「爷爷不得行了」这天下午 15 时 30 分,今年 74 岁的梅爷爷,突然神志不清、不能言语、左侧肢体瘫软,在旁的家属吓坏了,赶紧将其就近送至北部宽仁医院。根据患者发病的症状,经过快速准确的神经系统体
「爷爷不得行了」
这天下午 15 时 30 分,今年 74 岁的梅爷爷,突然神志不清、不能言语、左侧肢体瘫软,在旁的家属吓坏了,赶紧将其就近送至北部宽仁医院。
根据患者发病的症状,经过快速准确的神经系统体格检查后,神经疾病科主任史树贵教授初步诊断患者为「脑卒中,急性脑梗死可能性大」,神经功能缺损评分(NIHSS 评分),高达 23 分,属于重度卒中(即「中风」),病情十分危急。
「时间就是大脑」,急性脑梗死治疗时间依赖性极强,每延迟 1 分钟治疗,将会有 190 万个脑细胞死亡,偏瘫、失语、死亡风险将大大增加。
急性脑梗死后最佳治疗(静脉溶栓和/或急诊介入取栓)时间在发病后 4.5 小时内,越早越好。
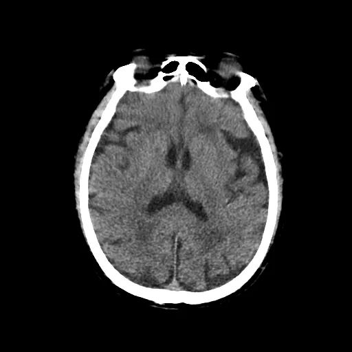
幸运的是,梅爷爷从发病到神经科医生接诊,耗时不到 1 个小时,仍处于卒中后最佳治疗时间窗内,医院立即开启脑卒中救治绿色通道,优先安排化验及颅脑 CT 检查,排除脑出血,明确诊断为「急性脑梗死」。

术前 CT 图
快速评估静脉溶栓治疗适应症及禁忌症后,向患者家属讲解治疗方案并征得其同意,神经疾病科卒中治疗团队决定立即为梅爷爷采取静脉溶栓治疗,并同时积极联系血管介入室做好行急诊脑血管介入手术的准备。
16 时 33 分,畅通的脑卒中救治绿色通道,保证了患者在发病后 63 分钟即用上了静脉溶栓药物——注射用阿替普酶,静脉溶栓是治疗急性脑梗死的基石,急诊介入取栓则是治疗急性脑梗死的利器。
16 时 55 分,梅爷爷被送入介入室,在脑卒中绿色通道救治团队快速且充分的准备后,17 时 10 分,神经疾病科史树贵教授、翟红教授、卢龙医师紧急为梅爷爷行脑血管造影+脑动脉支架取栓术。
17 时 56 分,堵在梅爷爷右侧大脑动脉的血栓被取出,手术顺利完成。



上图为取栓前,中图为取栓后,下图为取出血栓
术后第一天,梅爷爷神志清楚,发音仍不够清晰却也能说话了,左侧肢体也有部分活动,NIHSS 评分从 23 分降到了 10 分。
「现在独自行走都没问题,日常生活基本可以自理了」
发病时及时、高效的救治,术后个体化的药物治疗及康复训练,手术后一周时间,梅爷爷已恢复得出乎意料的好,脑卒中能有这样好的治疗效果,梅爷爷家属尤为惊喜和满意。
*声明:本内容仅代表文章来源方观点,不代表本站立场。本内容仅供医学药学专业人士阅读,不构成实际治疗建议。
好文章,需要你的鼓励