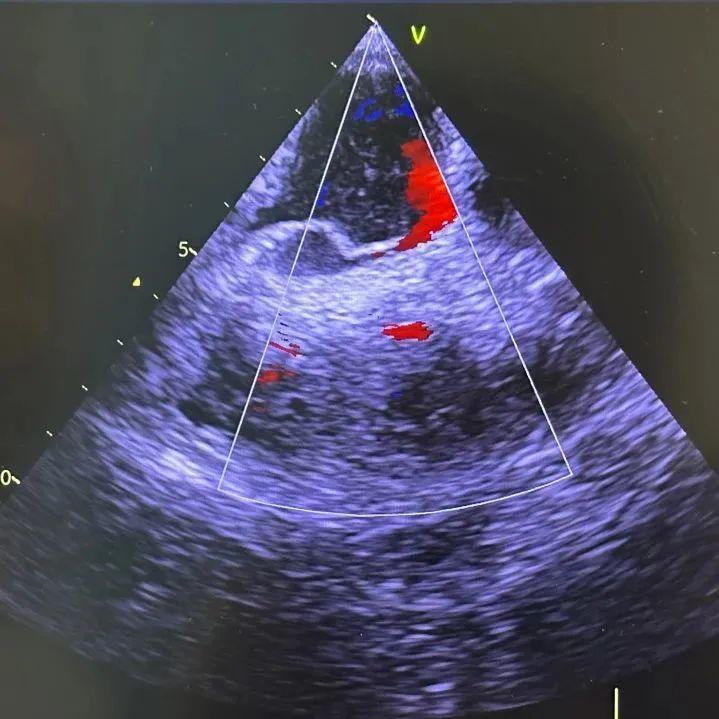
最终,右心声学造影等检查证实存在卵圆孔未闭,即心脏上多长了一个「孔」。
卵圆孔是胎儿时期左右心房之间的一个血流通道,大多数人的卵圆孔会在出生后 1 年内彻底闭合,左心房与右心房之间的血流中断。超过 3 岁未能正常融合则称为「卵圆孔未闭」。
未闭合的卵圆孔导致大量未经氧合处理的静脉血、血栓从右心房向左心房分流,直接进入动脉,造成机体供血供氧不足,产生低氧血症,甚至引起反常性栓塞。
因童爷爷年纪较大,且有长期、大量的吸烟史,心肺功能下降,身体血液及呼吸循环情况较差,导致低氧血症更加严重且难以纠正。
经多学科病例讨论,并与家属详细沟通,决定采用「术中经食道超声心动图+卵圆孔未闭介入封堵」治疗方案,彻底关闭卵圆孔。
充分术前准备后,耿召华教授、超声科谭开彬教授同台为童爷爷开展手术。


术中,超声探头进入食管,从心脏后方向前近距离探查,进一步发现该卵圆孔未闭为复杂型,手术难较大。其腔道较长,约 24 毫米(一般为 4-18 毫米),且因相邻结构特殊,血液更易反流。


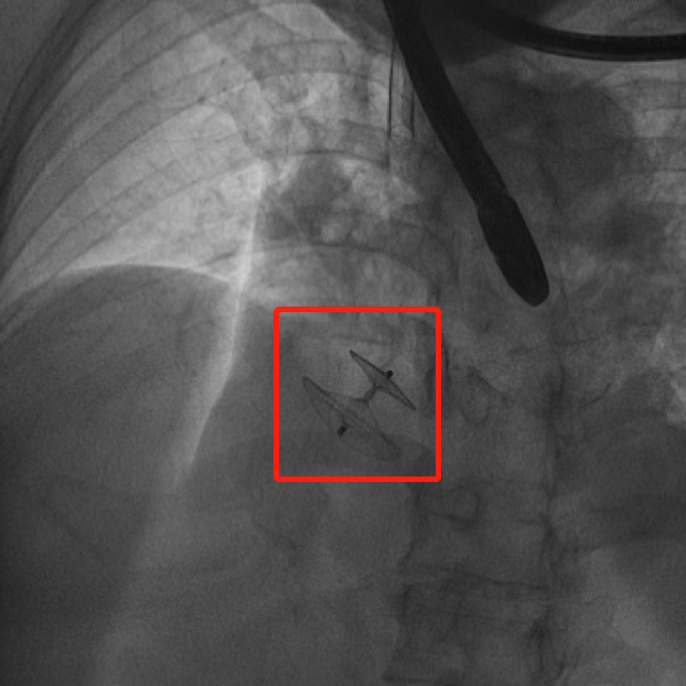
食道超声实时监测下,耿召华教授精细操作,经股静脉穿刺顺利送入导丝,由导丝引导送入尺寸最大的封闭器(25-35 毫米),通过卵圆孔后,逐一释放两侧封堵伞,直至固定良好,无残余分流,手术顺利完成。


好文章,需要你的鼓励