截止到上世纪末,有一种手术始终困扰着外科医生。并不是该手术多么复杂,而是这种手术的死亡率很高。
即便不死亡,也会因为术中严重的血流动力学波动而导致心脑血管事件发生,进而留下终身残疾。因此,很少有医院能够开展,更不要说高水平完成手术。
这种手术叫做「嗜铬细胞瘤手术」,63 岁的龙女士就是嗜铬细胞瘤的患者,巨大的肿瘤引起了心、脑、肾等严重并发症。前些天,龙女士终于在桂林医学院第二附属医院经多学科协作,成功摘除患者左侧腹部异位的巨大型嗜铬细胞瘤,术后患者恢复良好。
01 危险的嗜铬细胞瘤
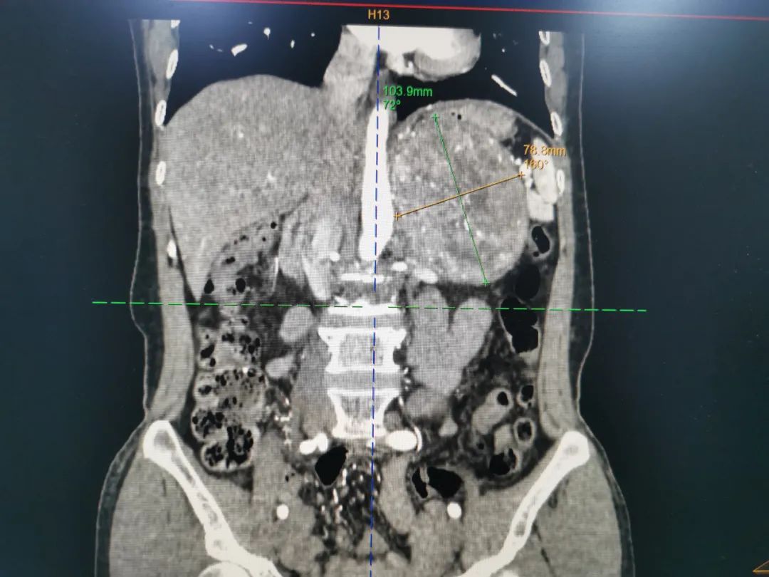
患者龙女士于今年 10 月因发现西瓜大小(13*10 cm)的巨大左侧腹膜后占位入住桂林医学院第二附属医院泌尿外科,经过泌尿外科检查后提示:肾上腺素(epinephrine)和去甲肾上腺素(norepinephrine)这两种儿茶酚胺激素均偏高,考虑为嗜铬细胞瘤可能性大,影像学提示肿瘤巨大,压迫脾脏、胰腺、左侧肾脏等重要器官,临近腹主动脉、脾动脉、肾动脉及肠系膜上动脉等。
根据术前的检查结果,龙女士的肿瘤定性诊断为嗜铬细胞瘤,定位于左侧后腹腔且滋养血管主要来自腹腔干,与胰腺、脾脏、肠管均有毗邻,在手术剥离过程中损伤到任何一处重要器官及血管都有可能导致不可挽回的严重后果,所以这是单独一个外科所不能完成的艰巨手术。



如果单纯从大小或者位置上来看,该手术并没有让人吃惊的地方。大家想一想,人的肾脏只有那么大,而肾上腺只是位于肾脏上极的一小块组织。即便把整个肾都切下来,相信也不是什么难事。
可是,这个手术难就难在「不能碰」。
嗜铬细胞瘤是来源于肾上腺髓质和交感神经节嗜铬细胞的儿茶酚胺分泌瘤,分别被称为「嗜铬细胞瘤」及「分泌儿茶酚胺的副神经节瘤」 (pheochromocytoma and paraganglioma, PPGL)。因为这类肿瘤的临床表现及治疗手段相似,很多临床医师将肾上腺嗜铬细胞瘤及分泌儿茶酚胺的副神经节瘤统称为「嗜铬细胞瘤」。
嗜铬细胞瘤主要合成和分泌大量儿茶酚胺,引起患者血压升高等一系列临床症候群,并造成心、脑、肾等严重并发症。而瘤体内能含有且能分泌大量儿茶酚胺类激素,术中触碰瘤体便会引起血压的剧烈波动,极易诱发心脑血管并发症。
为此,医院泌尿外科蒋雷鸣教授组织 MDT 团队开展多学科讨论,由胃肠外科、肝胆胰外科、心血管内科、肿瘤内科、麻醉科、放射科、内分泌科、重症医学科等科室组成专家团队共同讨论,制定了周密诊疗方案。

