近日,65 岁的刘大叔(化名) 因肝右叶 VII 段(腹腔镜肝切除「困难区」)长有 7 公分原发性肝癌,面临手术难度大、风险高的难题,最终在达芬奇机器人的助力下,实现肿瘤精准切除与肝脏功能最大化保留,开启康复新程。

一周前,刘大叔因右上腹持续性隐痛不适就诊于常州二院肝胆胰外科吴宝强主任专家门诊。追问病史得知,他有长期乙肝小三阳病史且未正规治疗,两年前乡下体检 B 超未发现肝脏肿物,此次腹部 B 超却提示肝脏异常。凭借丰富的临床经验,吴宝强高度怀疑为「乙肝后肝癌」,随即安排刘大叔入院完善检查。
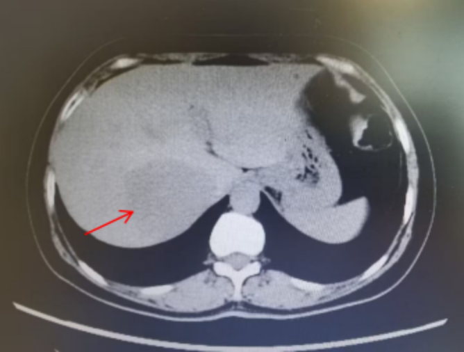
腹部 CT 与磁共振检查结果印证了担忧:刘大叔肝右叶存在一个 7.0 公分大小的肿物,考虑为原发性肝癌,肿瘤位置特殊——位于肝 VII 段,深嵌于肝脏内部,与肝右静脉、肝中静脉及下腔静脉等大血管紧密相邻。这一区域被业界视为腹腔镜肝切除的「困难区」,手术中稍有不慎便可能损伤大血管,引发大出血,同时还需在彻底切除肿瘤的基础上,最大程度保留残余肝脏功能,避免术后肝功能衰竭,手术方案制定面临双重考验。
为确保诊疗万无一失,肝胆胰外科团队迅速组织多学科会诊,从患者身体状况、肝脏储备功能、肿瘤根治切除可行性等维度展开全面评估。经过全科细致的术前讨论,再结合与患者及家属的充分沟通,吴宝强团队最终决定:借助达芬奇机器人手术系统,为刘大叔施行肝右后叶肿瘤切除术。

手术当日,在吴宝强团队的操作下,达芬奇机器人手术系统正式「登场」。机器人仅通过四个 8 毫米的小孔便进入腹腔,其搭载的 3D 高清视野系统,能将手术区域放大倍数更高,清晰呈现肝内血管、胆管与肿瘤的细微关系;自带的荧光染色功能,更是精准勾勒出肿瘤组织与正常肝脏组织的界限,为「精准切除」提供清晰指引。


术中,团队完整切除肿瘤所在的肝 VII 段,同时最大程度保留了正常肝脏组织。整个手术历时 3 小时,术中出血仅 80 毫升,未进行输血,手术全程安全、顺利。术后,刘大叔在医护团队的悉心照料下恢复良好,术后七天拆线出院。

好文章,需要你的鼓励