今年 47 岁的许先生(化名),最近十几天可遭了大罪!右侧大腿莫名疼了起来,不是那种普通的酸痛、胀痛,而是 像针扎、像触电一样,一阵一阵的,疼起来钻心刺骨,站也不是、坐也不是,连晚上睡觉都能被疼醒。
许先生找到了漳州第三医院 疼痛专病门诊,接诊的吴树鑫医生特别有耐心,听许先生详细说了自己的疼痛情况,又仔细检查了他的大腿——只见右大腿皮肤上,有一大片已经结痂的疱疹,用手轻轻一碰,许先生就疼得直咧嘴。结合检查结果,吴树鑫医生很快就判断出,许先生得的是 带状疱疹神经痛。

可能有人不清楚什么是带状疱疹神经痛,简单说就是咱们常说的「缠腰龙」「蛇缠腰」引发的疼痛,哪怕疱疹结痂好了,神经上的疼痛也可能持续很久,像针扎、电击、火烧一样,特别顽固,严重影响正常生活。
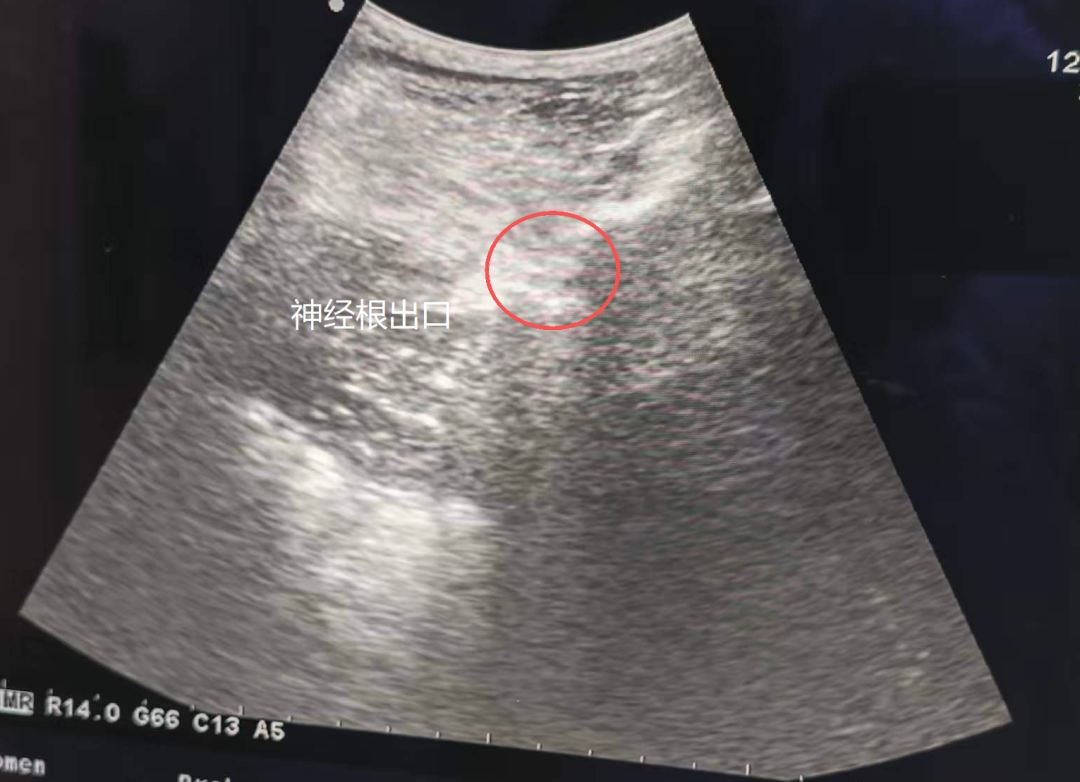
随后,吴树鑫医生为许先生制定了门诊彩超引导下的神经根阻滞治疗,成功解决困扰。


好文章,需要你的鼓励