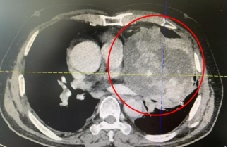
133 mm 的巨大肿瘤
几乎占满左侧胸腔
体积大、侵犯广、牵涉血管神经多
严重压迫心脏、肺动静脉
左上肺被挤到快「消失了」

然而
这场高风险、高难度的手术
他们接下了!成功了!
巨大肿瘤占据胸腔
手术是挽救生命的唯一希望
张大爷(化名)今年 79 岁。3 年前,他因咳嗽到外院就诊,检查发现左侧胸腔竟长了一颗巨大肿物,多家医院均建议手术治疗。但由于张大爷年龄高,肿瘤位置特殊,且大到几乎塞满左侧胸腔,手术空间受限,暴露肺门困难,而且肿瘤已经严重压迫心脏、肺动静脉,局部侵犯左上肺,与周围脏器粘连致密,不易分离,手术难度极大,风险极高,未能如愿手术切除肿瘤。

3 年来,左侧胸腔里的肿瘤越来越大,张大爷已经出现胸闷不适、呼吸困难等症状,严重影响了日常生活。
「不能再拖了,这手术非做不可!」
极限空间下
巨大肿瘤被精准剥离
漳州市第三医院胸外科叶惠龙总院长接诊了张大爷。看着焦急的患者及家属,他耐心安抚他们的情绪,并决定接受这一严峻挑战!
为了能顺利、安全地拆除这个巨型「炸弹」,叶惠龙总院长组织胸外科、麻醉科、ICU、呼吸与危重症医学科、心血管内科、影像科等多学科展开术前讨论,制定严谨详尽的手术方案,对术前、术中、术后的各种情况做好充分的应对准备,以确保手术顺利进行。
10 月 9 日,叶惠龙总院长与手术团队紧密协作,凭着高超的技术、细致的操作、扎实的功底、丰富的经验,高度专注,如履薄冰地将肿瘤与周围组织、脏器仔细分离,经过两个多小时,约 133 mmX111 mmX118 mm 大小的肿瘤被完整剥离,手术十分顺利,病理报告 AB 胸腺瘤。

术后,在医护人员的精心照顾下,张大爷已经康复出院了。

此例患者的救治
充分体现了漳州市第三医院
处理疑难重症的诊疗优势和学科水平
展现了胸外科团队
精湛的手术技术和攻坚克难的自信
今后,我院胸外科将继续钻研
不断提高外科专业技术水平
为更多的患者提供
先进、便捷、满意的治疗服务
好文章,需要你的鼓励