因为大便发黑,年逾八旬的市民叶先生(化名)去家门口附近的医院做了胃肠镜检查,不仅发现了肠癌,还同时发现了胃癌。慎重考虑之后,家人带着叶先生来到北京大学深圳医院(下称「北大深圳医院」)进一步就诊,最终在该院胃肠外科接受了微创手术。
年年有体检 但没做胃肠镜
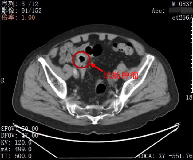
叶先生退休后每年都有体检,但没有专门去做胃肠镜。2021 年 2 月底,因为大便发黑,在家人的陪伴下,他去家门口附近的医院做了一个肠镜,在乙状结肠发现了一个肿块。
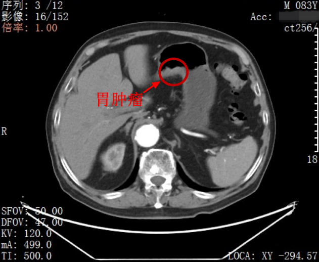
「医生建议父亲再做一个胃镜,没想到又发现了胃部的可疑溃疡。」叶先生的女儿回忆。
多方了解之后,家人带着叶先生来到北大深圳医院胃肠外科就医,通过进一步完善检查,科室主任吕国庆医生与团队详细分析了叶先生的病情:一是患者的两处肿瘤并没有关联,均为独立的原发肿瘤,没有发生肿瘤转移。病理结果提示:患者胃部的不规则溃疡为中期管状腺癌;乙状结肠则有一个 4.9 厘米×4.5 厘米大小的中期腺癌。叶先生两处肿瘤均未发生转移,还有手术切除的机会。


微创切除肿瘤
如果是传统开腹手术切除肿瘤,手术切口将长达四五十厘米,对于当时有已经 83 岁高龄的叶先生来说,伤口很大,术后愈合缓慢,尤其是对于 80 岁以上高龄患者而言,可能难以接受。吕国庆主任与团队精心设计手术方案:可以通过一次性的微创手术同时切除胃部和乙状结肠的两处肿瘤。
2021 年 3 月初,叶先生的「腹腔镜胃癌根治术伴 D2 淋巴结清扫+腹腔镜乙状结肠癌根治术」按照既定计划开展。
吕国庆主任带领包括敖胜医生、李冠医生在内的手术团队,仅在叶先生的肚脐部位切开了 1 个约 4 厘米的切口和 4 个几毫米的小孔,采用 3D 腹腔镜,先是切除了胃部的肿瘤,并将切除的组织从脐部切口取出;再用 3D 腹腔镜深入乙状结肠,切除肿瘤,从脐部切口取出切除的组织,最后吻合肠道,缝合脐部切口。手术过程顺利,4 小时完成,术中几乎无出血。
术后 1 天,叶先生便可以少量饮水,术后第 3 天开始进少量流食,3 月中旬顺利康复出院。
近年来,北大深圳医院胃肠外科不断派出医生前往日本及国内知名医学院校进修,在使用 3D 腹腔镜开展微创手术方面积累了丰富的经验。目前,在该科室接受 3D 腹腔镜微创手术年龄最大的患者是 95 岁。
40 岁以上人群体检建议做胃肠镜
为什么叶先生会同时患上两种癌?北大深圳医院胃肠外科主任吕国庆表示,体内有多处原发性肿瘤的情况虽然不多见,但也不罕见。随着年龄的增长,患上癌症的风险逐渐增高。对于消化道肿瘤而言,基于基因、饮食习惯和环境等因素,消化道肿瘤并发的情况时有发生。
因此,对于公众来说,胃癌和大肠癌的早发现、早治疗很重要,不仅治疗方法多,而且效果好。
他进一步介绍,胃癌的发病比较隐蔽,80% 左右的胃癌早期一般无症状,少数病人可能有消化不良等轻微不适,容易被忽视。而患者一旦发生腹痛等典型症状,往往已到了胃癌晚期,失去了手术机会。
「所以早期胃癌的发现,一般都是通过胃镜检查,」吕国庆主任表示,「建议 40 岁以上人群,在体检时再加一个胃肠镜检查,有利于胃癌、肠癌的早发现。像叶先生就是在发现肠癌后,在医生的建议下再做了一个胃镜,发现了中期胃癌,及时进行了手术。」
在大肠癌方面,除了做肠镜检查外,日常生活中一旦发生黑便、便血、大便性状改变等症状,应立即就医,进行肠癌筛查。
通讯员:彭蓓、敖胜
好文章,需要你的鼓励