罗湖医院消化内科在消化内镜下切除消化道肿瘤已积累了大量丰富的经验,近日又有新的突破,在胃镜下成功切除 4.5 cm 大肿物!该记录刷新了罗湖医院内镜下切除胃肿物大小的新记录!
与外科手术相比,内镜下切除消化道良恶性肿瘤的技术具有创伤小、恢复快、并发症少等优势。其中,内镜下黏膜剥离术(ESD)、黏膜挖除术(ESE)为难度系数较大的手术方式,对面积较大、累积较深的病变能进行完整的切除,有效降低肿瘤残留及复发率。
罗湖医院消化内科在消化内镜下切除消化道肿瘤已积累了大量丰富的经验,近日又有新的突破,在胃镜下成功切除 4.5 cm 大肿物!该记录刷新了罗湖医院内镜下切除胃肿物大小的新记录!
近日,52 岁的陈先生因为「腹痛、排黑便 2 天」就诊于深圳市罗湖区人民医院消化内科。考虑到存在消化道出血可能,立即安排胃镜检查发现胃底有个直径近 5 cm 巨大肿物,中央可见凹陷(溃疡,图 1),已形成溃疡,考虑患者因消化道出血导致了黑便。患者肿物较大,不排除恶性肿瘤的可能,若不进一步检查、治疗,肿物则有继续生长,随时有癌变、消化道大出血甚至失血性休克而死亡的可能。

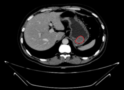
患者入住消化内科后,余细球主任建议完善胸腹部增强 CT 及超声内镜检查。通过 CT 检查也看到胃底一直径约 4.5 cm 软组织,高度怀疑肿瘤,万幸的是,周围淋巴结及邻近器官未见转移灶(图 2)。

凭多年医疗经验,余细球主任考虑胃间质瘤可能性大。但进一步确诊还需病理证实。对陈先生进一步完善超声内镜检查,证实病变位于胃壁第四层固有肌层,单纯胃镜下取活检难以取到有效病理组织。
消化内科团队的余细球主任、李晓东副主任详细了解陈先生的病情后,认为胃内的肿物虽然体积大,但边缘完整、无淋巴结及远处转移灶,仍有内镜下切除的机会!内镜下切除肿物能保存胃的完整性,极大程度上避免胃大部分切除、及术后的反流等常见并发症。而且胃间质瘤极少出现淋巴结及周边转移,切除肿物本身即可治愈。
在告知患者内镜下治疗及外科手术治疗的利弊后,患者同意选择内镜下切除肿物。
在充分的术前评估及术前准备后,手术医生李晓东副主任医师在消化内镜室行气管插管麻醉下的护航下、采用内镜下粘膜剥离术(ESD)成功切除肿瘤。李医生先对胃肿瘤周边进行粘膜下注射形成保护水垫,内镜下用 IT 刀切开粘膜下层达到固有肌层,慢慢对胃肿物逐步剥离,成功将这个巨大肿瘤完整切除(图 4、6),并用尼龙绳荷包缝合漂亮地封闭了创面(图 5)。

术后陈先生恢复良好,第二天即进食,下床活动,4 天后出院。最后病理证实低度恶性胃间质瘤。
胃间质瘤
胃间质瘤是胃部的一种特殊肿瘤,来源于间叶细胞,具有恶性倾向,是由低度恶性到高度恶性的一个渐进发展过程,肿瘤越大越容易恶变。因为早期都是良性的,原则上<1 cm 的胃间质瘤可以随访,但是它有潜在的恶变可能,建议早期进行内镜下手术。
不同于胃癌,胃癌是生长于胃表面粘膜层,而胃间质瘤大多数生长于胃粘膜层下面,大多比较深,位于固有肌层。所以早期比较隐蔽,大了后突向胃壁显现。
传统治疗方法是外科手术切除肿瘤及周围一部分胃组织。但外科手术创伤大,住院时间长,费用高。目前,随着内镜技术的发展,越来越多的胃间质瘤均可以在内镜下微创切除,保留胃的完整性,创伤小,住院时间短,费用低。诸多临床研究也显示小于 5 cm 的胃间质瘤内镜下切除是一种安全有效的方式,可以与外科手术媲美。
内镜技术:ESD
内镜粘膜下剥离术(endoscopic submucosal dissection,ESD)是在内镜下黏膜切除术(EMR)基础上发展而来的新技术,内镜下使用高频电刀与专用器械,将胃肠道>2 cm 的病灶(包括胃肠道早期肿瘤)与其下方正常的粘膜下层逐步剥离,以达到将病灶完整切除的技术。
近年来,随着内镜诊疗技术及器械的不断进步,内镜粘膜下剥离术(ESD)治疗消化道良性肿瘤及消化道早期癌症病变往往可取得与外科手术相似的治疗结果,且具有微创、不改变消化道结构、避免外科手术风险及减少术后生活质量下降等优点,是一种经济、安全、可靠的治疗消化道浅表性病变的方法。ESD 治疗的优势在于不需要外科手术就能完整切除肿瘤组织。
好文章,需要你的鼓励