近日,广西壮族自治区人民医院北院院区骨科收治了一名合并多种并存疾病的危重股骨颈骨折患者,在医院多学科的合作诊疗及科室医护人员精心治疗和悉心照顾下,患者顺利康复出院。

患者因外伤致右侧股骨颈骨折住院,因其患有慢性肾病多年,且合并有尿毒症,肾衰性心脏病,二、三尖瓣重度关闭不全,心房颤动,异常 Q 波等多种疾病,后到我院北院院区就诊。
入院后,主管医生分析了患者病情并告知了手术风险。就在患者认为治病无望要打退堂鼓时,我院副院长、北院院区院长、骨科学科带头人尹东带领团队认真了解了患者病史,立即联系心血管内科、肾内科、麻醉科、心胸外科、重症监护病房等科室进行多学科联合会诊,依据患者的病情及合并症,详细评估患者的手术风险,为患者制定了周密的围术期治疗和处理方案。尹东再次和患者沟通情况后,患者对治疗有了信心并愿意接受此治疗方案。
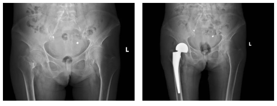
术前,麻醉科副主任龚拯采取超声引导下单次腰麻联合髂筋膜阻滞的方式为患者进行麻醉,将围术期心脑血管的影响降到最小。随后,尹东团队为患者行右人工股骨头置换术,手术过程顺利,患者术后复查 X 线显示假体位置良好。在护士的指导下,患者进行了下地康复锻炼。整个围术期间患者病情稳定,恢复良好。

据统计,这是北院院区骨科 2021 年以来完成的第 80 台关节置换手术,科室全年四级手术量达 329 台,同比 2020 年增长 615%,微创手术量相较 2020 年也节节攀升。我院北院院区骨科是医院一体化管理的科室,在院党委的领导下,围绕「党建引领、文化聚心、学科发展」的高质量发展战略,秉承「人民至上、生命至上、人民医院为人民」的服务理念,贯彻落实「一体化管理,同质化服务,差异化发展」的管理模式,强化学科管理,狠抓医疗质量,不断提高服务能力,为广大患者的健康保驾护航,助力医院二次腾飞。
医学小课堂
多学科诊疗(Multidisciplinary Team,MDT)是现代医学诊疗的最先进模式,通常指针对某一种或某一系统疾病的病例进行讨论,在综合各学科意见的基础上为病人制定出最佳治疗方案的治疗模式。这种模式越来越受到医疗同行的关注并逐渐应用于临床,对患者的科学合理诊疗和医务人员专业技术提升、不同学科间沟通交流方面都起到了非常重要的作用。本次手术的顺利进行,彰显了我院北院院区多学科联合诊疗的强劲实力。
好文章,需要你的鼓励