近日,延安市中医医院(北京大学第三医院延安分院)泌尿外科为一名双肾结石合并右侧输尿管结石患者实施了同期输尿管软镜下双肾结石钬激光碎石取石术(RIRS)+输尿管硬镜下右侧输尿管结石钬激光碎石取石术(URL),标志着 延安市中医医院 泌尿外科在治疗复杂性尿路结石方面处于陕北先进地位,达到国内先进水平。

病情回顾
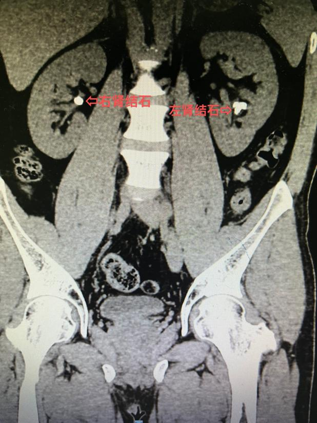
10 年前患者检查发现双肾结石,近年来反复出现腰部疼痛,在外院多次行体外冲击波碎石,未见结石排出,症状也没有改善,严重影响了工作和生活。后到 市中医医院 泌尿外科就诊,泌尿外科拓鹏飞副主任医师接诊后行 CT 显示:双肾多发结石、右侧输尿管结石。
北京驻延泌尿外科专家杨斌告诉患者:
「可同期行输尿管软镜下双肾结石钬激光碎石取石术+右侧输尿管结石钬激光碎石取石术,通过单次麻醉,可以同时处理双肾结石和右侧输尿管结石,达到的降低手术风险、减少经济花费、缩短住院时间,一箭三雕、事半功倍」。
在患者对自身病情充分知晓并了解诊疗方案后,泌尿外科团队在麻醉手术科团队配合下,为患者顺利实施了同期输尿管软镜下双肾结石钬激光碎石取石术(RIRS)+输尿管硬镜下右侧输尿管结石钬激光碎石取石术(URL),术后复查见结石完全清除,术后第 3 天患者顺利出院。




泌尿外科郭巍主任介绍:「双侧上尿路同时存在结石病患者约占 15%,其手术治疗原则为:双侧肾结石时,先处理一侧,择期处理另一侧肾结石;当一侧肾结石,另一侧输尿管结石时,先处理输尿管结石。大多数医院行输尿管软镜手术通常需要分期进行,一期置入输尿管支架管,二期行输尿管软镜手术,而且双侧输尿管软镜手术常需分期实施,这样不仅延长了治疗周期,还大大增加了患者的经济负担。输尿管软镜下钬激光碎石术是利用人体自然腔道(NOTES 手术)进行的微创手术,联合套石篮取石,能进一步提高结石清除率,降低并发症,缩短手术时间。」
好文章,需要你的鼓励