02 多学科携手,有惊无险切除肿瘤
蒋雷鸣教授介绍,此疾病不同于其他,术前准备做得不充分、不完善,手术后造成的后果同样是非常致命的。
这就如同肿瘤本身是长久维持身体高血压的泵,如果把泵突然拿掉,那么血压将会呈跳楼式直线下降,到时候任何的升压药物均不能把血压拉上来,那么将会是灾难性的后果。
因此,嗜铬细胞瘤的术前准备至关重要,必须使用α受体阻滞剂及钙通道阻滞剂控制血压,如果心率偏快还需加用β受体阻滞剂,同时术前需扩充血管容量。
而这一调整血压的过程往往就需要 1-2 周的之久,所以不仅手术需要医生团队的认真对待,术前的准备工作也是需要他们密切把控的。


在经过充分的术前准备后,由泌尿外科蒋雷鸣主任医师、潘家强主任医师、胃肠外科朱小宝副主任医师、肝胆胰外科吴嘉兴副主任医师以及麻醉科骆喜宝主任医师、张旭副主任医师、廖年有副主任医师所组成手术、麻醉团队,开展这一具有挑战性的手术。

手术团队紧密配合,在腹腔镜下「抽丝剥茧」,小心翼翼剥离肿瘤,肿瘤与周遭脏器关系紧密,剥离肿瘤时精神需高度集中且轻柔操作,避免损伤血管和周遭脏器。无论术前准备多么充分,术中会经历了让人惊心动魄的过程:血压在分离肿瘤时波动剧烈,犹如过山车般时刻牵动着在场所有人的心,大家多次因血压的剧烈波动而暂停手术操作,好在有麻醉团队的保驾护航,三大外科通力协作,顺利将瘤体完整剥离,完好地保护了周围的大血管和器官,完美地避开了术前所预料的风险。


最终在各个科室的共同配合下,最终顺利完成了巨大异位嗜络细胞瘤的切除。待手术完整切除瘤体后,经过仔细检查创面,蒋雷鸣教授长舒了一口气说「患者总算度过了艰难的第一关了「。

03 顺利康复
经历了手术的难关后,患者的恢复至关重要,这时候就需要请让许多人「起死回生」科室——重症医学科出场了。
对于一些危重病人,常规的科室医疗资源是难以胜任此类患者的诊疗的,无数的危重患者在此转危为安。这位龙女士在术中经历了剧烈的血压波动,术后极易出现肾上腺危象,因此重症医学科的医护团队及相关医疗设备在病人术后最危险的时刻是最强有力的护盾。
在重症度过了术后最危险的 24 小时后,龙女士平安回到了泌尿外科普通病房。护理团队采用了快速康复模式,龙女士不仅在早期恢复了正常的进食,更是在短期内下床自由活动完全在短期内恢复了正常人的状态。
经康复治疗后,患者终于顺利出院。
古人云,乘众人之智,则无不任也;用众人之力,则无不胜也。随着医疗技术的进步,越来越多的疾病从难治之症也变成了可以根治或是能延长预期寿命的「轻症「。
传统的 1 对 1 医疗模式,对于复杂的疾病难以最优地解决患者的诊疗问题,所以最强大的力量是同心合力,最有效的方法是和衷共济。
「万物并育而不相害,道并行而不相悖「,医学的进步离不开相互交流、互学互鉴,随着多学科团队(MDT)综合诊疗模式的推广应用,目前桂医二附院 MDT 团队已经能发挥出 1+1>2 的作用。这将对越来越多的罹患疑难疾病的患者带来福音。
好文章,需要你的鼓励