
患者:男,75
主诉:反复气促 1 年,加重 20 天
现病史:患者于 1 年前无明显诱因出现气促,活动后加重,休息后可缓解,夜间可平卧,无伴夜间阵发性呼吸困难,曾于南方医科大学顺德医院治疗,出院诊断为:
1. 主动脉瓣狭窄(中度)(1)主动脉瓣退行性变伴中量返流;(2)二尖瓣退行性变伴少量返流;3)三尖瓣少量返流:4)左房增大:5)心功能 II 级)
2. 升主动脉增宽
3. 高血压肾病
4. 慢性肾功能不全(CKD4 期)
5. 高尿酸血症
6. 抑郁症
7. 胆囊结石
8. 胆囊息肉
9. 左肾钙化灶。
经治疗后症状较前好转。近 20 天以来。自觉活动后气促加重,平路可行走 200 米或登 3 层楼梯即感气促,无夜间降发性呼吸困难,无大汗淋满、胸闷胸痛不适,双下肢无水肿。今为求治疗,于南方医科大学顺德医院门诊就诊,门诊拟「主动脉瓣狭窄」收入科室,自起病以来,无畏寒、发热,偶咳嗽、咳痰,无腹胀、腹痛、腹泻,无尿频、尿急、尿痛不适,精神、饮食、断眠一般,大小便未见明显异常,体重较前无明显变化。
既往史:平时身体状况一般。否认糖尿病病史,有高血压病史 6 年,最高达 180 mmHg,规律服用阿司匹林、阿托伐他汀、呋塞米、沙库巴曲缬沙坦钠、非布司他等药物治疗,血压在 110 mmg 左右。自诉有「抑郁症」病史,规律服用奥沙西泮、艾司西肽普兰等药物治疗,正常预防接种。否认结核病史,否认乙肝、伤寒及其它传染病史。否认外伤史。否认手术史。否认药物过收史。否认食物过敏史。否认输血史。
超声报告

心脏超声查示:
主动脉瓣狭窄(重度)并关闭不全(中度)
左室收缩功能不全
二尖瓣、三尖瓣关闭不全(中度)
肺动脉高压(轻度)
心包积液(少量)
CT 报告
主动脉根部:
Annulus:23.3 mm,LVOT:21.9 mm,STJ:30.8 mm,Asc.AO:43.5 mm
LCA:13.2 mm,RCC:14.0 mm

瓣环及左室流出道呈开放式结构


TYPE1 二叶瓣,钙化集中无冠窦瓣叶侧

升主动脉增宽,最宽处为 47.1 mm(55.7 mm)

左右冠高度合适



心肌增厚,心室小





主动脉弓部走行尚可,降部有折角;髂股动脉有钙化分布,左右股动脉走行迂曲
主动脉根部:
TYPE1 型二叶瓣,重度钙化,钙化呈单边分布,主要集中在无冠窦侧,左右可见非钙化脊,左冠高度约 13.2 mm,右冠高度约 14 mm,法式窦结构大,STJ 高度约 19.4 mm、直径约 30.8 mm,升主动脉可见增宽,最宽处约 47.1 mm,心脏角度约 46°,左室大小可,右窦居中体位:RAO4°、CAU21°,左冠切线位:LAO2°、CAU16°。
入路情况:
主动脉弓部走行欠佳,主动脉弓部三根毛开口未见明显狭窄征象、未见发育变异,胸主动脉、腹主动脉走行迂曲、未见明显钙化斑块,管腔未见明显狭窄,双侧髂动脉-股动脉走形稍迂曲,管腔未见明显狭窄,综合考虑,推荐右侧股动脉做为主入路。右侧股动脉穿刺水平管腔直径约为 8.2 mm,右侧股动脉分叉约在股骨头下缘水平。
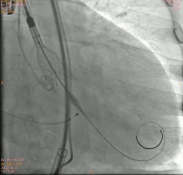
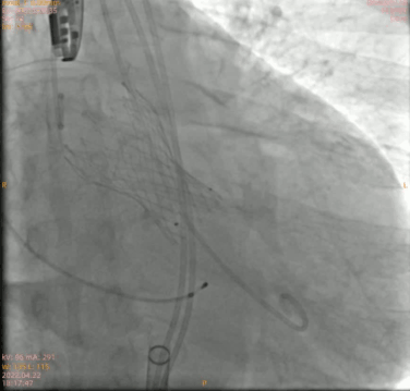
经南方医科大学顺德医院心血管内科黎文生主任团队分析研判,结合患者入路情况,以右股动脉为主入路,术中操作轻柔,预选 18 mm 球囊预扩,观察球囊腰征及反流情况,优选 VenusA23 号瓣膜进行植入,时刻观察左右冠灌注情况,释放完瓣膜后超声、造影评估效果。
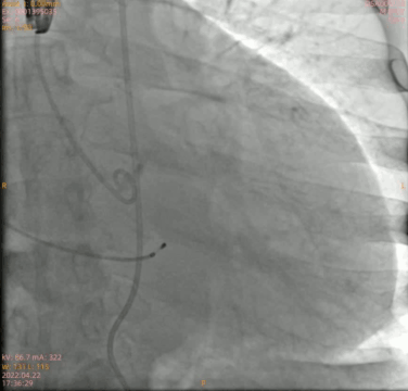
主动脉根部造影

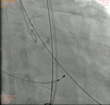
预扩

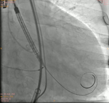
定位


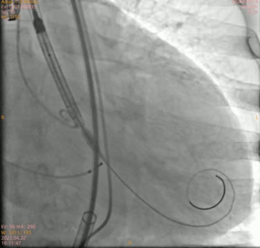
瓣膜三分之二造影

最终形态

术后即刻跨瓣压差测得小于 10 mmHg,手术结果理想。
好文章,需要你的鼓励