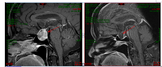
今年 62 岁的赵阿姨 9 月份因慢性咽炎在河东某医院住院。住院期间,患者行头部 MR 检查提示发现其鞍区占位并间歇伴有额部少许疼痛不适,医生考虑垂体瘤的可能。为求进一步治疗,赵阿姨后又前往湘潭市中心医院就诊,门诊以「鞍区占位」收住至神经外科。
入院后,神经外科治疗团队对患者进行了完善的检验、检查,经科室讨论后,有明显手术指证,拟为赵阿姨行神经内镜下经鼻蝶窦入路垂体瘤切除术。

10 月 12 日,由神经外科副主任杨佳宁主刀、副主任医师彭龙组成的手术团队历时 4 小时,为患者顺利完成手术。术后,患者无感染、无脑脊液漏、无垂体功能低下,复查头部 CT 及 MR 提示肿瘤切除满意,术后 7 天患者出院。目前,随访 2 个月仍无垂体功能低下及无脑脊液漏,患者生活质量得到极大改善。


垂体是人体最重要的内分泌腺,分前叶和后叶两部分,能分泌生长激素、促甲状腺激素、促肾上腺皮质激素、催乳素等多种激素,还能够贮藏并释放下丘脑分泌的抗利尿激素。这些激素对代谢、生长、发育和生殖等有重要作用。垂体悬垂于脑的底面,通过漏斗柄与下丘脑相连,体积很小,重量不到 1 g。
垂体瘤多起源于垂体前叶,约占颅内肿瘤的 10%,发病率女性略高于男性,通常发病于青壮年时期,常常会影响患者的生长发育、生育功能、视力视野障碍、学习和工作能力。临床表现为激素分泌异常症群、肿瘤压迫垂体周围组织的症群、垂体卒中和其他垂体前叶功能减退表现。传统的垂体瘤手术方法是经鼻蝶显微镜下切除肿瘤。但由于显微镜视野有限,存在一定的手术盲区,所以部分垂体大腺瘤,尤其是侵袭性生长的垂体瘤显微镜下难以做到全切。
近年来,神经内镜凭借其良好的照明、抵近观察等优势在神经外科手术领域快速发展。经神经内镜下蝶窦入路手术与开颅手术相比具有肿瘤切除的彻底性高、对内分泌功能的缓解效果好、视力视野治愈改善率高、创伤小、并发症低、反应轻、恢复快、脑保护好、痛苦少等优点。手术通过鼻腔狭小的通道,切除垂体瘤,达到曲径通幽的效果,现已成为垂体瘤外科治疗的首选治疗方式。
2021 年 8 月医院开展神经内镜下经鼻蝶窦入路垂体瘤切除术以来,已成功完成多例手术,取得了良好的手术效果,弥补了湘潭地区此项技术空白,标志着科室在神经内镜治疗颅底疾病踏上了新起点,迈上了新征程。
好文章,需要你的鼓励