一小时的剧痛,竟是大脑发出的警报
凌晨,32 岁的塔吉克斯坦留学生艾力(化名)像往常一样夜跑,后脑却突然传来一阵剧烈刺痛。一小时后,他被同学紧急送到西安市第三医院急诊科。

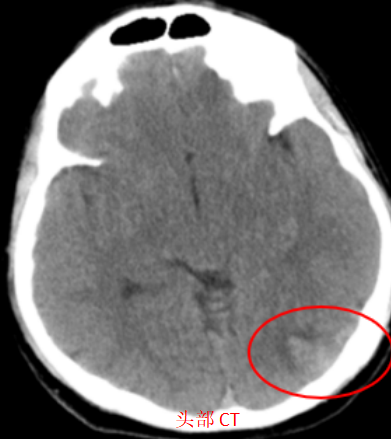
头部 CT 显示:左枕叶有少量出血。这个结果立刻引起了血管组纪祯龙、樊欣鑫两位医生的高度警惕——对于没有高血压和外伤的年轻人来说,这样的自发性出血,往往暗示着更复杂的问题:脑动静脉畸形(AVM)。
—— 什么是脑动静脉畸形?——
可以把它理解为大脑血管的「短路」。正常情况下,动脉(输送含氧血液)和静脉(回收缺氧血液)之间通过毛细血管网连接,血流平稳。而动静脉畸形,则是动脉与静脉直接异常连通,绕过了毛细血管,形成一团脆弱紊乱的血管团。

这团血管壁很薄,长期承受高速、高压的血流的冲击,就像一个随时可能破裂的「不定时炸弹」。对于出血的患者来说,这颗炸弹的「引信」已经被点燃一次,短期内再次破裂出血的风险极高,可能导致更严重的脑损伤、残疾,甚至危及生命。
病情危急,必须尽快明确诊断并制定治疗方案。医疗团队立即为艾力进行了全脑血管造影(DSA),清晰显示出畸形血管的供血动脉、内部结构(血管构筑)和引流静脉。
全脑血管造影(DSA)是诊断脑血管疾病的「金标准」。

经过神经外科与介入科团队的共同研判,最终选择了「脑动静脉畸形栓塞术」。这是一种微创治疗方式,通过大腿根部的股动脉穿刺,将微导管送至脑内病变处,进行精确栓塞。

在张世荣主任的指导下,纪祯龙、樊欣鑫医生携手合作,凭借细致的操作,成功完成栓塞。术后,艾力的头痛和视力问题逐渐消失,恢复顺利,最终康复出院。



艾力是幸运的,他因突发头痛及时就医,诊断明确,并通过现代医学技术得到了有效救治。他的经历也给所有人敲响了警钟:
1. 警惕异常头痛:如果出现突发的、前所未有的剧烈头痛(常被描述为「一生中最剧烈的头痛」),尤其是伴有恶心、呕吐、颈项强直或视力模糊时,务必立即就医,这可能是脑出血的征兆。
2. 认识脑动静脉畸形:这是一种先天血管异常,平时可能没有症状,但首次出血后再次出血的风险较高,也是年轻人脑出血的常见原因之一。
3. 治疗的必要性:对于已经出血的脑动静脉畸形,积极治疗是防止再次出血、保护神经功能、挽救生命的必然选择。现代医学提供了包括血管内栓塞、显微外科手术、立体定向放疗在内的多种手段,可以根据畸形的大小、位置、血管构筑进行个体化联合治疗。
好文章,需要你的鼓励