92 岁的老人因左侧肢体力量进行性下降,在外地医院多科室辗转就诊 1 月有余,治疗后病情却毫无起色。近日,武汉大学人民医院(湖北省人民医院)神经外科、麻醉科、康复科等多学科团队携手攻坚,成功为其切除颅内巨大肿瘤。术后 14 天,曾完全偏瘫的老人已能自行拄拐行走,顺利康复出院。
今年 8 月,湖北洪湖张姓老人因左侧肢体活动能力持续衰退,被家人送往医院就诊,入院时病情已十分危重 —— 左侧肢体完全失去活动能力,只能卧床。
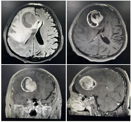
颅脑磁共振检查结果令人揪心:老人左侧额颞叶存在巨大肿瘤,肿瘤周边伴随严重水肿,正常脑组织已被明显压迫,病情进展岌岌可危。

家属联系上武汉大学人民医院神经外科李明昌,随后将老人转入医院神经外科病房。
这位特殊的患者带来的挑战接踵而至:92 岁的高龄本就使手术风险陡增,加之张爹爹已偏瘫卧床近 1 个月,身体基础条件差,术后恢复难度极大。
李明昌教授带领团队第一时间对患者进行全面评估,一方面迅速与神经外科郭丽蕊护士长及科室压疮护理小组成员沟通,针对长期卧床可能引发的压疮风险,紧急启动专项预防方案,保障患者术前身体状态稳定;另一方面,他立刻联系麻醉科夏中元教授,结合患者年龄、基础疾病、肿瘤位置及病情严重程度,共同为其量身定制了详尽的手术方案与围手术期管理策略。从术前准备、术中操作到术后监护,每一个环节都反复推敲,力求万无一失。
经过充分的术前精准评估与周密准备,老人转入神经外科仅 2 天后,手术便如期开展。

在麻醉科夏中元教授团队的严密监测与护航下,李明昌教授带领团队在全麻状态下为患者实施「脑深部病损切除术」。术中,团队成员全神贯注,凭借精湛的技术和丰富的经验精细操作,成功避开重要神经血管,完整切除肿瘤。整个手术过程顺利,患者生命体征始终保持平稳,术后顺利拔除气管插管,安全返回神经外科重症监护病房接受进一步治疗。
术后第 4 天,康复科团队迅速介入,针对患者偏瘫情况启动床边早期康复训练,通过专业指导帮助其左侧肢体逐步恢复运动功能。
此次超高龄患者颅内巨大肿瘤手术的成功,不仅打破了高龄带来的手术禁区,为更多老年颅内肿瘤患者提供了治疗新思路,更充分彰显了武汉大学人民医院神经外科在颅内肿瘤手术治疗、麻醉科在超高龄患者围手术期综合管理方面的雄厚实力。医院多学科协作模式的高效运转,不仅为患者的医疗安全筑起坚实屏障,更有效改善了患者预后。
好文章,需要你的鼓励