东北男子来汉旅游期间突发腹痛,谁料检查发现肝门静脉呈「树枝状」,竟是「死神之征」。武汉大学人民医院(湖北省人民医院)5 大学科联手,从众多病因中抽丝剥茧,揪出病征背后「罪魁祸首」——缺血性肠炎,并顺利实施手术,成功将男子从鬼门关抢了回来。
五一假期,42 岁的刘先生(化姓)从东北来武汉旅游,谁知刚一下高铁,就感到腹部剧烈胀痛不适。刘先生回忆,自己已经连续 4 天进食后出现间断发作脐周疼痛,偶尔还有恶心、呕吐及腹泻的情况,服药后症状稍有缓解,没想到刚到武汉就突然症状加重。
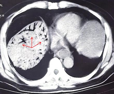
随行的朋友赶紧将他送往附近医院就诊。经急诊 CT 检查,发现他肝门静脉主干及分支存在大量气体影,呈「树枝状」,初步诊断为「门静脉积气」。这是一种危急重症,往往是由于肠道黏膜屏障破坏,肠腔内气体经破损血管进入门静脉系统所致。临床上较为少见,但一旦出现,通常提示有严重的潜在疾病,如肠缺血、肠坏死、肠梗阻、炎症性肠病或产气杆菌感染等,死亡率高达 75%。医生当即建议他们迅速转至武汉大学人民医院。
该院胃肠外Ⅱ科主任罗建飞教授接诊后,立即组织医疗团队进行救治。此时,刘先生已经出现休克状态,医疗团队在立即给与抗休克、抗感染等积极抢救治疗的同时,迅速完善血气分析、降钙素原及肠系膜血管造影等检查,发现患者已经合并出现急性肾功能衰竭、心功能衰竭等多器官功能衰竭表现。


医院立即启动多学科协作(MDT),胃肠外Ⅱ科联合麻醉科、超声影像科、重症医学科、介入科等展开紧急会诊。结合患者病史、体征、病情急骤进展及动态影像特征,专家团队考虑其「门静脉积气」的「罪魁祸首」是「缺血性肠炎」的可能性最大,建议积极行急诊手术探查,以阻断脓毒血症、多器官衰竭等致命风险。但考虑到目前患者病因尚未完全明确,建议首先采用腹腔镜探查微创手术方式,尽量减少手术损伤,以最小的代价精准解除最可能的病因。
考虑到刘先生发病急骤,胃肠外Ⅱ科副主任屈兵副主任医师随即与其家属进行了线上线下沟通,详尽分析了病情变化及病因可能性分析,建议果断积极手术探查。家属亲友在充分了解病情后,坚定表示相信武汉大学人民医院,同意在武汉开展紧急手术探查。

完善术前准备后,在麻醉科夏中元教授团队的保驾护航下,罗建飞教授、屈兵副主任医师带领李凯、左腾等医生实施了腹腔镜下探查术。术中探查发现,患者全段小肠高度水肿、扩张,形成肠梗阻状态,在距离屈氏韧带约 40 厘米处小肠肠壁全层缺血、坏死,与术前判断完全吻合。手术团队于是果断转为开腹手术,行肠道减压,精准切除坏死肠段,实施小肠吻合,既保留消化功能连续性,又确保吻合口血供充足。
术后,刘先生转入重症医学科Ⅰ科观察治疗。该科邹捍东教授团队采用「脓毒症 bundle 治疗」策略,密切监测乳酸、炎症指标及门静脉血流动力学变化。患者的肾功能、心功能、感染性指标等迅速好转,术后第 1 天,患者即能逐渐平稳呼吸,经拔除气管插管后密切观察,术后 48 小时即转回普通病房。
在胃肠外Ⅱ科护士长谢菲带领的护理团队的精心照护下,刘先生逐渐康复。5 月 13 日是术后第 10 天,他顺利出院。
罗建飞介绍,肝门静脉积气是一种危急的影像学征象,是外科急症的「红色警报」,往往提示患者存在严重的消化道疾病。由于病情进展迅猛,若未能及时识别和干预,患者可能在短时间内出现消化道穿孔、感染性休克、多器官衰竭等致命并发症。
「关键在于早期识别、多学科快速响应」,罗建飞提醒,若出现持续腹痛伴呕吐、发热或血便,务必立即就医,争取尽早明确病因,避免错失黄金救治时间。
好文章,需要你的鼓励