备孕路上,不少姐妹都有过这样的困惑:明明各项检查都正常,作息也规律,为什么「好孕」还是迟迟不来?其实,怀孕就像一场精密的团队协作,需要「种子」(卵子)、「土壤」(子宫内膜)和「时机」(排卵时间)的完美配合。
而超声卵泡监测,就像是为备孕安装了一个「GPS 导航」,能帮助我们动态、直观地看清这个过程,科学地抓住那稍纵即逝的黄金受孕窗口。

简单来说,卵泡监测就是通过 B 超,连续观察卵巢里卵泡的发育、成熟和排出过程,同时评估子宫内膜的「土壤」状况。它主要帮我们看清三件事:
✅找对「优势种子」:女性每个月会有一批卵泡发育,但通常只有一个能成为「优势卵泡」并成熟排出。超声可以精准测量它的大小,当直径达到 18-25 mm,形态圆润饱满时,就说明它已成熟,是颗高质量的「种子」。
✅评估「土壤」肥力:子宫内膜是胚胎着床的「土壤」。监测会同步观察内膜的厚度和形态。通常,排卵前内膜厚度在 8-12 mm,被认为是容受性较好的状态,更利于胚胎安家。
✅揪出「隐形问题」:有些情况肉眼无法察觉,比如卵泡长到一定程度却不破裂(未破裂卵泡黄素化综合征),或者卵泡没长够大小就提前排出。这些问题都会影响受孕,而动态监测能及时发现异常,为医生调整方案提供依据。

▲小卵泡排卵

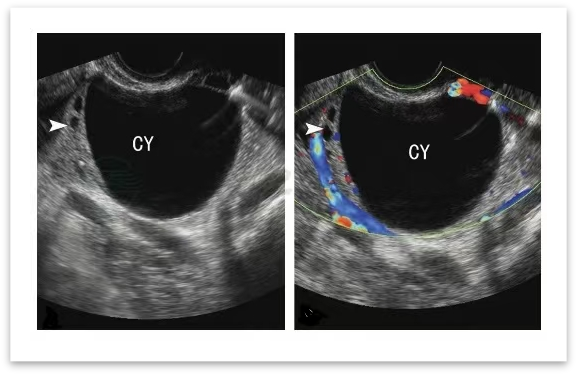
▲卵泡黄素化

▲卵巢多囊样改变
相比于排卵试纸或基础体温法,经阴道超声监测的优势相对明显:
🔺直观准确:能直接「看到」卵泡的大小、数量和形态,准确率超过 95%,有效规避了排卵试纸可能出现的假阳性或假阴性结果。
🔺动态追踪:不是一次性的检查,而是连续观察卵泡的生长速度(平均每天增长 1-2 mm),为临床判断排卵时机提供可靠依据。
🔺全面评估:同时检查子宫和内膜情况,为综合评估受孕条件提供依据。
✅何时开始:对于月经规律(28-30 天)的女性,通常建议在月经周期的第 10-12 天进行首次监测。如果周期较短或较长,医生会根据情况个性化调整时间。
✅监测频率:这取决于卵泡的生长阶段。早期可能每 2-3 天查一次;当优势卵泡出现并接近成熟(直径>15 mm)时,就需要每天或隔天监测,直到确认排卵。一个周期通常需要 3-5 次。
✅检查准备:经阴道超声无需憋尿,检查前排空膀胱即可。建议穿着宽松、方便穿脱的衣物。
当监测到成熟卵泡后,医生会给出同房指导。由于精子在女性体内可存活 48-72 小时,而卵子排出后仅能存活 12-24 小时,因此最佳的受孕窗口期是排卵前 5 天至排卵后 24 小时。医生会根据卵泡大小和激素水平,帮你锁定这个黄金时机。
🔺放松心态:过度焦虑和紧张本身就可能影响内分泌和排卵。把监测当作一次了解身体的科学旅程,保持平和心态。
🔺联合判断:B 超监测是核心,但医生有时也会结合激素水平(如 LH 峰)来综合判断,以提升排卵时机判断的准确性。
🔺专业指导:所有监测结果和后续方案,都应在专业医生的指导下进行解读和执行。
科学备孕,始于对身体的科学认知。卵泡监测并非徒增焦虑,而是以客观数据为备孕提供方向与信心。愿每一位期待新生命的女性,都能循着科学的指引,顺利迎来属于自己的好「孕」。
好文章,需要你的鼓励